验证数据展示
产品信息
87439-1-PBS targets CCL4/MIP-1 beta as part of a matched antibody pair:
MP03044-1: 87439-1-PBS capture and 87439-2-PBS detection (validated in Cytometric bead array)
Unconjugated rabbit recombinant monoclonal antibody in PBS only (BSA and azide free) storage buffer at a concentration of 1 mg/mL, ready for conjugation. Created using Proteintech’s proprietary in-house recombinant technology. Recombinant production enables unrivalled batch-to-batch consistency, easy scale-up, and future security of supply.
This conjugation ready format makes antibodies ideal for use in many applications including: ELISAs, multiplex assays requiring matched pairs, mass cytometry, and multiplex imaging applications.Antibody use should be optimized by the end user for each application and assay.
| 经测试应用 | WB, IF/ICC, IP, Cytometric bead array, Indirect ELISA Application Description |
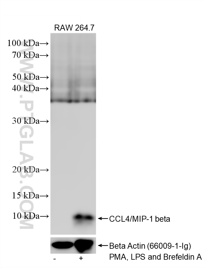
| 经测试反应性 | mouse, rat |
| 免疫原 |
CatNo: Eg3200 Product name: recombinant rat CCL4/MIP-1 beta protein Source: mammalian cells-derived, pHZ-KIsec-C-rFc Tag: C-rFc Domain: 24-92 aa of NM_053858.1 Sequence: APIGSDPPTSCCFSYTSRKIHRNFVMDYYETSSLCSQPAVVFLTKKGRQICADPSEPWVNEYVNDLELN 种属同源性预测 |
| 宿主/亚型 | Rabbit / IgG |
| 抗体类别 | Recombinant |
| 产品类型 | Antibody |
| 全称 | chemokine (C-C motif) ligand 4 |
| 别名 | C-C motif chemokine 4, Ccl4, CCL-4, Macrophage inflammatory protein 1-beta, MIP-1 beta |
| 计算分子量 | 10 kDa |
| 观测分子量 | 10 kDa |
| GenBank蛋白编号 | NM_053858.1 |
| 基因名称 | Ccl4 |
| Gene ID (NCBI) | 116637 |
| 偶联类型 | Unconjugated |
| 形式 | Liquid |
| 纯化方式 | Protein A purification |
| UNIPROT ID | P50230 |
| 储存缓冲液 | PBS only, pH 7.3. |
| 储存条件 | Store at -80°C. The product is shipped with ice packs. Upon receipt, store it immediately at -80°C |
背景介绍
CCL4 (C-C motif chemokine ligand 4), also known as macrophage inflammatory protein-1β (MIP-1β), is a pivotal chemokine that governs immune cell migration and activation. By binding primarily to its receptor CCR5, it directs the recruitment of monocytes, dendritic cells, natural killer (NK) cells, and T lymphocytes to sites of inflammation and infection. CCL4 plays a crucial role in antiviral defense, antitumor immunity, and inflammatory responses. However, dysregulated CCL4 signaling is implicated in the pathogenesis of chronic inflammatory diseases, autoimmune disorders, and cancer progression. Notably, due to its shared use of the CCR5 receptor with HIV-1, CCL4 also participates in HIV pathogenesis. This dual role as a mediator of both protective immunity and pathology positions CCL4 as a significant biomarker and a promising therapeutic target in immunology and medicine.





