验证数据展示
经过测试的应用
| Positive WB detected in | A549 cells, MCF-7 cells, U2OS cells, Calu-1 cells, mouse testis tissue, rat testis tissue, HeLa cells, Jurkat cells |
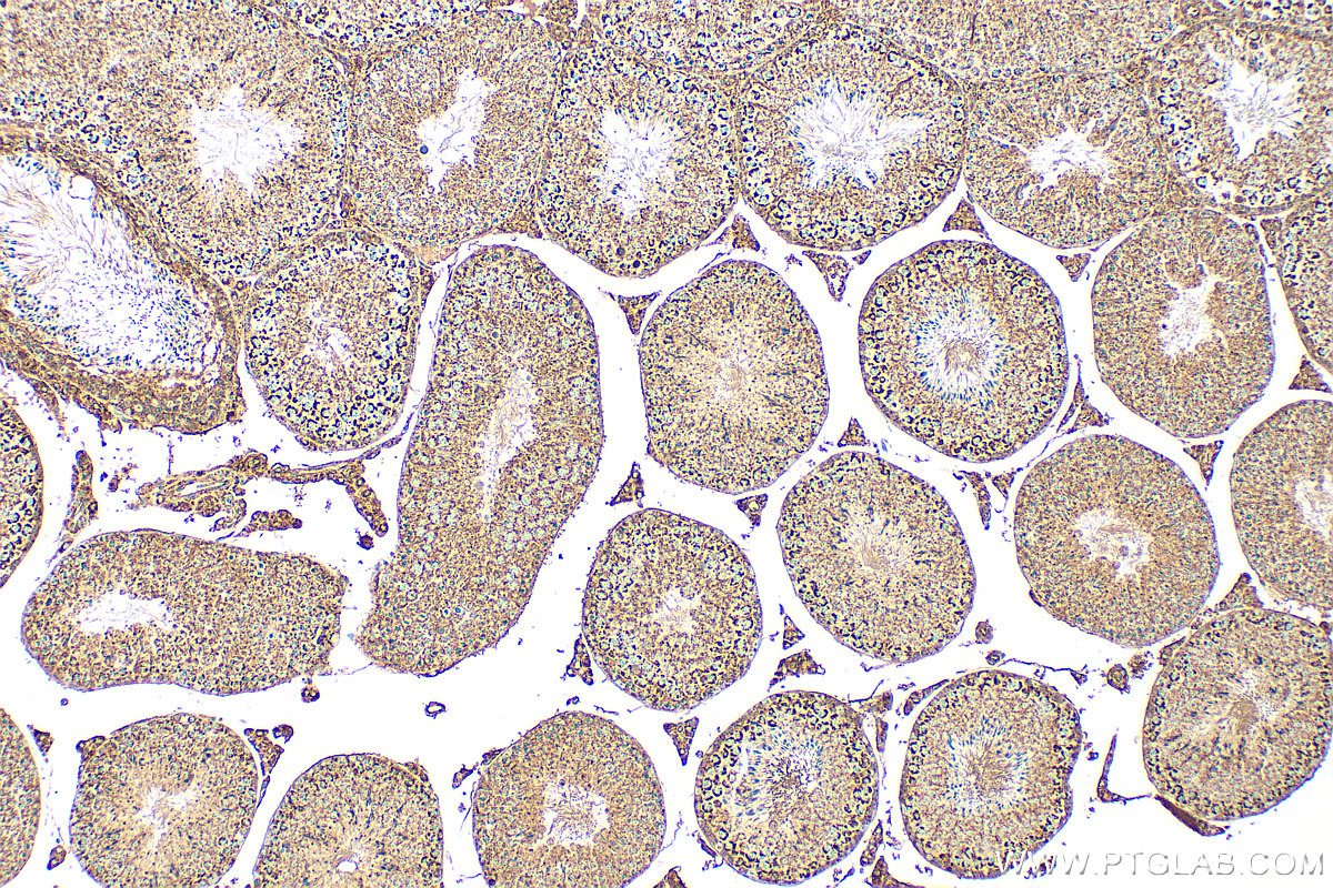
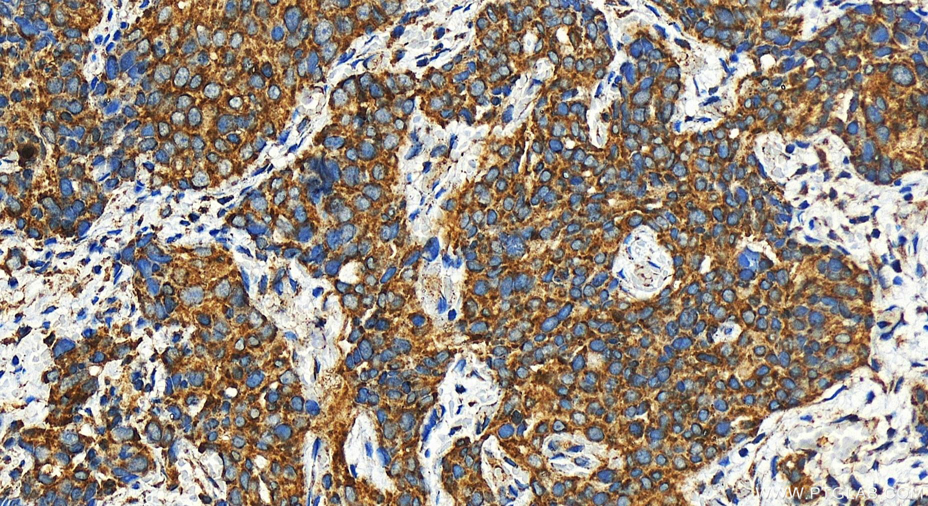
| Positive IHC detected in | human ovary cancer tissue, mouse testis tissue, rat testis tissue Note: suggested antigen retrieval with TE buffer pH 9.0; (*) Alternatively, antigen retrieval may be performed with citrate buffer pH 6.0 |
| Positive IF/ICC detected in | U2OS cells |
推荐稀释比
| 应用 | 推荐稀释比 |
|---|---|
| Western Blot (WB) | WB : 1:2000-1:16000 |
| Immunohistochemistry (IHC) | IHC : 1:50-1:500 |
| Immunofluorescence (IF)/ICC | IF/ICC : 1:200-1:800 |
| It is recommended that this reagent should be titrated in each testing system to obtain optimal results. | |
| Sample-dependent, Check data in validation data gallery. | |
发表文章中的应用
| WB | See 1 publications below |
产品信息
30845-1-AP targets FAM136A in WB, IHC, IF/ICC, ELISA applications and shows reactivity with human, mouse samples.
| 经测试应用 | WB, IHC, IF/ICC, ELISA Application Description |
| 文献引用应用 | WB |
| 经测试反应性 | human, mouse |
| 文献引用反应性 | human |
| 免疫原 |
CatNo: Ag34058 Product name: Recombinant human FAM136A protein Source: e coli.-derived, PGEX-4T Tag: GST Domain: 1-138 aa of BC014975 Sequence: MAELQQLRVQEAVESMVKSLERENIRKMQGLMFRCSASCCEDSQASMKQVHQCIERCHVPLAQAQALVTSELEKFQDRLARCTMHCNDKAKDSIDAGSKELQVKQQLDSCVTKCVDDHMHLIPTMTKKMKEALLSIGK 种属同源性预测 |
| 宿主/亚型 | Rabbit / IgG |
| 抗体类别 | Polyclonal |
| 产品类型 | Antibody |
| 全称 | family with sequence similarity 136, member A |
| 别名 | Protein FAM136A |
| 观测分子量 | 15 kDa |
| GenBank蛋白编号 | BC014975 |
| 基因名称 | FAM136A |
| Gene ID (NCBI) | 84908 |
| RRID | AB_3086420 |
| 偶联类型 | Unconjugated |
| 形式 | Liquid |
| 纯化方式 | Antigen affinity Purification |
| UNIPROT ID | Q96C01 |
| 储存缓冲液 | PBS with 0.02% sodium azide and 50% glycerol, pH 7.3. |
| 储存条件 | Store at -20°C. Stable for one year after shipment. Aliquoting is unnecessary for -20oC storage. |
背景介绍
FAM136A is an evolutively conserved nuclear gene encoding a mitochondrial protein whose specific function is unknown, but which is commonly found in neurosensory epithelial cells, where it plays a role in the electron transport chain of respiration (PMID: 37461313). FAM136A, with a molecular mass of 16-kDa, is normally expressed in the cytoplasm and has been linked to familial Meniere's disease.
实验方案
| Product Specific Protocols | |
|---|---|
| IF protocol for FAM136A antibody 30845-1-AP | Download protocol |
| IHC protocol for FAM136A antibody 30845-1-AP | Download protocol |
| WB protocol for FAM136A antibody 30845-1-AP | Download protocol |
| Standard Protocols | |
|---|---|
| Click here to view our Standard Protocols |






