验证数据展示
产品信息
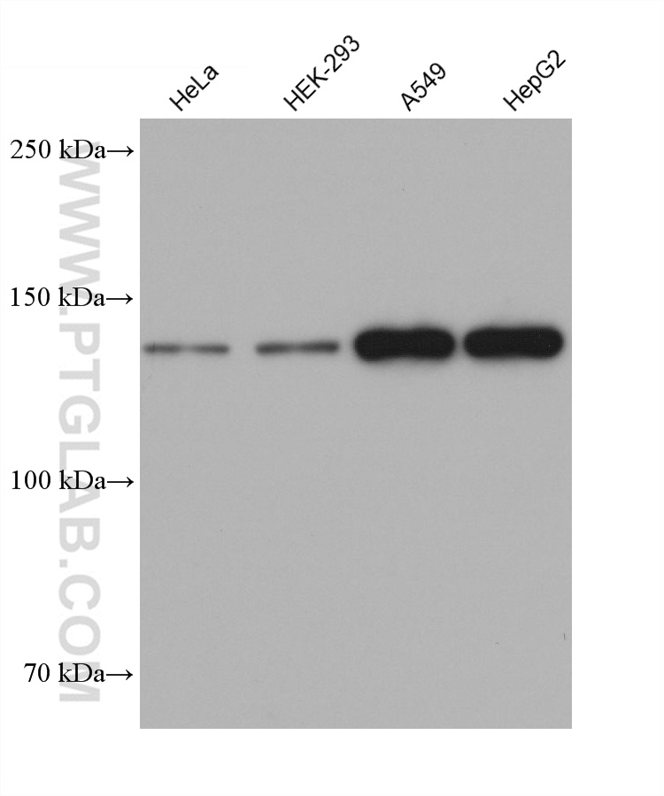
68551-1-PBS targets FMNL2 in WB, Indirect ELISA applications and shows reactivity with Human samples.
| 经测试应用 | WB, Indirect ELISA Application Description |
| 经测试反应性 | Human |
| 免疫原 |
CatNo: Ag34164 Product name: Recombinant human FMNL2 protein Source: e coli.-derived, PET28a Tag: 6*His Domain: 400-520 aa of BC167159 Sequence: ENISHLSEKLQDTENEAMSKIVELEKQLMQRNKELDVVREIYKDANTQVHTLRKMVKEKEEAIQRQSTLEKKIHELEKQGTIKIQKKGDGDIAILPVVASGTLSMGSEVVAGNSVGPTMGA 种属同源性预测 |
| 宿主/亚型 | Mouse / IgG2a |
| 抗体类别 | Monoclonal |
| 产品类型 | Antibody |
| 全称 | formin-like 2 |
| 别名 | FHOD2, FLJ37546, FMNL2, formin like 2, Formin like protein 2, KIAA1902 |
| 观测分子量 | 140-150 kDa |
| GenBank蛋白编号 | BC167159 |
| 基因名称 | FMNL2 |
| Gene ID (NCBI) | 114793 |
| RRID | AB_3085255 |
| 偶联类型 | Unconjugated |
| 形式 | Liquid |
| 纯化方式 | Protein A purification |
| UNIPROT ID | Q96PY5 |
| 储存缓冲液 | PBS only, pH 7.3. |
| 储存条件 | Store at -80°C. The product is shipped with ice packs. Upon receipt, store it immediately at -80°C |
背景介绍
Formin-like 2 (FMNL2), also known as FRL3 or FHOD2, a member of the diaphanous-related formins, contains a GTPase-binding domain and autoregulatory domains, and is proposed to function as a downstream effector of Rho family guanosine triphosphatases (GTPases) (PMID:15950879). FMNL2 mRNA is expressed in many normal tissues and dysregulated in several cancers such as colorectal cancer, melanoma and involved in invasive behaviours and progression of cancer cells.

