验证数据展示
经过测试的应用
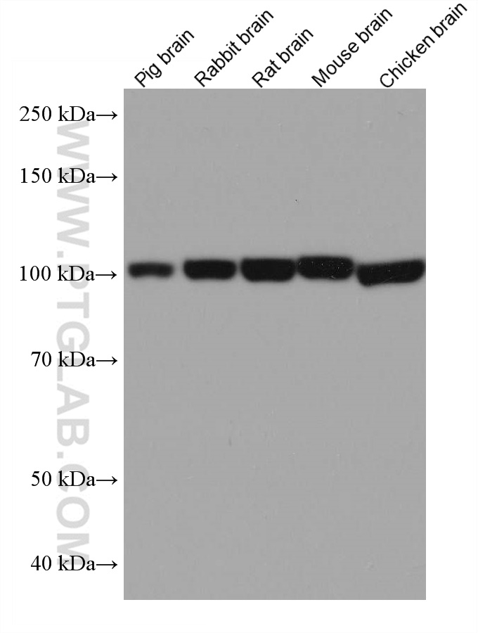
| Positive WB detected in | pig brain tissue, A549 cells, Rabbit brain tissue, Rat brain tissue, Mouse brain tissue, Chicken brain tissue |
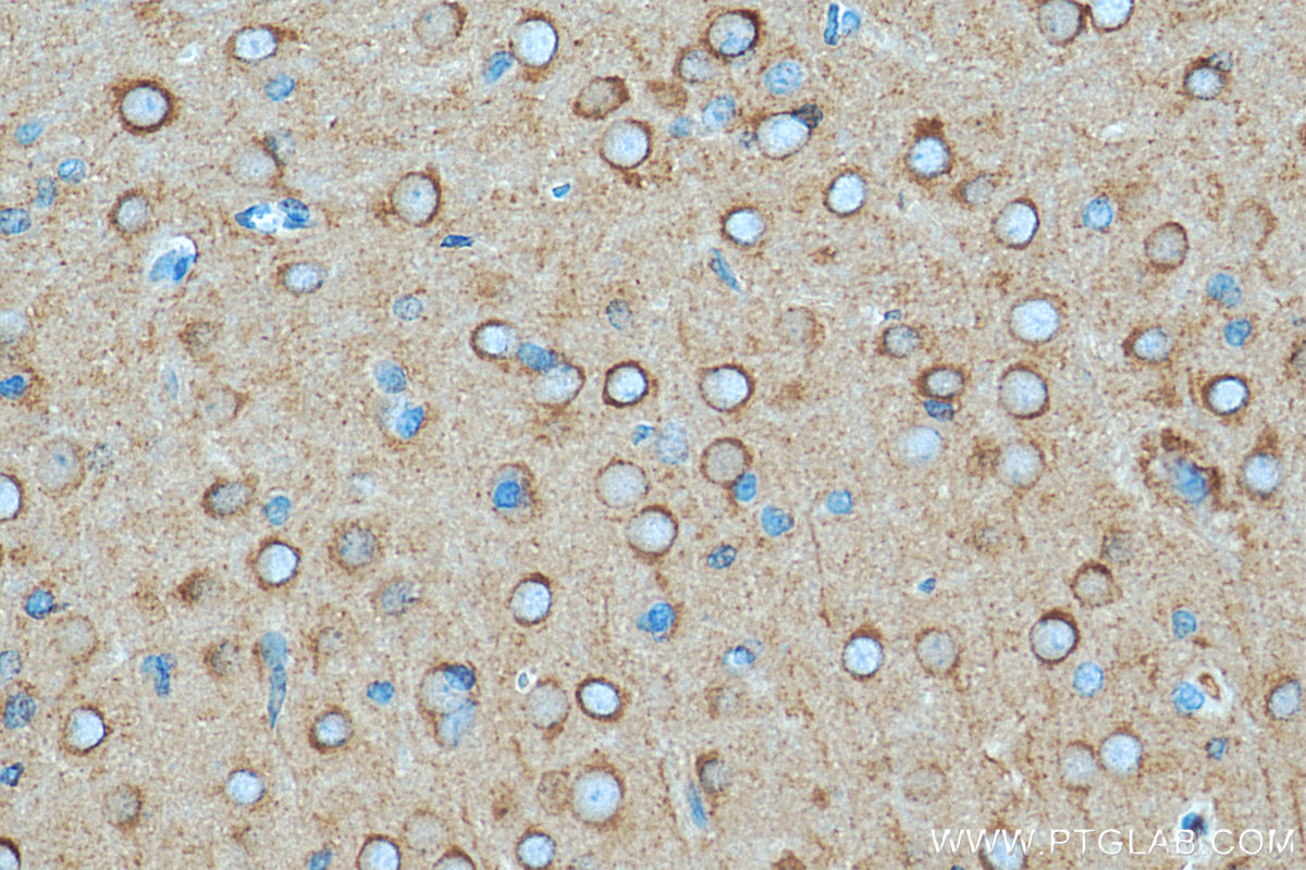
| Positive IHC detected in | rat brain tissue Note: suggested antigen retrieval with TE buffer pH 9.0; (*) Alternatively, antigen retrieval may be performed with citrate buffer pH 6.0 |
| Positive IF/ICC detected in | Neuro-2a cells |
推荐稀释比
| 应用 | 推荐稀释比 |
|---|---|
| Western Blot (WB) | WB : 1:20000-1:100000 |
| Immunohistochemistry (IHC) | IHC : 1:2500-1:10000 |
| Immunofluorescence (IF)/ICC | IF/ICC : 1:400-1:1600 |
| It is recommended that this reagent should be titrated in each testing system to obtain optimal results. | |
| Sample-dependent, Check data in validation data gallery. | |
产品信息
68009-1-Ig targets DNM1 in WB, IHC, IF/ICC, ELISA applications and shows reactivity with human, mouse, rat, pig, rabbit, chicken samples.
| 经测试应用 | WB, IHC, IF/ICC, ELISA Application Description |
| 经测试反应性 | human, mouse, rat, pig, rabbit, chicken |
| 免疫原 |
CatNo: Ag12932 Product name: Recombinant human DNM1 protein Source: e coli.-derived, PET28a Tag: 6*His Domain: 502-851 aa of BC063850 Sequence: RSNQMNKKKTSGNQDEILVIRKGWLTINNIGIMKGGSKEYWFVLTAENLSWYKDDEEKEKKYMLSVDNLKLRDVEKGFMSSKHIFALFNTEQRNVYKDYRQLELACETQEEVDSWKASFLRAGVYPERVGDKEKASETEENGSDSFMHSMDPQLERQVETIRNLVDSYMAIVNKTVRDLMPKTIMHLMINNTKEFIFSELLANLYSCGDQNTLMEESAEQAQRRDEMLRMYHALKEALSIIGDINTTTVSTPMPPPVDDSWLQVQSVPAGRRSPTSSPTPQRRAPAVPPARPGSRGPAPGPPPAGSALGGAPPVPSRPGASPDPFGPPPQVPSRPNRAPPGVPRITISDP 种属同源性预测 |
| 宿主/亚型 | Mouse / IgG1 |
| 抗体类别 | Monoclonal |
| 产品类型 | Antibody |
| 全称 | dynamin 1 |
| 别名 | dynamin 1, 1B2A11, DNM 1, Dynamin I, Dynamin1 |
| 计算分子量 | 851 aa, 96 kDa |
| 观测分子量 | 100 kDa |
| GenBank蛋白编号 | BC063850 |
| 基因名称 | DNM1 |
| Gene ID (NCBI) | 1759 |
| RRID | AB_2918756 |
| 偶联类型 | Unconjugated |
| 形式 | Liquid |
| 纯化方式 | Protein G purification |
| UNIPROT ID | Q05193 |
| 储存缓冲液 | PBS with 0.02% sodium azide and 50% glycerol, pH 7.3. |
| 储存条件 | Store at -20°C. Stable for one year after shipment. Aliquoting is unnecessary for -20oC storage. |
实验方案
| Product Specific Protocols | |
|---|---|
| IF protocol for DNM1 antibody 68009-1-Ig | Download protocol |
| IHC protocol for DNM1 antibody 68009-1-Ig | Download protocol |
| WB protocol for DNM1 antibody 68009-1-Ig | Download protocol |
| Standard Protocols | |
|---|---|
| Click here to view our Standard Protocols |




