验证数据展示
产品信息
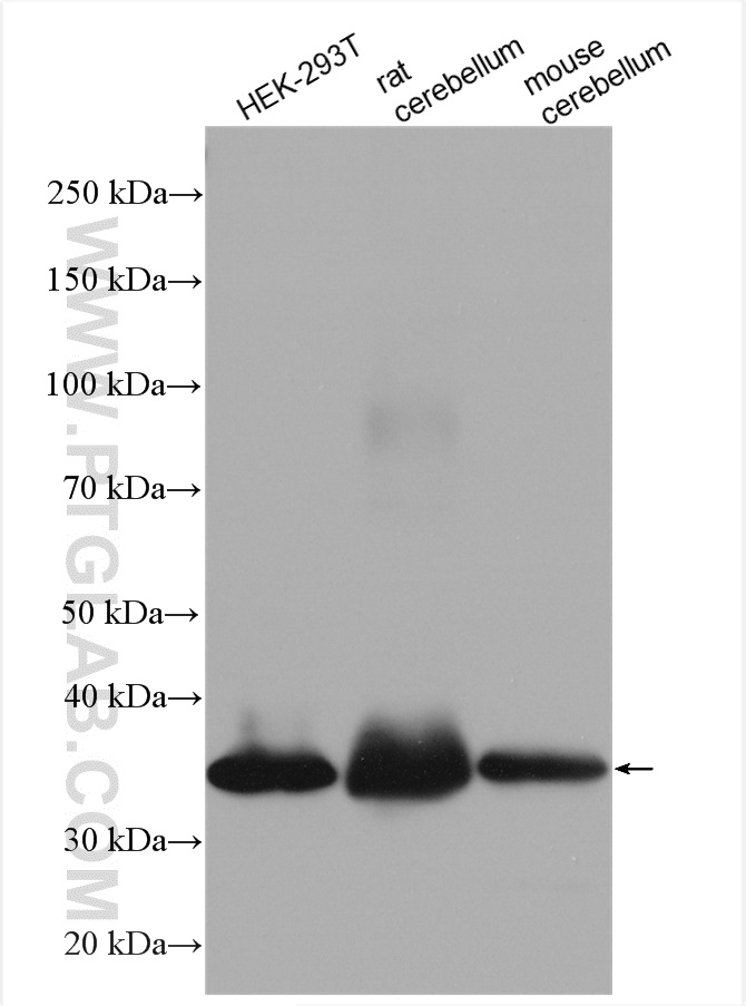
29424-1-PBS targets PPP1R3C in WB, IHC, Indirect ELISA applications and shows reactivity with human, mouse, rat samples.
| 经测试应用 | WB, IHC, Indirect ELISA Application Description |
| 经测试反应性 | human, mouse, rat |
| 免疫原 |
CatNo: Ag30280 Product name: Recombinant human PPP1R3C protein Source: e coli.-derived, PGEX-4T Tag: GST Domain: 42-185 aa of BC012625 Sequence: PYDEFQRRHFVNKLKPLKSCLNIKHKAKSQNDWKCSHNQAKKRVVFADSKGLSLTAIHVFSDLPEEPAWDLQFDLLDLNDISSALKHHEEKNLILDFPQPSTDYLSFRSHFQKNFVCLENCSLQERTVTGTVKVKNVSFEKKVQ 种属同源性预测 |
| 宿主/亚型 | Rabbit / IgG |
| 抗体类别 | Polyclonal |
| 产品类型 | Antibody |
| 全称 | protein phosphatase 1, regulatory (inhibitor) subunit 3C |
| 别名 | PP1 subunit R5, PPP1R5, Protein targeting to glycogen |
| 计算分子量 | 317 aa, 36 kDa |
| 观测分子量 | 36 kDa |
| GenBank蛋白编号 | BC012625 |
| 基因名称 | PPP1R3C |
| Gene ID (NCBI) | 5507 |
| RRID | AB_2918304 |
| 偶联类型 | Unconjugated |
| 形式 | Liquid |
| 纯化方式 | Antigen affinity purification |
| UNIPROT ID | Q9UQK1 |
| 储存缓冲液 | PBS only, pH 7.3. |
| 储存条件 | Store at -80°C. The product is shipped with ice packs. Upon receipt, store it immediately at -80°C |
背景介绍
• Protein phosphatase 1 regulatory subunit 3C (PPP1R3C) is an enzyme that binds to protein phosphatase-1 (PP1) as a regulator. The central role of PPP1R3C is associated with glycogenesis and the overexpression of this gene increases glycogen storage. The cellular glycogen level is suppressed when PPP1R3C is knocked-down. PPP1R3C induces glycogen accumulation via HIF1 α during hypoxia and it is hypermethylated in melanoma (PMID: 25846879). Overexpression of PPP1R3C increased hepatic gluconeogenesis in vitro and in vivo while knockdown of PPP1R3C showed an opposite result (PMID: 31181215).


