验证数据展示
产品信息
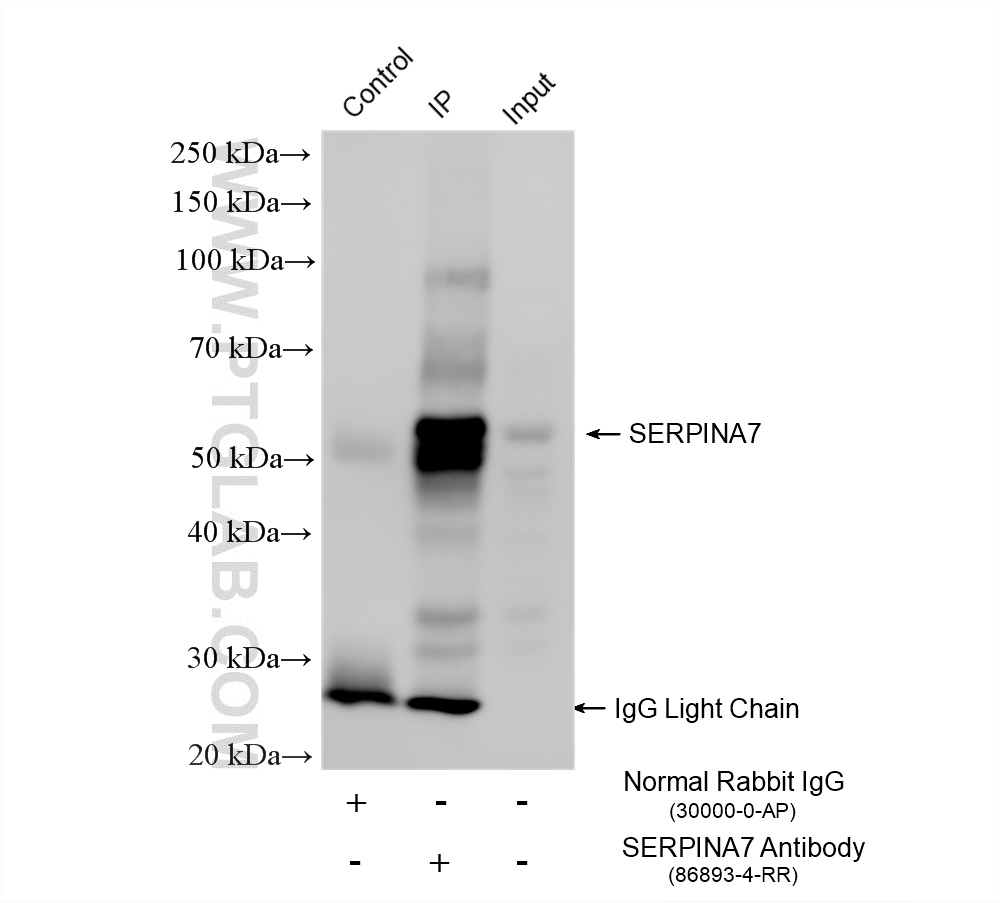
86893-4-PBS targets SERPINA7 in WB, IP, Indirect ELISA applications and shows reactivity with human samples.
| 经测试应用 | WB, IP, Indirect ELISA Application Description |
| 经测试反应性 | human |
| 免疫原 |
CatNo: Eg3062 Product name: recombinant human SERPINA7 protein Source: mammalian cells-derived, V37 Tag: C-rFc Domain: 21-415 aa of NM_000354.5 Sequence: ASPEGKVTACHSSQPNATLYKMSSINADFAFNLYRRFTVETPDKNIFFSPVSISAALVMLSFGACCSTQTEIVETLGFNLTDTPMVEIQHGFQHLICSLNFPKKELELQIGNALFIGKHLKPLAKFLNDVKTLYETEVFSTDFSNISAAKQEINSHVEMQTKGKVVGLIQDLKPNTIMVLVNYIHFKAQWANPFDPSKTEDSSSFLIDKTTTVQVPMMHQMEQYYHLVDMELNCTVLQMDYSKNALALFVLPKEGQMESVEAAMSSKTLKKWNRLLQKGWVDLFVPKFSISATYDLGATLLKMGIQHAYSENADFSGLTEDNGLKLSNAAHKAVLHIGEKGTEAAAVPEVELSDQPENTFLHPIIQIDRSFMLLILERSTRSILFLGKVVNPTEA 种属同源性预测 |
| 宿主/亚型 | Rabbit / IgG |
| 抗体类别 | Recombinant |
| 产品类型 | Antibody |
| 全称 | serpin peptidase inhibitor, clade A (alpha-1 antiproteinase, antitrypsin), member 7 |
| 别名 | Serpin A7, SERPINA 7 |
| 计算分子量 | 46 kDa |
| 观测分子量 | 54 kDa |
| GenBank蛋白编号 | NM_000354.5 |
| 基因名称 | SERPINA7 |
| Gene ID (NCBI) | 6906 |
| 偶联类型 | Unconjugated |
| 形式 | Liquid |
| 纯化方式 | Protein A purification |
| UNIPROT ID | P05543 |
| 储存缓冲液 | PBS only, pH 7.3. |
| 储存条件 | Store at -80°C. The product is shipped with ice packs. Upon receipt, store it immediately at -80°C |
背景介绍
SERPINA7, also known as Thyroxine-binding globulin (TBG), is a 54 kDa acidic glycoprotein, consisting of a single polypeptide chain of 395 amino acids and four oligosaccharide chains. It is one of the major serum transport proteins of thyroid hormones (THs). Although high amounts of albumin are found in serum, TBG has a greater affinity for thyroxine (T4). Mutations in this gene result in TGB deficiency, which has been classified as partial deficiency, complete deficiency, and excess, based on the level of serum TBG.


