验证数据展示
产品信息
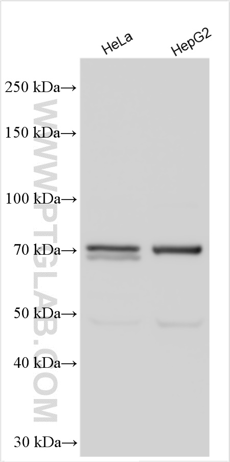
17426-1-PBS targets MIER2 in WB, Indirect ELISA applications and shows reactivity with human, mouse, rat samples.
| 经测试应用 | WB, Indirect ELISA Application Description |
| 经测试反应性 | human, mouse, rat |
| 免疫原 |
CatNo: Ag11491 Product name: Recombinant human MIER2 protein Source: e coli.-derived, PGEX-4T Tag: GST Domain: 197-545 aa of BC028203 Sequence: IMVGPQFQADLSNLHLNRHCEKIYENEDQLLWDPSVLPEREVEEFLYRAVKRRWHEMAGPQLPEGEAVKDSEQALYELVKCNFNVEEALRRLRFNVKVIRDGLCAWSEEECRNFEHGFRVHGKNFHLIQANKVRTRSVGECVEYYYLWKKSERYDYFAQQTRLGRRKYVPSGTTDADQDLDGSDPDGPGRPRPEQDTLTGMRTDPLSVDGTAGGLDEPGVASDGLPSSEPGPCSFQQLDESPAVPLSHRPPALADPASYQPAVTAPEPDASPRLAVDFALPKELPLISSHVDLSGDPEETVAPAQVALSVTEFGLIGIGDVNPFLAAHPTCPAPGLHSEPLSHCNVMTC 种属同源性预测 |
| 宿主/亚型 | Rabbit / IgG |
| 抗体类别 | Polyclonal |
| 产品类型 | Antibody |
| 全称 | mesoderm induction early response 1, family member 2 |
| 别名 | |
| 计算分子量 | 545 aa, 60 kDa |
| 观测分子量 | 65-70 kDa |
| GenBank蛋白编号 | BC028203 |
| 基因名称 | MIER2 |
| Gene ID (NCBI) | 54531 |
| RRID | AB_2143931 |
| 偶联类型 | Unconjugated |
| 形式 | Liquid |
| 纯化方式 | Antigen affinity purification |
| UNIPROT ID | Q8N344 |
| 储存缓冲液 | PBS only, pH 7.3. |
| 储存条件 | Store at -80°C. The product is shipped with ice packs. Upon receipt, store it immediately at -80°C |
背景介绍
Mesoderm induction early response 2 (MIER2) is a member of the MIER family of proteins, which is relatively conservative in evolution and includes three members: MIER1, MIER2, and MIER3. The MIER family is known to contribute to histone deacetylase (HDAC) activity and actively participate in histone deacetylation (PMID: 28046085; PMID: 38702028). In renal cell carcinoma, MIER2 represses PGC1A expression by recruiting HDAC1 to deacetylate P53 (PMID: 28046085).

