验证数据展示
经过测试的应用
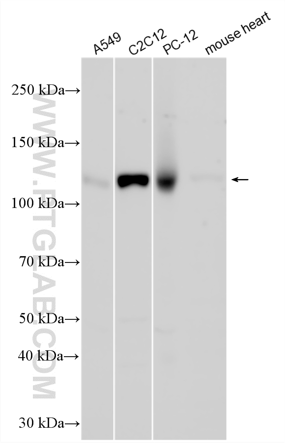
| Positive WB detected in | A549 cells, C2C12 cells, PC-12 cells, mouse heart tissue |
推荐稀释比
| 应用 | 推荐稀释比 |
|---|---|
| Western Blot (WB) | WB : 1:500-1:1000 |
| It is recommended that this reagent should be titrated in each testing system to obtain optimal results. | |
| Sample-dependent, Check data in validation data gallery. | |
产品信息
33875-1-AP targets CD315/PTGFRN in WB, ELISA applications and shows reactivity with human, mouse, rat samples.
| 经测试应用 | WB, ELISA Application Description |
| 经测试反应性 | human, mouse, rat |
| 免疫原 |
CatNo: Eg6319 Product name: Recombinant Mouse PTGFRN/CD315 protein (C-rFc) Source: mammalian cells-derived, V37 Tag: C-rFc Domain: 22-832 aa of NM_011197.3 Sequence: RVVRVPAGTLVRVVGTELVIPCNVSDYDGPSEQNFDWSFSSSGSSFVELASTWEVGFPAQLYRERLQRGDILLRRTANDAVELHIKNVQPSDQGHYKCSTPSTDATVQGNYEDTVQVKVLADALVVGPSSRPPPGLSLREGEPFELRCIASTTSPLHTHLALRWELHRGPVHRSILALSHEGRFHPGPGYEQRYHSGDVRLDTVGSDAYRLSVARALSADQGSYRCVVSEWITEQGSWQEIQEKAVEVATVVIQPTALQLAVPRTVSVTEGKDLDLSCNITTDRVDDVRPEVTWYFKKTPDTSLLASHMLARLDRDSLVHSSPHVALSHVDTRSYHLLVRDVSKENSGYYLCLVALWAPGHNRSWHKVAEAMSAPSGVSVTWLEPEYQVYLNASKVPGFSDDPTELQCRVIDTKRLEAGVRLTVSWYYRMTRRNDDVVASELLAVMDGDWTLRYGERSKQRAQDGEFIFSKEHTDTFNFRIQRTTEEDRGNYYCVVSAWTRQRNNSWVKSKDVFSKPVNIFWASEDSVLVVKARQPKPFFAAGNTFEMTCKVSSKNIKSPRYSVLITAEKPVGDLSSPNETKYIISLDQDSVVKLENWTDASRVDGVVLEKVQEDEFRYRMYQTQVSDAGLYRCMVTAWSPIGGSLWREAATSLSNPIEIDFQTSGPTFNASVHSDTPSVTRGDLIKLFCIVTVEGAVLDPDDMAFDVSWFAVHSFGLDKAPVLLSSLDRKGVVTTGQRDWKSTVSLERVSVLEFLLQVHGSEDQDFGNYYCSVTPWVRSPTGSWQREAEIHSRPIFITVKMDVLNAFKYP 种属同源性预测 |
| 宿主/亚型 | Rabbit / IgG |
| 抗体类别 | Polyclonal |
| 产品类型 | Antibody |
| 全称 | prostaglandin F2 receptor negative regulator |
| 别名 | CD315, CD9 partner 1, CD9P-1, EWI-F, Fprp |
| 计算分子量 | 99 kDa |
| 观测分子量 | 100-130 kDa |
| GenBank蛋白编号 | NM_011197.3 |
| 基因名称 | Ptgfrn |
| Gene ID (NCBI) | 19221 |
| RRID | AB_3743101 |
| 偶联类型 | Unconjugated |
| 形式 | Liquid |
| 纯化方式 | Antigen affinity Purification |
| UNIPROT ID | Q9WV91 |
| 储存缓冲液 | PBS with 0.02% sodium azide and 50% glycerol, pH 7.3. |
| 储存条件 | Store at -20°C. Stable for one year after shipment. Aliquoting is unnecessary for -20oC storage. |
背景介绍
PTGFRN (Prostaglandin F2 Receptor Negative Regulator), also known as CD315, is a trans-membrane protein that modulates prostaglandin F2α signaling and links the tetraspanin web to the cytoskeleton, it is now recognized as a driver of metastasis; high expression correlates with aggressive proliferation, migration, and spheroid growth in epidermoid carcinoma, medulloblastoma, and mesothelioma, while silencing PTGFRN impairs these traits and disrupts autophagy (PMID: 38924562). The calculated value of PTGFRN is 98 kDa. It has multiple glycosylation sites and its molecular weight after glycosylation is approximately 100 - 130 kDa.
实验方案
| Product Specific Protocols | |
|---|---|
| WB protocol for CD315/PTGFRN antibody 33875-1-AP | Download protocol |
| Standard Protocols | |
|---|---|
| Click here to view our Standard Protocols |
