IHC staining of human lung cancer using 28569-1-AP (same clone as 28569-1-PBS)
Immunohistochemical analysis of paraffin-embedded human lung cancer tissue slide using 28569-1-AP (HCFC1 antibody) at dilution of 1:1000 (under 10x lens). Heat mediated antigen retrieval with Tris-EDTA buffer (pH 9.0). This data was developed using the same antibody clone with 28569-1-PBS in a different storage buffer formulation.
IHC staining of human lung cancer using 28569-1-AP (same clone as 28569-1-PBS)
Immunohistochemical analysis of paraffin-embedded human lung cancer tissue slide using 28569-1-AP (HCFC1 antibody) at dilution of 1:1000 (under 40x lens). Heat mediated antigen retrieval with Tris-EDTA buffer (pH 9.0). This data was developed using the same antibody clone with 28569-1-PBS in a different storage buffer formulation.
IHC staining of human urothelial carcinoma using 28569-1-AP (same clone as 28569-1-PBS)
Immunohistochemical analysis of paraffin-embedded human urothelial carcinoma tissue slide using 28569-1-AP (HCFC1 antibody) at dilution of 1:1000 (under 10x lens). Heat mediated antigen retrieval with Tris-EDTA buffer (pH 9.0). This data was developed using the same antibody clone with 28569-1-PBS in a different storage buffer formulation.
IHC staining of human urothelial carcinoma using 28569-1-AP (same clone as 28569-1-PBS)
Immunohistochemical analysis of paraffin-embedded human urothelial carcinoma tissue slide using 28569-1-AP (HCFC1 antibody) at dilution of 1:1000 (under 40x lens). Heat mediated antigen retrieval with Tris-EDTA buffer (pH 9.0). This data was developed using the same antibody clone with 28569-1-PBS in a different storage buffer formulation.
IHC staining of mouse cerebellum using 28569-1-AP (same clone as 28569-1-PBS)
Immunohistochemical analysis of paraffin-embedded mouse cerebellum tissue slide using 28569-1-AP (HCFC1 antibody) at dilution of 1:1000 (under 10x lens). Heat mediated antigen retrieval with Tris-EDTA buffer (pH 9.0). This data was developed using the same antibody clone with 28569-1-PBS in a different storage buffer formulation.
IHC staining of mouse cerebellum using 28569-1-AP (same clone as 28569-1-PBS)
Immunohistochemical analysis of paraffin-embedded mouse cerebellum tissue slide using 28569-1-AP (HCFC1 antibody) at dilution of 1:1000 (under 40x lens). Heat mediated antigen retrieval with Tris-EDTA buffer (pH 9.0). This data was developed using the same antibody clone with 28569-1-PBS in a different storage buffer formulation.
IHC staining of mouse liver using 28569-1-AP (same clone as 28569-1-PBS)
Immunohistochemical analysis of paraffin-embedded mouse liver tissue slide using 28569-1-AP (HCFC1 antibody) at dilution of 1:2000 (under 10x lens). Heat mediated antigen retrieval with Tris-EDTA buffer (pH 9.0). This data was developed using the same antibody clone with 28569-1-PBS in a different storage buffer formulation.
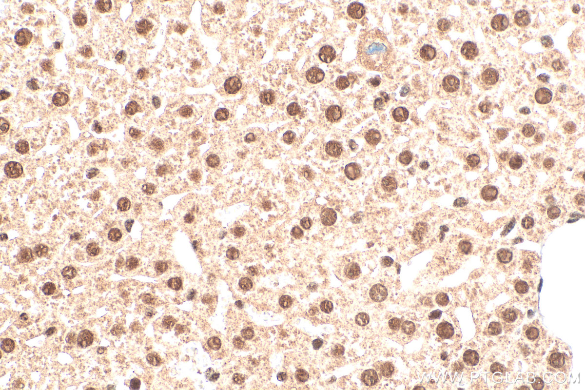
IHC staining of mouse liver using 28569-1-AP (same clone as 28569-1-PBS)
Immunohistochemical analysis of paraffin-embedded mouse liver tissue slide using 28569-1-AP (HCFC1 antibody) at dilution of 1:2000 (under 40x lens). Heat mediated antigen retrieval with Tris-EDTA buffer (pH 9.0). This data was developed using the same antibody clone with 28569-1-PBS in a different storage buffer formulation.
IHC staining of mouse lung using 28569-1-AP (same clone as 28569-1-PBS)
Immunohistochemical analysis of paraffin-embedded mouse lung tissue slide using 28569-1-AP (HCFC1 antibody) at dilution of 1:1000 (under 10x lens). Heat mediated antigen retrieval with Tris-EDTA buffer (pH 9.0). This data was developed using the same antibody clone with 28569-1-PBS in a different storage buffer formulation.
IHC staining of mouse lung using 28569-1-AP (same clone as 28569-1-PBS)
Immunohistochemical analysis of paraffin-embedded mouse lung tissue slide using 28569-1-AP (HCFC1 antibody) at dilution of 1:1000 (under 40x lens). Heat mediated antigen retrieval with Tris-EDTA buffer (pH 9.0). This data was developed using the same antibody clone with 28569-1-PBS in a different storage buffer formulation.
IHC staining of mouse skin using 28569-1-AP (same clone as 28569-1-PBS)
Immunohistochemical analysis of paraffin-embedded mouse skin tissue slide using 28569-1-AP (HCFC1 antibody) at dilution of 1:500 (under 10x lens). Heat mediated antigen retrieval with Tris-EDTA buffer (pH 9.0). This data was developed using the same antibody clone with 28569-1-PBS in a different storage buffer formulation.
IHC staining of mouse skin using 28569-1-AP (same clone as 28569-1-PBS)
Immunohistochemical analysis of paraffin-embedded mouse skin tissue slide using 28569-1-AP (HCFC1 antibody) at dilution of 1:500 (under 40x lens). Heat mediated antigen retrieval with Tris-EDTA buffer (pH 9.0). This data was developed using the same antibody clone with 28569-1-PBS in a different storage buffer formulation.
IHC staining of rat cerebellum using 28569-1-AP (same clone as 28569-1-PBS)
Immunohistochemical analysis of paraffin-embedded rat cerebellum tissue slide using 28569-1-AP (HCFC1 antibody) at dilution of 1:1000 (under 10x lens). Heat mediated antigen retrieval with Tris-EDTA buffer (pH 9.0). This data was developed using the same antibody clone with 28569-1-PBS in a different storage buffer formulation.
IHC staining of rat cerebellum using 28569-1-AP (same clone as 28569-1-PBS)
Immunohistochemical analysis of paraffin-embedded rat cerebellum tissue slide using 28569-1-AP (HCFC1 antibody) at dilution of 1:1000 (under 40x lens). Heat mediated antigen retrieval with Tris-EDTA buffer (pH 9.0). This data was developed using the same antibody clone with 28569-1-PBS in a different storage buffer formulation.
IHC staining of rat lung using 28569-1-AP (same clone as 28569-1-PBS)
Immunohistochemical analysis of paraffin-embedded rat lung tissue slide using 28569-1-AP (HCFC1 antibody) at dilution of 1:1000 (under 10x lens). Heat mediated antigen retrieval with Tris-EDTA buffer (pH 9.0). This data was developed using the same antibody clone with 28569-1-PBS in a different storage buffer formulation.
IHC staining of rat lung using 28569-1-AP (same clone as 28569-1-PBS)
Immunohistochemical analysis of paraffin-embedded rat lung tissue slide using 28569-1-AP (HCFC1 antibody) at dilution of 1:1000 (under 40x lens). Heat mediated antigen retrieval with Tris-EDTA buffer (pH 9.0). This data was developed using the same antibody clone with 28569-1-PBS in a different storage buffer formulation.
IHC staining of rat skin using 28569-1-AP (same clone as 28569-1-PBS)
Immunohistochemical analysis of paraffin-embedded rat skin tissue slide using 28569-1-AP (HCFC1 antibody) at dilution of 1:1000 (under 10x lens). Heat mediated antigen retrieval with Tris-EDTA buffer (pH 9.0). This data was developed using the same antibody clone with 28569-1-PBS in a different storage buffer formulation.
IHC staining of rat skin using 28569-1-AP (same clone as 28569-1-PBS)
Immunohistochemical analysis of paraffin-embedded rat skin tissue slide using 28569-1-AP (HCFC1 antibody) at dilution of 1:1000 (under 40x lens). Heat mediated antigen retrieval with Tris-EDTA buffer (pH 9.0). This data was developed using the same antibody clone with 28569-1-PBS in a different storage buffer formulation.