验证数据展示
经过测试的应用
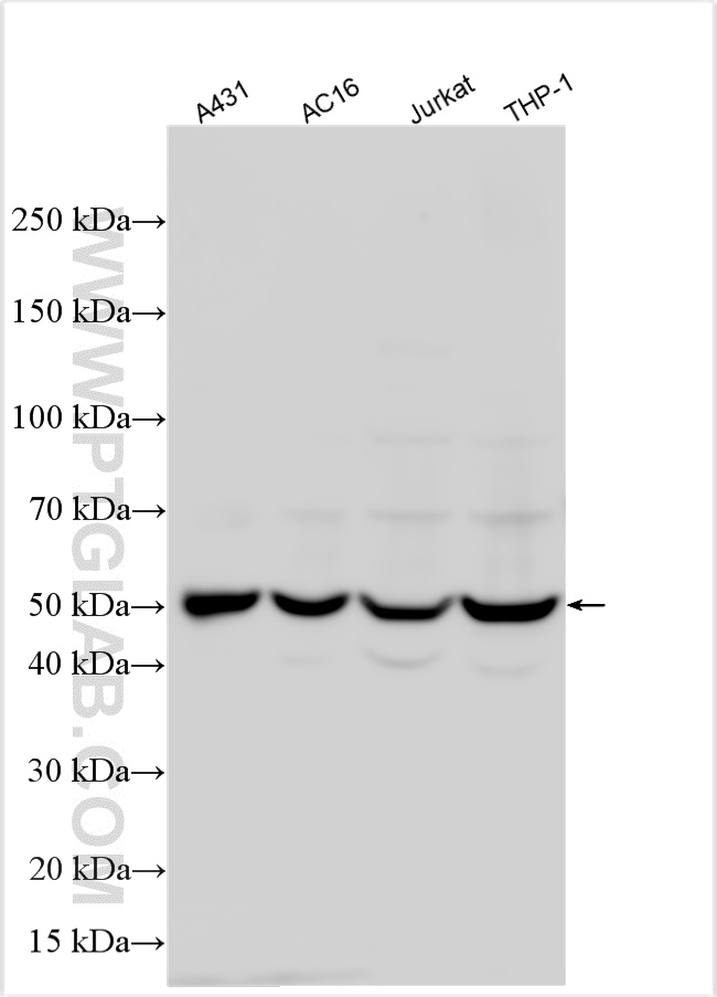
| Positive WB detected in | A431 cells, Jurkat cells, THP-1 cells, AC16 cells |
| Positive IP detected in | THP-1 cells |
| Positive IHC detected in | human ovary cancer tissue Note: suggested antigen retrieval with TE buffer pH 9.0; (*) Alternatively, antigen retrieval may be performed with citrate buffer pH 6.0 |
| Positive IF/ICC detected in | HeLa cells, A431 cells, PC-3 cells |
| Positive FC (Intra) detected in | Jurkat cells |
This antibody can only dectect full length GSDMD.
推荐稀释比
| 应用 | 推荐稀释比 |
|---|---|
| Western Blot (WB) | WB : 1:5000-1:50000 |
| Immunoprecipitation (IP) | IP : 0.5-4.0 ug for 1.0-3.0 mg of total protein lysate |
| Immunohistochemistry (IHC) | IHC : 1:50-1:500 |
| Immunofluorescence (IF)/ICC | IF/ICC : 1:50-1:500 |
| Flow Cytometry (FC) (INTRA) | FC (INTRA) : 0.40 ug per 10^6 cells in a 100 µl suspension |
| It is recommended that this reagent should be titrated in each testing system to obtain optimal results. | |
| Sample-dependent, Check data in validation data gallery. | |
产品信息
20770-1-AP targets GSDMD in WB, IHC, IF/ICC, FC (Intra), IP, CoIP, ELISA applications and shows reactivity with human samples.
| 经测试应用 | WB, IHC, IF/ICC, FC (Intra), IP, ELISA Application Description |
| 文献引用应用 | WB, IHC, IF, IP, CoIP |
| 经测试反应性 | human |
| 文献引用反应性 | human, rabbit, chicken |
| 免疫原 |
CatNo: Ag14757 Product name: Recombinant human GSDMD protein Source: e coli.-derived, PGEX-4T Tag: GST Domain: 135-484 aa of BC008904 Sequence: HERHLRQPEHKVLQQLRSRGDNVYVVTEVLQTQKEVEVTRTHKREGSGRFSLPGATCLQGEGQGHLSQKKTVTIPSGSTLAFRVAQLVIDSDLDVLLFPDKKQRTFQPPATGHKRSTSEGAWPQLPSGLSMMRCLHNFLTDGVPAEGAFTEDFQGLRAEVETISKELELLDRELCQLLLEGLEGVLRDQLALRALEEALEQGQSLGPVEPLDGPAGAVLECLVLSSGMLVPELAIPVVYLLGALTMLSETQHKLLAEALESQTLLGPLELVGSLLEQSAPWQERSTMSLPPGLLGNSWGEGAPAWVLLDECGLELGEDTPHVCWEPQAQGRMCALYASLALLSGLSQEPH 种属同源性预测 |
| 宿主/亚型 | Rabbit / IgG |
| 抗体类别 | Polyclonal |
| 产品类型 | Antibody |
| 全称 | gasdermin D |
| 别名 | FKSG10, gasdermin D, Gasdermin domain-containing protein 1, gasderminD, Gasdermin-D |
| 计算分子量 | 484 aa, 53 kDa |
| 观测分子量 | 50-53 kDa |
| GenBank蛋白编号 | BC008904 |
| 基因名称 | GSDMD |
| Gene ID (NCBI) | 79792 |
| RRID | AB_10696319 |
| 偶联类型 | Unconjugated |
| 形式 | Liquid |
| 纯化方式 | Antigen affinity purification |
| UNIPROT ID | P57764 |
| 储存缓冲液 | PBS with 0.02% sodium azide and 50% glycerol, pH 7.3. |
| 储存条件 | Store at -20°C. Stable for one year after shipment. Aliquoting is unnecessary for -20oC storage. |
背景介绍
GSDMD is a 53 kDa cytosolic protein and a member of the gasdermin protein family, which features 6 members in humans (GSDMA, -B, -C, -D, -E and -F. GSDMD was identified as the executioner of inflammasome-associated pyroptosis. Caspase-1, -11, or -4 cleave GSDMD after an aspartate residue within a central linker domain (D275 in humans and D276 in mice) to generate a 31-kDa N-terminal GSDMD fragment (GSDMD-NT) and a 22-kDa C-terminal fragment (GSDMD-CT). In addition to the canonical 31/22 kDa cleavage products, a 43 kDa fragment has been observed under specific experimental or pathological conditions. The generation of the 43 kDa fragment was observed upon caspase-3 and -7 activation during apoptosis. This antibody can only detect full-length GSDMD.
实验方案
| Product Specific Protocols | |
|---|---|
| FC protocol for GSDMD antibody 20770-1-AP | Download protocol |
| IF protocol for GSDMD antibody 20770-1-AP | Download protocol |
| IHC protocol for GSDMD antibody 20770-1-AP | Download protocol |
| IP protocol for GSDMD antibody 20770-1-AP | Download protocol |
| WB protocol for GSDMD antibody 20770-1-AP | Download protocol |
| Standard Protocols | |
|---|---|
| Click here to view our Standard Protocols |
发表文章
| Species | Application | Title |
|---|---|---|
Cell Type III interferons induce pyroptosis in gut epithelial cells and impair mucosal repair | ||
Nature Inflammasome-activated gasdermin D causes pyroptosis by forming membrane pores.
| ||
ACS Nano Engineering Extracellular Vesicles Restore the Impaired Cellular Uptake and Attenuate Intervertebral Disc Degeneration. | ||
Acta Pharm Sin B Miltirone induces cell death in hepatocellular carcinoma cell through GSDME-dependent pyroptosis. | ||
Acta Pharm Sin B A high-throughput Gaussia luciferase reporter assay for screening potential gasdermin E activators against pancreatic cancer | ||
Autophagy Inhibition of PINK1 senses ROS signaling to facilitate neuroblastoma cell pyroptosis
|










