验证数据展示
经过测试的应用
| Positive WB detected in | Jurkat cells |
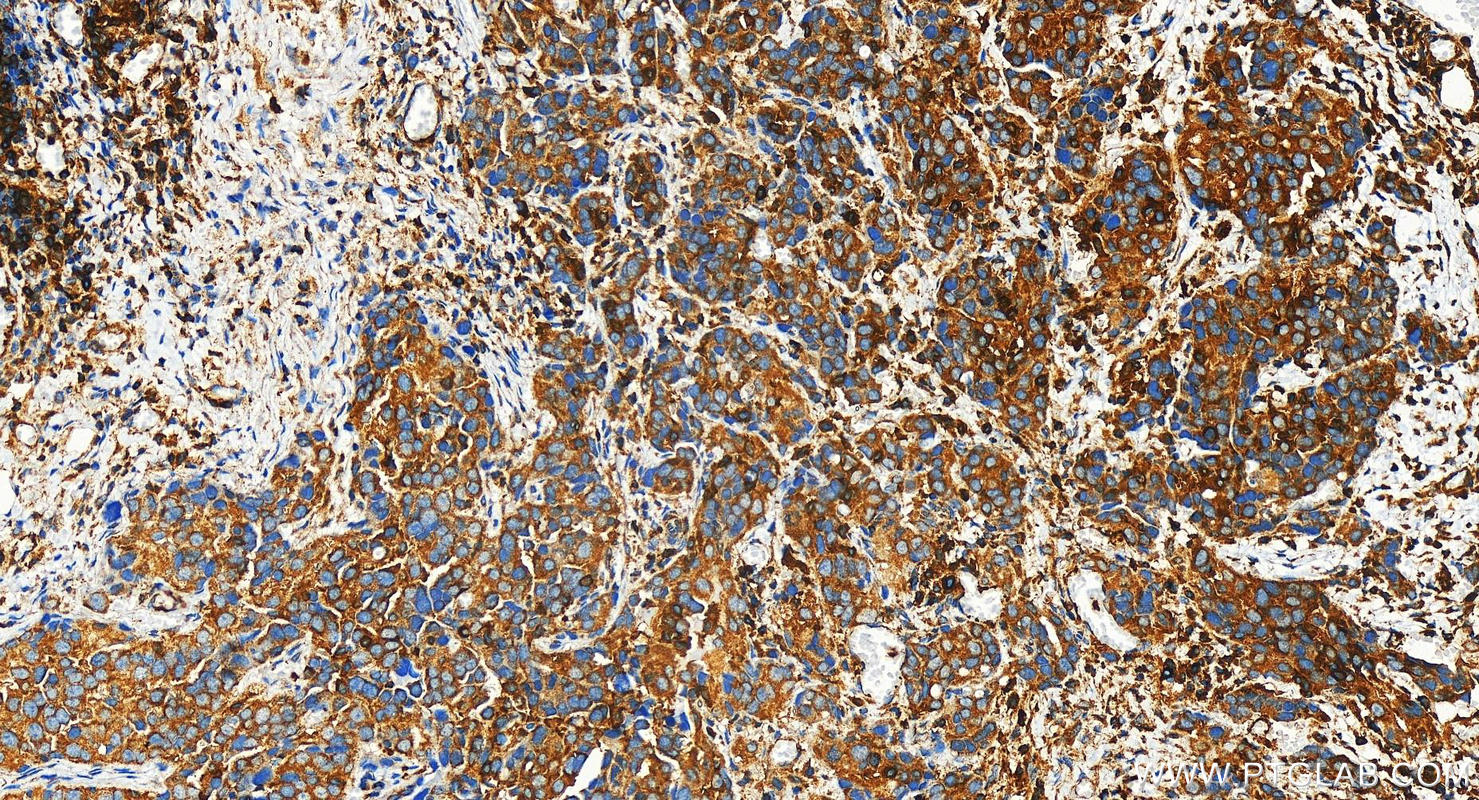
| Positive IHC detected in | human ovary cancer tissue Note: suggested antigen retrieval with TE buffer pH 9.0; (*) Alternatively, antigen retrieval may be performed with citrate buffer pH 6.0 |
推荐稀释比
| 应用 | 推荐稀释比 |
|---|---|
| Western Blot (WB) | WB : 1:1000-1:4000 |
| Immunohistochemistry (IHC) | IHC : 1:250-1:1000 |
| It is recommended that this reagent should be titrated in each testing system to obtain optimal results. | |
| Sample-dependent, Check data in validation data gallery. | |
产品信息
31553-1-AP targets FYB in WB, IHC, ELISA applications and shows reactivity with human samples.
| 经测试应用 | WB, IHC, ELISA Application Description |
| 经测试反应性 | human |
| 免疫原 |
CatNo: Ag35929 Product name: Recombinant human FYB protein Source: e coli.-derived, PGEX-4T Tag: GST Domain: 600-783 aa of NM_199335.3 Sequence: EQDDISSHSQSGSGGIFPPPPDDDIYDGIEEEDADDGFPAPPKQLDMGDEVYDDVDTSDFPVSSAEMSQGTNVGKAKTEEKDLKKLKKQEKEEKDFRKKFKYDGEIRVLYSTKVTTSITSKKWGTRDLQVKPGESLEVIQTTDDTKVLCRNEEGKYGYVLRSYLADNDGEIYDDIADGCIYDND 种属同源性预测 |
| 宿主/亚型 | Rabbit / IgG |
| 抗体类别 | Polyclonal |
| 产品类型 | Antibody |
| 全称 | FYN binding protein (FYB-120/130) |
| 别名 | ADAP, FYB 120/130, p120/p130, SLAP 130, SLAP130 |
| 计算分子量 | 85kDa,783aa |
| 观测分子量 | 110 kDa |
| GenBank蛋白编号 | NM_199335.3 |
| 基因名称 | FYB |
| Gene ID (NCBI) | 2533 |
| RRID | AB_3670034 |
| 偶联类型 | Unconjugated |
| 形式 | Liquid |
| 纯化方式 | Antigen affinity Purification |
| UNIPROT ID | O15117 |
| 储存缓冲液 | PBS with 0.02% sodium azide and 50% glycerol, pH 7.3. |
| 储存条件 | Store at -20°C. Stable for one year after shipment. Aliquoting is unnecessary for -20oC storage. |
背景介绍
FYN binding protein (FYB-120/130), also known as FYB, ADAP (Adhesion and degranulation-promoting adapter protein), and SLAP-130 (SLP-76-associated phosphoprotein) is a protein that is encoded by the FYB gene in humans. The protein is highly expressed in T cells, NK cells, bone marrow cells, and platelets, responsible for the signal transduction upon T cell receptor (TCR) stimulation with integrin activation.
实验方案
| Product Specific Protocols | |
|---|---|
| IHC protocol for FYB antibody 31553-1-AP | Download protocol |
| WB protocol for FYB antibody 31553-1-AP | Download protocol |
| Standard Protocols | |
|---|---|
| Click here to view our Standard Protocols |


