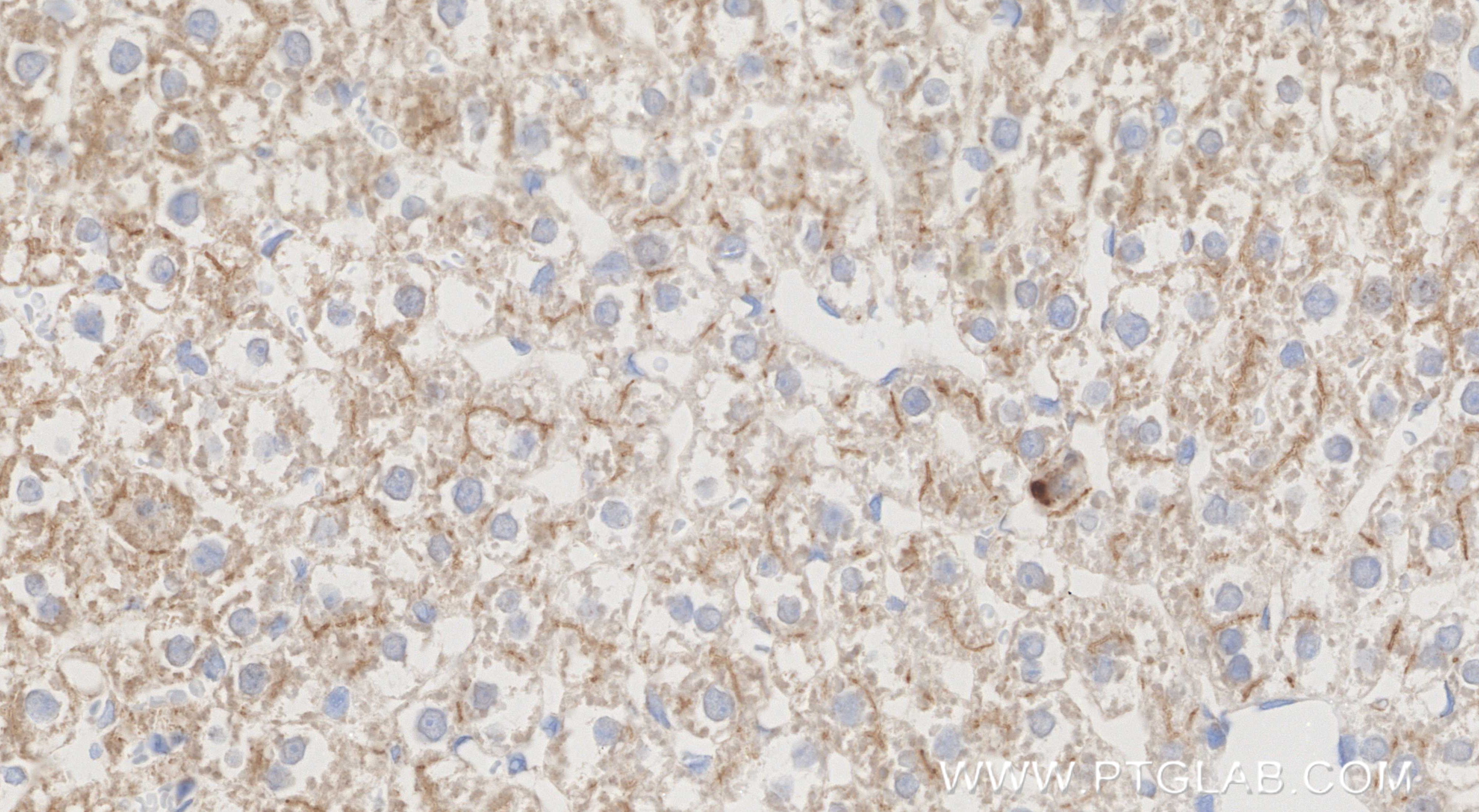
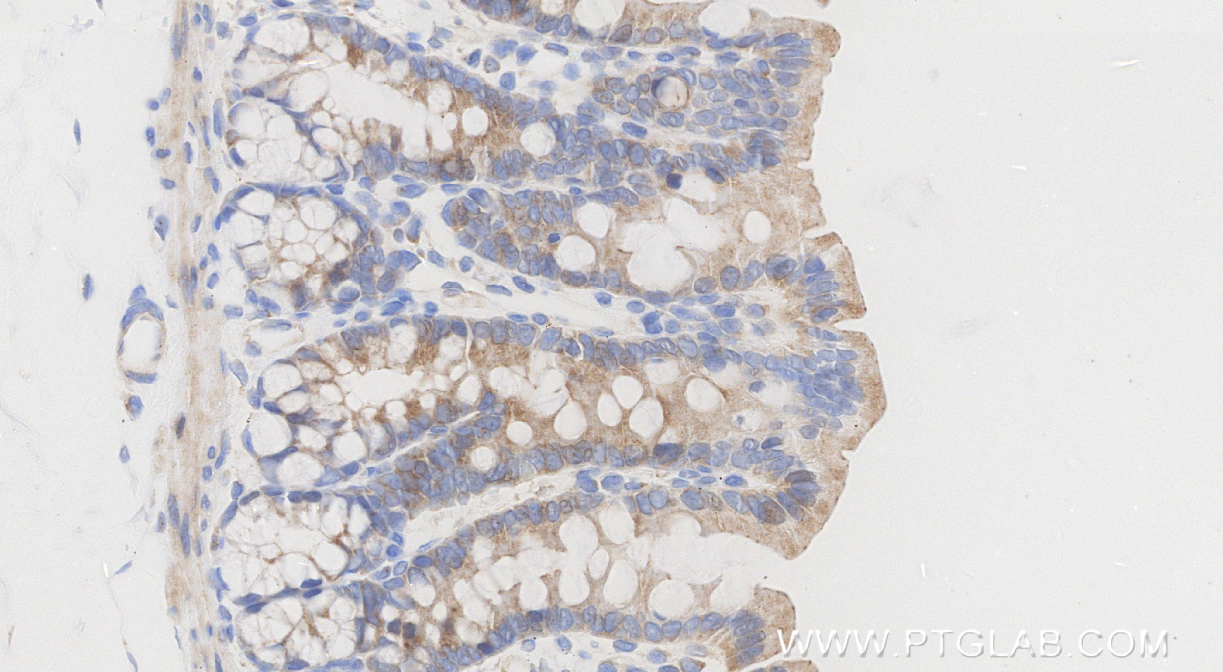
验证数据展示
产品信息
86607-3-PBS targets CCL20/MIP-3 alpha in WB, IHC, IF/ICC, Indirect ELISA applications and shows reactivity with rat samples.
| 经测试应用 | WB, IHC, IF/ICC, Indirect ELISA Application Description |
| 经测试反应性 | rat |
| 免疫原 |
CatNo: Eg3237 Product name: Recombinant Rat CCL20/MIP-3 alpha protein (rFc Tag) Source: mammalian cells-derived, pHZ-KIsec-C-rFc Tag: C-rFc Domain: 27-96 aa of NM_019233.1 Sequence: SNFDCCLTYTKNVYHHARNFVGFTTQMADEACDINAIIFHLKSKRSVCADPKQIWVKRILHLLSLRTKKM 种属同源性预测 |
| 宿主/亚型 | Rabbit / IgG |
| 抗体类别 | Recombinant |
| 产品类型 | Antibody |
| 全称 | chemokine (C-C motif) ligand 20 |
| 别名 | Beta-chemokine exodus-1, CC chemokine LARC, CC chemokine ST38, C-C motif chemokine 20, CCL 20 |
| 计算分子量 | 11 kDa |
| GenBank蛋白编号 | NM_019233.1 |
| 基因名称 | Ccl20 |
| Gene ID (NCBI) | 29538 |
| RRID | AB_3745002 |
| 偶联类型 | Unconjugated |
| 形式 | Liquid |
| 纯化方式 | Protein A purification |
| UNIPROT ID | P97884 |
| 储存缓冲液 | PBS only, pH 7.3. |
| 储存条件 | Store at -80°C. The product is shipped with ice packs. Upon receipt, store it immediately at -80°C |
背景介绍
CCL20, also known as macrophage infiltrating factor protein 3α, is a C-C chemokine that specifically binds to the receptor CCR6. CCL20 is produced in various tissues and by a wide range of immune cells, including neutrophils, natural killer cells, T-helper type 17 (Th17) cells, B cells, and various antigen-presenting cells, such as dendritic cells (DCs), Langerhans cells, and macrophages. Increased expression of CCL20 is likely involved in the increased recruitment of dendritic cells observed in fibroinflammatory diseases such as chronic obstructive pulmonary disease (COPD). CCL20 expression is increased by the proinflammatory cytokine IL-1 beta.





