验证数据展示
产品信息
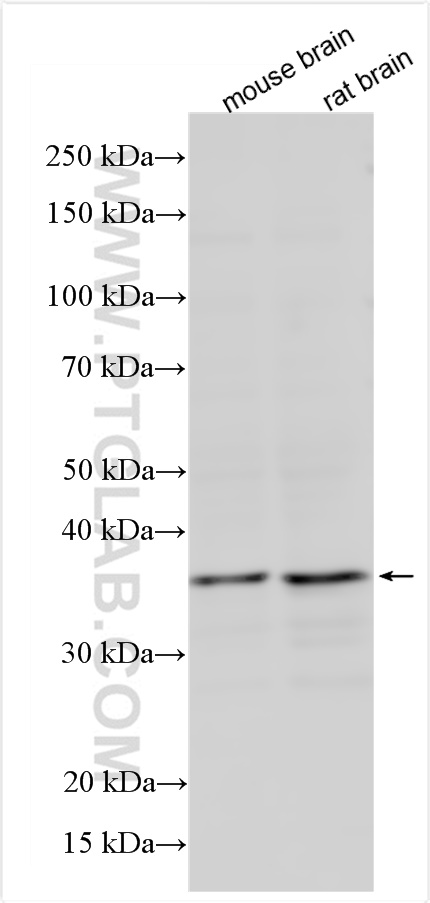
27214-1-PBS targets WNT2 in WB, IHC, IF/ICC, FC (Intra), Indirect ELISA applications and shows reactivity with human, mouse, rat samples.
| 经测试应用 | WB, IHC, IF/ICC, FC (Intra), Indirect ELISA Application Description |
| 经测试反应性 | human, mouse, rat |
| 免疫原 |
CatNo: Ag25845 Product name: Recombinant human WNT2 protein Source: e coli.-derived, PGEX-4T Tag: GST Domain: 231-270 aa of BC029854 Sequence: GDYLWRKYNGAIQVVMNQDGTGFTVANERFKKPTKNDLVY 种属同源性预测 |
| 宿主/亚型 | Rabbit / IgG |
| 抗体类别 | Polyclonal |
| 产品类型 | Antibody |
| 全称 | wingless-type MMTV integration site family member 2 |
| 别名 | Int 1 like protein 1, Int 1 related protein, INT1L1, Int-1-like protein 1, Int-1-related protein |
| 计算分子量 | 40 kDa |
| 观测分子量 | 34-40 kDa |
| GenBank蛋白编号 | BC029854 |
| 基因名称 | WNT2 |
| Gene ID (NCBI) | 7472 |
| RRID | AB_2880804 |
| 偶联类型 | Unconjugated |
| 形式 | Liquid |
| 纯化方式 | Antigen affinity purification |
| UNIPROT ID | P09544 |
| 储存缓冲液 | PBS only, pH 7.3. |
| 储存条件 | Store at -80°C. The product is shipped with ice packs. Upon receipt, store it immediately at -80°C |
背景介绍
Wnt2 is a secreted glycoprotein that is one of the canonical Wnt ligands. The WNT gene family consists of structurally related genes which encode secreted signaling proteins. These proteins have been implicated in oncogenesis and in several developmental processes, including regulation of cell fate and patterning during embryogenesis. Wnt2 is known to directly regulate β-catenin activity, the key player in proliferation and inflammation. Recently, studies have demonstrated that Wnt2 is overexpressed in various human cancers, including esophageal, gastric, colorectal, breast, lung, cervical, and malignant glioma.






