验证数据展示
经过测试的应用
| Positive WB detected in | NIH/3T3 cells, HeLa cells |
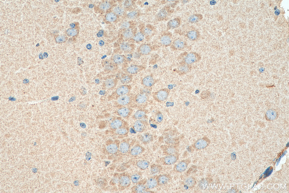
| Positive IHC detected in | mouse brain tissue Note: suggested antigen retrieval with TE buffer pH 9.0; (*) Alternatively, antigen retrieval may be performed with citrate buffer pH 6.0 |
| Positive IF/ICC detected in | HepG2 cells |
推荐稀释比
| 应用 | 推荐稀释比 |
|---|---|
| Western Blot (WB) | WB : 1:2000-1:10000 |
| Immunohistochemistry (IHC) | IHC : 1:500-1:2000 |
| Immunofluorescence (IF)/ICC | IF/ICC : 1:200-1:800 |
| It is recommended that this reagent should be titrated in each testing system to obtain optimal results. | |
| Sample-dependent, Check data in validation data gallery. | |
产品信息
67871-1-Ig targets GEMIN8 in WB, IHC, IF/ICC, ELISA applications and shows reactivity with human, mouse, rat samples.
| 经测试应用 | WB, IHC, IF/ICC, ELISA Application Description |
| 经测试反应性 | human, mouse, rat |
| 免疫原 |
CatNo: Ag6774 Product name: Recombinant human GEMIN8 protein Source: e coli.-derived, PET28a Tag: 6*His Domain: 1-242 aa of BC003607 Sequence: MAAVKASTSKATRPWYSHPVYARYWQHYHQAMAWMQSHHNAYRKAVESCFNLPWYLPSALLPQSSYDNEAAYPQSFYDHHVAWQDYPCSSSHFRRSGQHPRYSSRIQASTKEDQALSKEEEMETESDAEVECDLSNMEITEELRQYFAETERHREERRRQQQLDAERLDSYVNADHDLYCNTRRSVEAPTERPGERRQAEMKRLYGDSAAKIQAMEAAVQLSFDKHCDRKQPKYWPVIPLKF 种属同源性预测 |
| 宿主/亚型 | Mouse / IgG1 |
| 抗体类别 | Monoclonal |
| 产品类型 | Antibody |
| 全称 | gem (nuclear organelle) associated protein 8 |
| 别名 | 1A6B4, FAM51A1, Gem-associated protein 8, Gemin 8, Gemin-8 |
| 计算分子量 | 29 kDa |
| 观测分子量 | 32 kDa |
| GenBank蛋白编号 | BC003607 |
| 基因名称 | GEMIN8 |
| Gene ID (NCBI) | 54960 |
| RRID | AB_2918629 |
| 偶联类型 | Unconjugated |
| 形式 | Liquid |
| 纯化方式 | Protein G purification |
| UNIPROT ID | Q9NWZ8 |
| 储存缓冲液 | PBS with 0.02% sodium azide and 50% glycerol, pH 7.3. |
| 储存条件 | Store at -20°C. Stable for one year after shipment. Aliquoting is unnecessary for -20oC storage. |
背景介绍
GEMIN8, also named as FAM51A1 and Gemin-8, is associated with the SMN complex and is localized in the cytoplasm and in the nucleus, where it is highly concentrated in Gems. Gemin6, Gemin7, and Unrip form a stable cytoplasmic complex whose association with SMN requires Gemin8. Gemin8 binds directly to SMN and mediates its interaction with the Gemin6/Gemin7 heterodimer. This antibody recognize GEMIN8(28-32kd) only.
实验方案
| Product Specific Protocols | |
|---|---|
| IF protocol for GEMIN8 antibody 67871-1-Ig | Download protocol |
| IHC protocol for GEMIN8 antibody 67871-1-Ig | Download protocol |
| WB protocol for GEMIN8 antibody 67871-1-Ig | Download protocol |
| Standard Protocols | |
|---|---|
| Click here to view our Standard Protocols |



