验证数据展示
经过测试的应用
| Positive WB detected in | HepG2 cells |
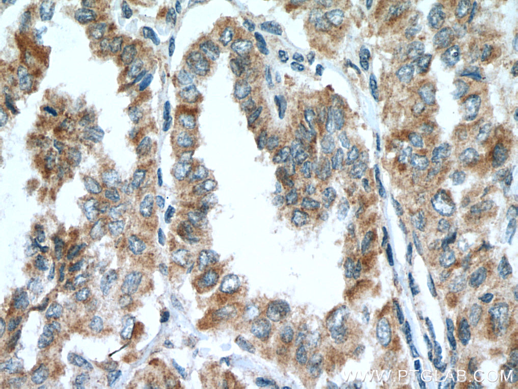
| Positive IHC detected in | human thyroid cancer tissue Note: suggested antigen retrieval with TE buffer pH 9.0; (*) Alternatively, antigen retrieval may be performed with citrate buffer pH 6.0 |
推荐稀释比
| 应用 | 推荐稀释比 |
|---|---|
| Western Blot (WB) | WB : 1:500-1:1000 |
| Immunohistochemistry (IHC) | IHC : 1:50-1:500 |
| It is recommended that this reagent should be titrated in each testing system to obtain optimal results. | |
| Sample-dependent, Check data in validation data gallery. | |
产品信息
20290-1-AP targets ALG3 in WB, IHC, IF, ELISA applications and shows reactivity with human samples.
| 经测试应用 | WB, IHC, ELISA Application Description |
| 文献引用应用 | WB, IHC, IF |
| 经测试反应性 | human |
| 文献引用反应性 | human |
| 免疫原 |
CatNo: Ag14059 Product name: Recombinant human ALG3 protein Source: e coli.-derived, PGEX-4T Tag: GST Domain: 241-299 aa of BC002839 Sequence: LQVVLGLPFLLENPSGYLSRSFDLGRQFLFHWTVNWRFLPEALFLHRAFHLALLTAHLT 种属同源性预测 |
| 宿主/亚型 | Rabbit / IgG |
| 抗体类别 | Polyclonal |
| 产品类型 | Antibody |
| 全称 | asparagine-linked glycosylation 3, alpha-1,3- mannosyltransferase homolog (S. cerevisiae) |
| 别名 | ALG3, CDGS4, D16Ertd36e, NOT, Not56, Not56 like protein, NOT56L |
| 计算分子量 | 438 aa, 50 kDa |
| 观测分子量 | 50-55 kDa |
| GenBank蛋白编号 | BC002839 |
| 基因名称 | ALG3 |
| Gene ID (NCBI) | 10195 |
| RRID | AB_2878663 |
| 偶联类型 | Unconjugated |
| 形式 | Liquid |
| 纯化方式 | Antigen affinity purification |
| UNIPROT ID | Q92685 |
| 储存缓冲液 | PBS with 0.02% sodium azide and 50% glycerol, pH 7.3. |
| 储存条件 | Store at -20°C. Stable for one year after shipment. Aliquoting is unnecessary for -20oC storage. |
实验方案
| Product Specific Protocols | |
|---|---|
| WB protocol for ALG3 antibody 20290-1-AP | Download protocol |
| IHC protocol for ALG3 antibody 20290-1-AP | Download protocol |
| Standard Protocols | |
|---|---|
| Click here to view our Standard Protocols |
发表文章
| Species | Application | Title |
|---|---|---|
Front Mol Biosci Expression of ALG3 in Hepatocellular Carcinoma and Its Clinical Implication. | ||
BMC Bioinformatics A novel glycosylation-related gene signature predicts survival in patients with lung adenocarcinoma | ||
J Exp Clin Cancer Res ALG3 contributes to stemness and radioresistance through regulating glycosylation of TGF-β receptor II in breast cancer. | ||
Cells ALG3 Promotes Peritoneal Metastasis of Ovarian Cancer through Increasing Interaction of α1,3-mannosylated uPAR and ADAM8
| ||
Heliyon Identification of ALG3 as a potential prognostic biomarker in lung adenocarcinoma
| ||
Metabolites Integrating TCGA and Single-Cell Sequencing Data for Hepatocellular Carcinoma: A Novel Glycosylation (GLY)/Tumor Microenvironment (TME) Classifier to Predict Prognosis and Immunotherapy Response |


