验证数据展示
经过测试的应用
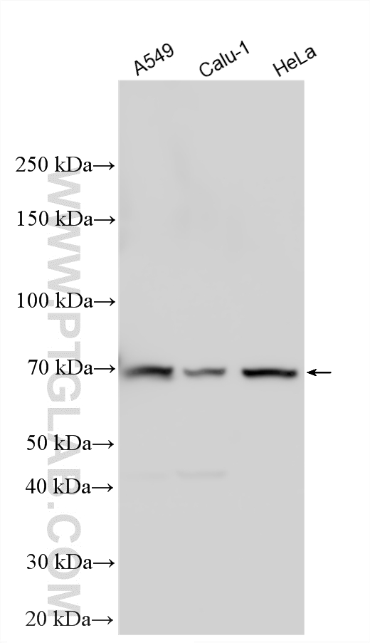
| Positive WB detected in | HeLa cells, A549 cells, human placenta tissue, mouse liver tissue, Calu-1 cells |
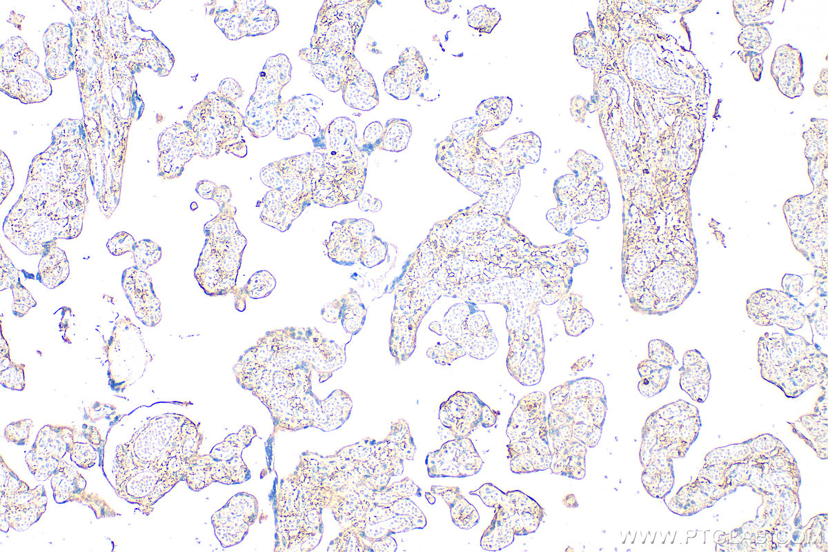
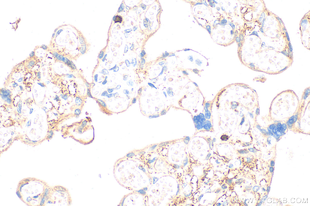
| Positive IHC detected in | human placenta tissue, human intrahepatic cholangiocarcinoma tissue, human ovary cancer tissue, mouse liver tissue Note: suggested antigen retrieval with TE buffer pH 9.0; (*) Alternatively, antigen retrieval may be performed with citrate buffer pH 6.0 |
推荐稀释比
| 应用 | 推荐稀释比 |
|---|---|
| Western Blot (WB) | WB : 1:500-1:4000 |
| Immunohistochemistry (IHC) | IHC : 1:200-1:1000 |
| It is recommended that this reagent should be titrated in each testing system to obtain optimal results. | |
| Sample-dependent, Check data in validation data gallery. | |
发表文章中的应用
| WB | See 1 publications below |
| IHC | See 1 publications below |
产品信息
30966-1-AP targets IL-1RAP in WB, IHC, ELISA applications and shows reactivity with human, mouse samples.
| 经测试应用 | WB, IHC, ELISA Application Description |
| 文献引用应用 | WB, IHC |
| 经测试反应性 | human, mouse |
| 文献引用反应性 | human, mouse |
| 免疫原 |
CatNo: Ag34121 Product name: Recombinant human IL1RAP protein Source: e coli.-derived, PGEX-4T Tag: GST Domain: 389-570 aa of NM_001167928.1 Sequence: YRAHFGTDETILDGKEYDIYVSYARNAEEEEFVLLTLRGVLENEFGYKLCIFDRDSLPGGIVTDETLSFIQKSRRLLVVLSPNYVLQGTQALLELKAGLENMASRGNINVILVQYKAVKETKVKELKRAKTVLTVIKWKGEKSKYPQGRFWKQLQVAMPVKKSPRRSSSDEQGLSYSSLKNV 种属同源性预测 |
| 宿主/亚型 | Rabbit / IgG |
| 抗体类别 | Polyclonal |
| 产品类型 | Antibody |
| 全称 | interleukin 1 receptor accessory protein |
| 别名 | IL1RAP, C3orf13, EC:3.2.2.6, IL 1R 3, IL 1R3 |
| 计算分子量 | 65 kDa |
| 观测分子量 | 70 kDa |
| GenBank蛋白编号 | NM_001167928.1 |
| 基因名称 | IL1RAP |
| Gene ID (NCBI) | 3556 |
| RRID | AB_3669798 |
| 偶联类型 | Unconjugated |
| 形式 | Liquid |
| 纯化方式 | Antigen affinity Purification |
| UNIPROT ID | Q9NPH3 |
| 储存缓冲液 | PBS with 0.02% sodium azide and 50% glycerol, pH 7.3. |
| 储存条件 | Store at -20°C. Stable for one year after shipment. Aliquoting is unnecessary for -20oC storage. |
背景介绍
IL-1RAP (Interleukin-1 receptor accessory protein), also known as IL-1RAcP, IL-1R-3, or IL-1R3, is a member of the interleukin-1 receptor family. IL-1RAP is composed of an extracellular region containing three Ig-like C2 type domains, a transmembrane region, and a cytoplasmic region with a TIR (Toll-IL-1-receptor) domain. IL-1RAP functions as a co-receptor for IL-1, IL-33, IL-36. It plays an essential role in the signaling of the IL-1 family cytokines such as IL-1, IL-33, and IL-36, as well as tyrosine kinases FLT3 and c-Kit. IL-1RAP can also exist in a soluble form.
实验方案
| Product Specific Protocols | |
|---|---|
| IHC protocol for IL-1RAP antibody 30966-1-AP | Download protocol |
| WB protocol for IL-1RAP antibody 30966-1-AP | Download protocol |
| Standard Protocols | |
|---|---|
| Click here to view our Standard Protocols |
发表文章
| Species | Application | Title |
|---|---|---|
J Ethnopharmacol Rubia cordifolia L. extract ameliorates vitiligo by inhibiting the CXCL10/CXCL9/STAT1 signaling pathway | ||
Front Oncol Integrated single-cell and transcriptome sequencing data reveal the value of IL1RAP in gastric cancer microenvironment and prognosis |








