验证数据展示
经过测试的应用
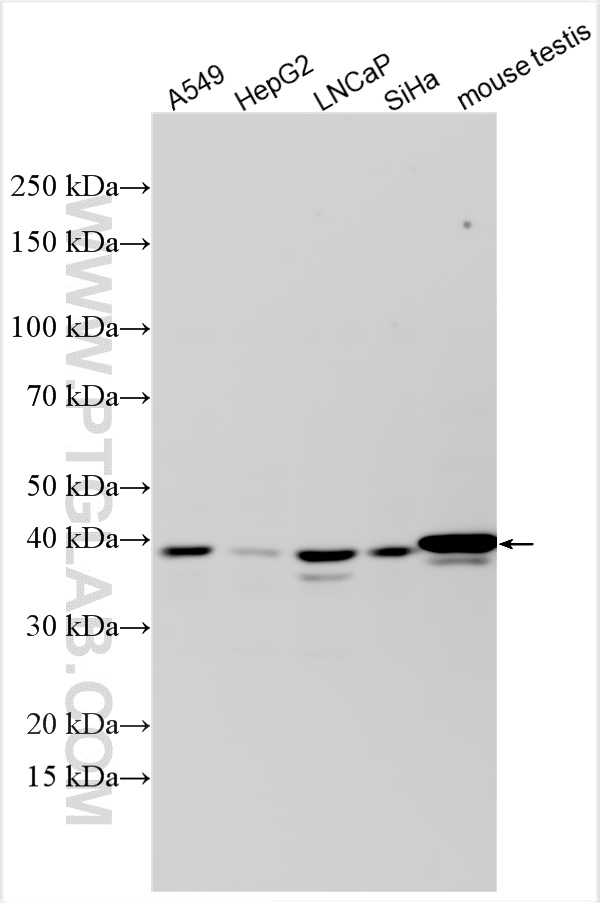
| Positive WB detected in | A549 cells, HepG2 cells, LNCap cells, SiHa cells, mouse testis tissue |
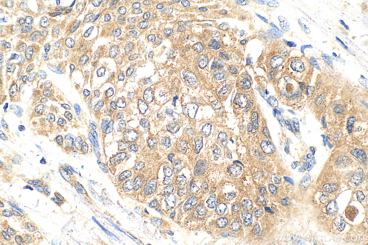
| Positive IHC detected in | human urothelial carcinoma tissue Note: suggested antigen retrieval with TE buffer pH 9.0; (*) Alternatively, antigen retrieval may be performed with citrate buffer pH 6.0 |
推荐稀释比
| 应用 | 推荐稀释比 |
|---|---|
| Western Blot (WB) | WB : 1:500-1:2000 |
| Immunohistochemistry (IHC) | IHC : 1:50-1:500 |
| It is recommended that this reagent should be titrated in each testing system to obtain optimal results. | |
| Sample-dependent, Check data in validation data gallery. | |
产品信息
32036-1-AP targets ABHD4 in WB, IHC, ELISA applications and shows reactivity with human, mouse samples.
| 经测试应用 | WB, IHC, ELISA Application Description |
| 经测试反应性 | human, mouse |
| 免疫原 |
CatNo: Ag36373 Product name: Recombinant human ABHD4 protein Source: e coli.-derived, PGEX-4T Tag: GST Domain: 250-342 aa of BC024779 Sequence: PSGETAFKAMMESFGWARRPMLERIHLIRKDVPITMIYGSDTWIDTSTGKKVKMQRPDSYVRDMEIKGASHHVYADQPHIFNAVVEEICDSVD 种属同源性预测 |
| 宿主/亚型 | Rabbit / IgG |
| 抗体类别 | Polyclonal |
| 产品类型 | Antibody |
| 全称 | abhydrolase domain containing 4 |
| 别名 | (Lyso)-N-acylphosphatidylethanolamine lipase, Abhydrolase Domain Containing 4 , Abhydrolase Domain Containing 4, N-Acyl Phospholipase B, Abhydrolase domain-containing protein 4, Alpha/beta hydrolase domain-containing protein 4 |
| 计算分子量 | 342 aa, 39 kDa |
| 观测分子量 | 39 kDa |
| GenBank蛋白编号 | BC024779 |
| 基因名称 | ABHD4 |
| Gene ID (NCBI) | 63874 |
| RRID | AB_3670176 |
| 偶联类型 | Unconjugated |
| 形式 | Liquid |
| 纯化方式 | Antigen affinity Purification |
| UNIPROT ID | Q8TB40 |
| 储存缓冲液 | PBS with 0.02% sodium azide and 50% glycerol, pH 7.3. |
| 储存条件 | Store at -20°C. Stable for one year after shipment. Aliquoting is unnecessary for -20oC storage. |
背景介绍
The alpha/beta hydrolase structural domain-containing protein 4 (ABHD4) gene is a major regulator of mammalian phospholipid metabolism with hydrolase and lysophospholipase activities. ABHD4 is involved in anoikis resistance and endogenous cannabinoid biosynthesis, and ABHD4-mediated developmental anoikis specifically protects embryonic brains from the consequences of sporadic delamination errors and teratogenic damage.
实验方案
| Product Specific Protocols | |
|---|---|
| IHC protocol for ABHD4 antibody 32036-1-AP | Download protocol |
| WB protocol for ABHD4 antibody 32036-1-AP | Download protocol |
| Standard Protocols | |
|---|---|
| Click here to view our Standard Protocols |

