验证数据展示
经过测试的应用
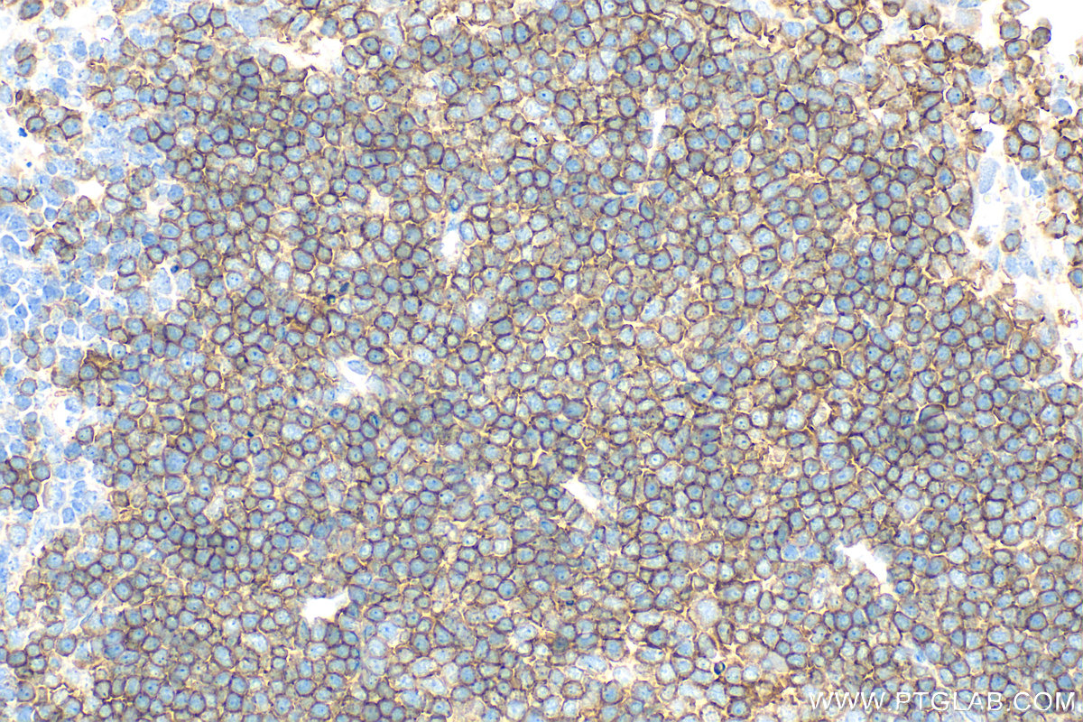
| Positive IHC detected in | mouse spleen tissue, rat spleen tissue Note: suggested antigen retrieval with TE buffer pH 9.0; (*) Alternatively, antigen retrieval may be performed with citrate buffer pH 6.0 |
推荐稀释比
| 应用 | 推荐稀释比 |
|---|---|
| Immunohistochemistry (IHC) | IHC : 1:200-1:800 |
| It is recommended that this reagent should be titrated in each testing system to obtain optimal results. | |
| Sample-dependent, Check data in validation data gallery. | |
产品信息
31263-1-AP targets CD19 in IHC, ELISA applications and shows reactivity with mouse, rat samples.
| 经测试应用 | IHC, ELISA Application Description |
| 经测试反应性 | mouse, rat |
| 免疫原 |
CatNo: Eg0907 Product name: Recombinant Mouse CD19 protein (His Tag) Source: mammalian cells-derived, pCMV (S18) Tag: C-6*HIS Domain: 19-287 aa of NM_009844.2 Sequence: RPQKSLLVEVEEGGNVVLPCLPDSSPVSSEKLAWYRGNQSTPFLELSPGSPGLGLHVGSLGILLVIVNVSDHMGGFYLCQKRPPFKDIWQPAWTVNVEDSGEMFRWNASDVRDLDCDLRNRSSGSHRSTSGSQLYVWAKDHPKVWGTKPVCAPRGSSLNQSLINQDLTVAPGSTLWLSCGVPPVPVAKGSISWTHVHPRRPNVSLLSLSLGGEHPVREMWVWGSLLLLPQATALDEGTYYCLRGNLTIERHVKVIARSAVWLWLLRTGG 种属同源性预测 |
| 宿主/亚型 | Rabbit / IgG |
| 抗体类别 | Polyclonal |
| 产品类型 | Antibody |
| 全称 | CD19 antigen |
| 别名 | B-lymphocyte antigen CD19, CD19 antigen |
| 计算分子量 | 60 kDa |
| GenBank蛋白编号 | NM_009844.2 |
| 基因名称 | Cd19 |
| Gene ID (NCBI) | 12478 |
| RRID | AB_3742414 |
| 偶联类型 | Unconjugated |
| 形式 | Liquid |
| 纯化方式 | Antigen affinity Purification |
| UNIPROT ID | P25918 |
| 储存缓冲液 | PBS with 0.02% sodium azide and 50% glycerol, pH 7.3. |
| 储存条件 | Store at -20°C. Stable for one year after shipment. Aliquoting is unnecessary for -20oC storage. |
背景介绍
CD19 is a 95 kDa type I transmembrane glycoprotein belonging to the immunoglobulin superfamily (PMID: 2472450). It is expressed by B cells and follicular dendritic cells. CD19 is up-regulated at the step of B-lineage commitment during the differentiation of the hematopoietic stem cell, it remains on during subsequent stages of differentiation until finally down-regulated during terminal differentiation into plasma cells (PMID: 8528044). CD19 is involved in B cell development, activation and differentiation. It is the dominant component for the signaling complex on B cells that includes CD21 (CR2), CD81 (TAPA-1) and CD225 and acts as a critical co-receptor for BCR signal transduction (PMID: 23210908).
实验方案
| Product Specific Protocols | |
|---|---|
| IHC protocol for CD19 antibody 31263-1-AP | Download protocol |
| Standard Protocols | |
|---|---|
| Click here to view our Standard Protocols |



