验证数据展示
经过测试的应用
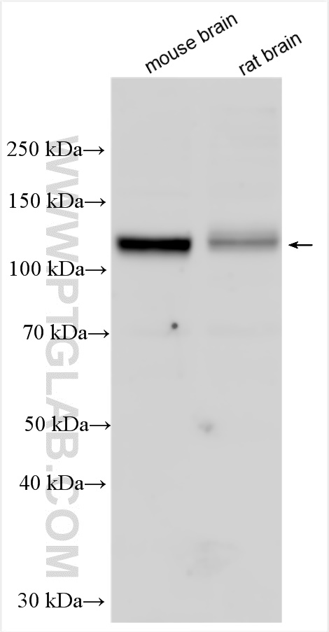
| Positive WB detected in | mouse brain tissue, rat brain tissue |
| Positive IF-P detected in | mouse brain tissue |
推荐稀释比
| 应用 | 推荐稀释比 |
|---|---|
| Western Blot (WB) | WB : 1:500-1:2000 |
| Immunofluorescence (IF)-P | IF-P : 1:50-1:500 |
| It is recommended that this reagent should be titrated in each testing system to obtain optimal results. | |
| Sample-dependent, Check data in validation data gallery. | |
产品信息
29817-1-AP targets CCDC39 in WB, IF-P, ELISA applications and shows reactivity with human, mouse, rat samples.
| 经测试应用 | WB, IF-P, ELISA Application Description |
| 经测试反应性 | human, mouse, rat |
| 免疫原 |
CatNo: Ag31067 Product name: Recombinant human CCDC39 protein Source: e coli.-derived, PGEX-4T Tag: GST Domain: 20-172 aa of NM_181426 Sequence: ANEENKLLEDQLSKLKDERASLQDELREYEERINSMTSHFKNVKQELSITQSLCKARERETESEEHFKAIAQRELGRVKDEIQRLENEMASILEKKSDKENGIFKATQKLDGLKCQMNWDQQALEAWLEESAHKDSDALTLQKYAQQDDNKIR 种属同源性预测 |
| 宿主/亚型 | Rabbit / IgG |
| 抗体类别 | Polyclonal |
| 产品类型 | Antibody |
| 全称 | coiled-coil domain containing 39 |
| 别名 | coiled coil domain containing 39, Coiled-coil domain-containing protein 39 |
| 计算分子量 | 110 kDa |
| 观测分子量 | 110 kDa |
| GenBank蛋白编号 | NM_181426 |
| 基因名称 | CCDC39 |
| Gene ID (NCBI) | 339829 |
| RRID | AB_3086172 |
| 偶联类型 | Unconjugated |
| 形式 | Liquid |
| 纯化方式 | Antigen affinity purification |
| UNIPROT ID | Q9UFE4 |
| 储存缓冲液 | PBS with 0.02% sodium azide and 50% glycerol, pH 7.3. |
| 储存条件 | Store at -20°C. Stable for one year after shipment. Aliquoting is unnecessary for -20oC storage. |
背景介绍
CCDC39 (Coiled-coil domain-containing protein 39) is an axonemal protein whose absence results in failure to correctly assemble DNALI1-containing inner dynein arm complexes, the DRC (dynein regulatory complex) and the radial spokes, thereby causing axonemal disorganization and dyskinetic beating. Alternatively, CCDC39 could participate in the transport of the inner dynein arms and DRC (PMID: 21131972). Its calculated molecular weight and observed molecular weight are both 110kDa.
实验方案
| Product Specific Protocols | |
|---|---|
| IF protocol for CCDC39 antibody 29817-1-AP | Download protocol |
| WB protocol for CCDC39 antibody 29817-1-AP | Download protocol |
| Standard Protocols | |
|---|---|
| Click here to view our Standard Protocols |

