验证数据展示
经过测试的应用
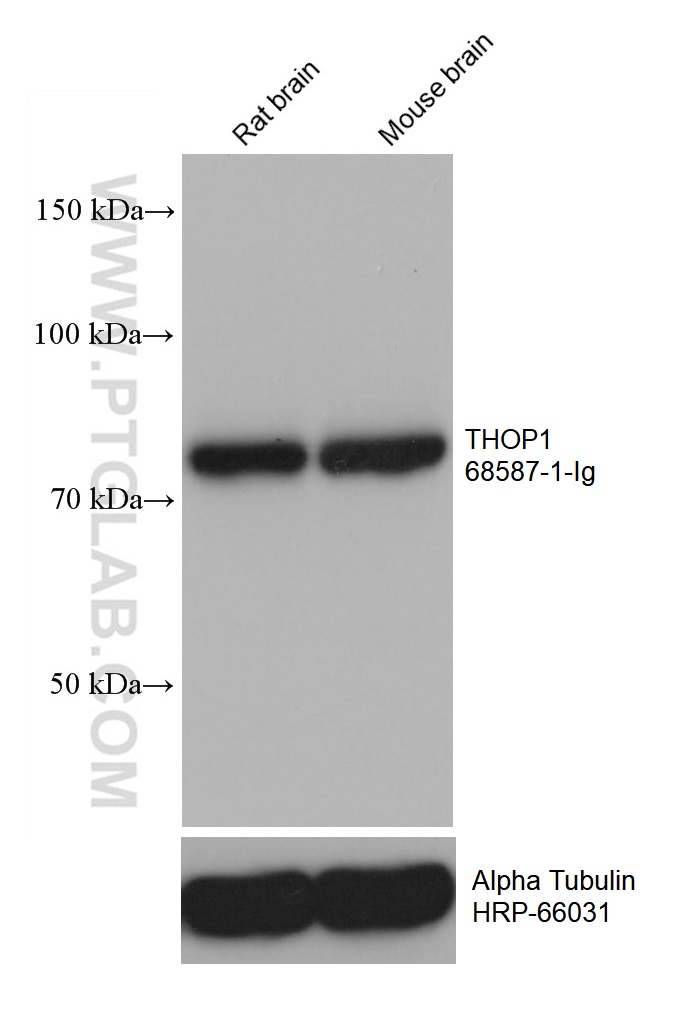
| Positive WB detected in | LNCaP cells, rat brain tissue, HeLa cells, Jurkat cells, K-562 cells, HSC-T6 cells, NIH/3T3 cells, Mouse brain tissue |
推荐稀释比
| 应用 | 推荐稀释比 |
|---|---|
| Western Blot (WB) | WB : 1:5000-1:50000 |
| It is recommended that this reagent should be titrated in each testing system to obtain optimal results. | |
| Sample-dependent, Check data in validation data gallery. | |
产品信息
68587-1-Ig targets THOP1 in WB, ELISA applications and shows reactivity with Human, Mouse , Rat samples.
| 经测试应用 | WB, ELISA Application Description |
| 经测试反应性 | Human, Mouse , Rat |
| 免疫原 |
CatNo: Ag2268 Product name: Recombinant human THOP1 protein Source: e coli.-derived, PGEX-4T Tag: GST Domain: 344-689 aa of BC000135 Sequence: VEETRYCVDQNLLKEYFPVQVVTHGLLGIYQELLGLAFHHEEGASAWHEDVRLYTARDAASGEVVGKFYLDLYPREGKYGHAACFGLQPGCLRQDGSRQIAIAAMVANFTKPTADAPSLLQHDEVETYFHEFGHVMHQLCSQAEFAMFSGTHVERDFVEAPSQMLENWVWEQEPLLRMSRHYRTGSAVPRELLEKLIESRQANTGLFNLRQIVLAKVDQALHTQTDADPAEEYARLCQEILGVPATPGTNMPATFGHLAGGYDAQYYGYLWSEVYSMDMFHTRFKQEGVLNSKVGMDYRSCILRPGGSEDASAMLRRFLGRDPKQDAFLLSKGLQVGGCEPEPQVC 种属同源性预测 |
| 宿主/亚型 | Mouse / IgG2a |
| 抗体类别 | Monoclonal |
| 产品类型 | Antibody |
| 全称 | thimet oligopeptidase 1 |
| 别名 | Endopeptidase 24.15, EP24.15, MEPD_HUMAN, MP78, Thimet oligopeptidase, thimet oligopeptidase 1, THOP1, TOP |
| 计算分子量 | 689 aa, 79 kDa |
| 观测分子量 | 79 kDa |
| GenBank蛋白编号 | BC000135 |
| 基因名称 | THOP1 |
| Gene ID (NCBI) | 7064 |
| RRID | AB_3085286 |
| 偶联类型 | Unconjugated |
| 形式 | Liquid |
| 纯化方式 | Protein A purification |
| UNIPROT ID | P52888 |
| 储存缓冲液 | PBS with 0.02% sodium azide and 50% glycerol, pH 7.3. |
| 储存条件 | Store at -20°C. Stable for one year after shipment. Aliquoting is unnecessary for -20oC storage. |
背景介绍
Thimet oligopeptidase(THOP1) is a metallopeptidase implicated in the metabolism of many sleep-related peptides, including angiotensin I, gonadotropin releasing hormone (GnRH), neurotensin, and opioid peptides
实验方案
| Product Specific Protocols | |
|---|---|
| WB protocol for THOP1 antibody 68587-1-Ig | Download protocol |
| Standard Protocols | |
|---|---|
| Click here to view our Standard Protocols |


