验证数据展示
经过测试的应用
| Positive WB detected in | HeLa cells, L02 cells, A549 cells, HuH-7 cells, SMMC-7721 cells, mouse liver tissue |
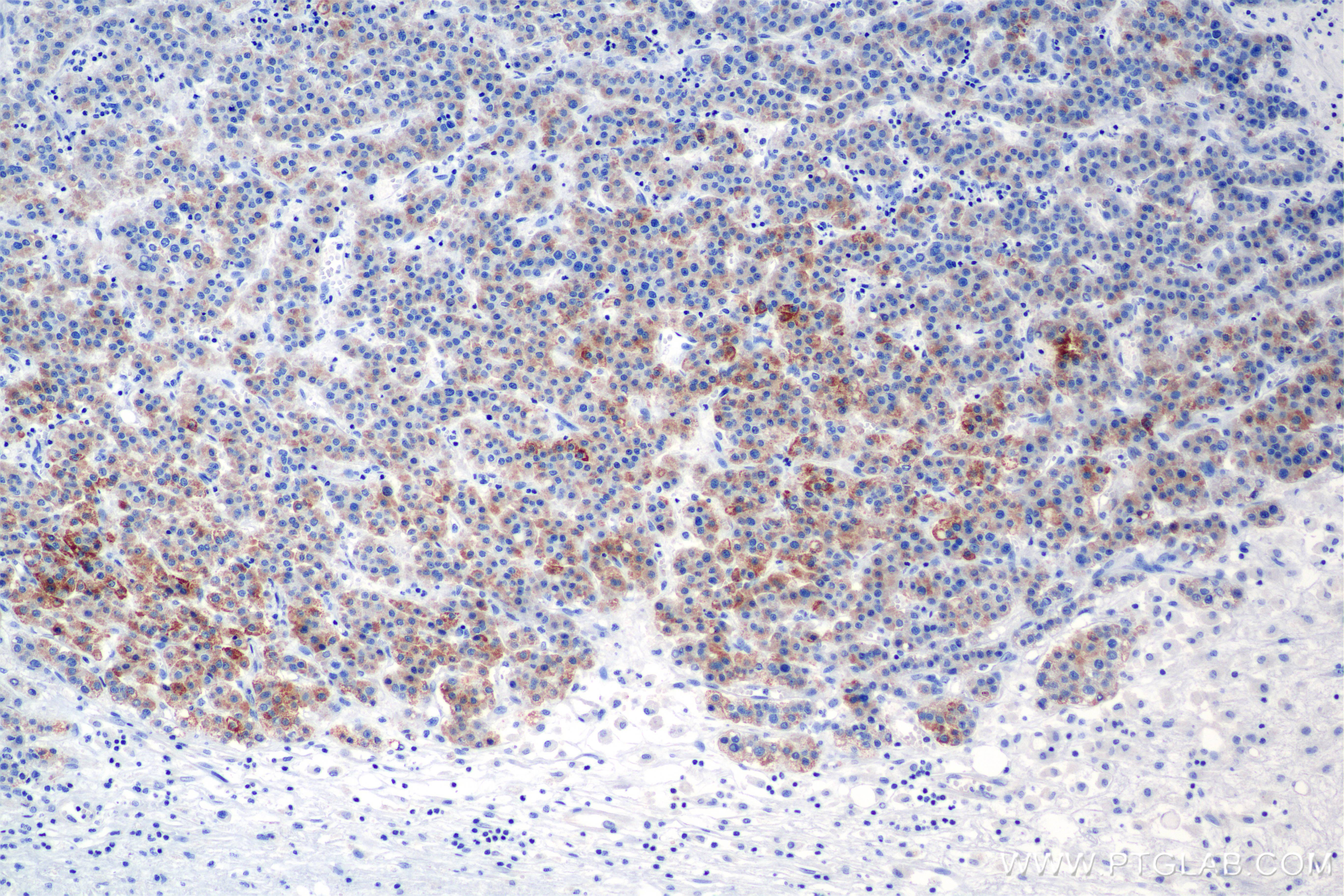
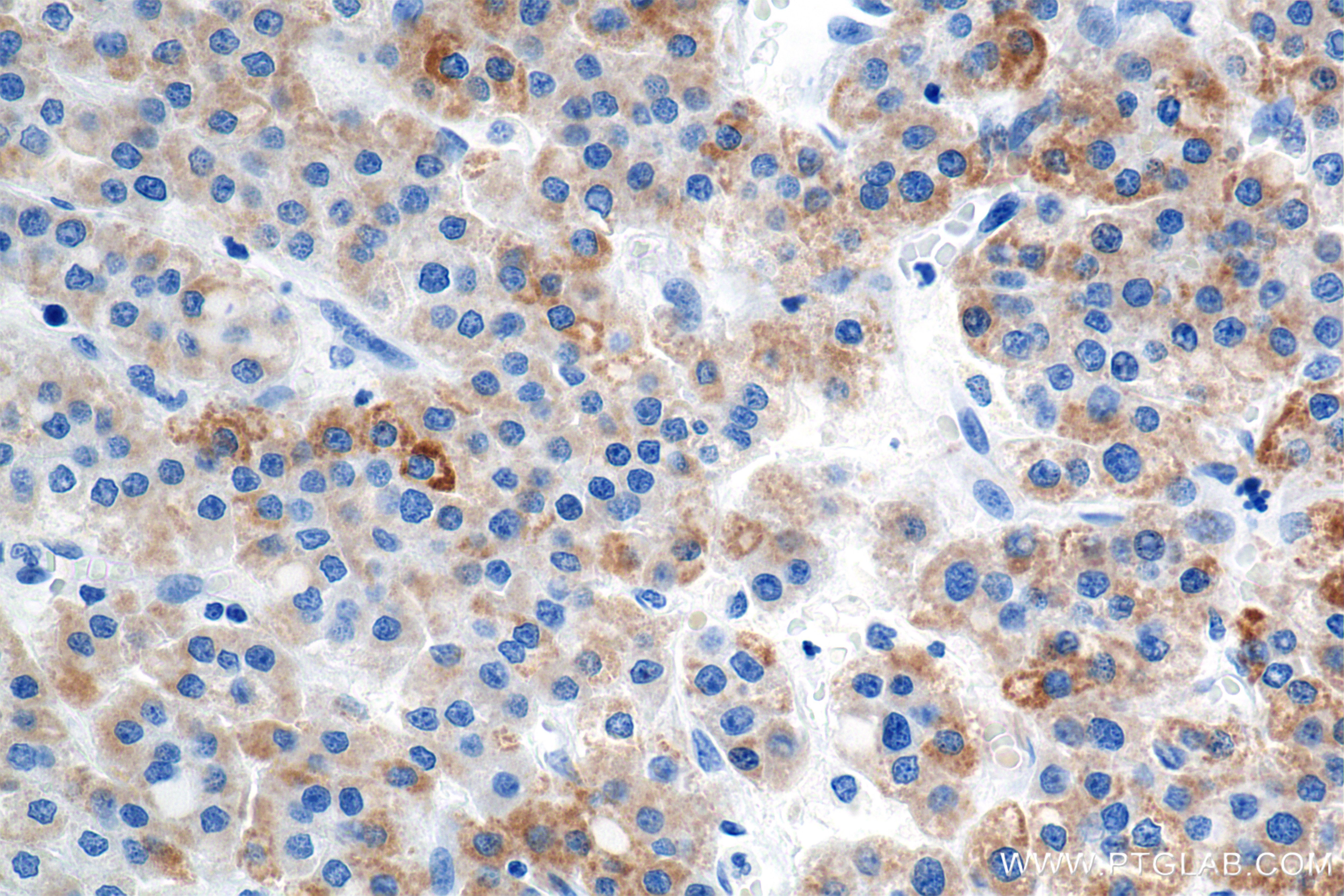
| Positive IHC detected in | human liver cancer tissue, human hepatocellular cancer Note: suggested antigen retrieval with TE buffer pH 9.0; (*) Alternatively, antigen retrieval may be performed with citrate buffer pH 6.0 |
推荐稀释比
| 应用 | 推荐稀释比 |
|---|---|
| Western Blot (WB) | WB : 1:5000-1:50000 |
| Immunohistochemistry (IHC) | IHC : 1:200-1:800 |
| It is recommended that this reagent should be titrated in each testing system to obtain optimal results. | |
| Sample-dependent, Check data in validation data gallery. | |
产品信息
85320-1-RR targets CYP4F2-Specific in WB, IHC, ELISA applications and shows reactivity with human, mouse samples.
| 经测试应用 | WB, IHC, ELISA Application Description |
| 经测试反应性 | human, mouse |
| 免疫原 |
Peptide 种属同源性预测 |
| 宿主/亚型 | Rabbit / IgG |
| 抗体类别 | Recombinant |
| 产品类型 | Antibody |
| 全称 | cytochrome P450, family 4, subfamily F, polypeptide 2 |
| 别名 | CYP4F2, 20-HETE synthase, 20-hydroxyeicosatetraenoic acid synthase, 242307B10, Arachidonic acid omega-hydroxylase |
| 计算分子量 | 60 kDa |
| 观测分子量 | 50-53 kDa |
| GenBank蛋白编号 | NM_001082 |
| 基因名称 | CYP4F2 |
| Gene ID (NCBI) | 8529 |
| RRID | AB_3744133 |
| 偶联类型 | Unconjugated |
| 形式 | Liquid |
| 纯化方式 | Protein A purification |
| UNIPROT ID | P78329 |
| 储存缓冲液 | PBS with 0.02% sodium azide and 50% glycerol, pH 7.3. |
| 储存条件 | Store at -20°C. Stable for one year after shipment. Aliquoting is unnecessary for -20oC storage. |
背景介绍
CYP4F2, also naemed as CPF2, belongs to the cytochrome P450 family. Cytochromes P450 are a group of heme-thiolate monooxygenases. In liver microsomes, CYP4F2 is involved in an NADPH-dependent electron transport pathway. It oxidizes a variety of structurally unrelated compounds, including steroids, fatty acids, and xenobiotics. This antibody is specific to CYP4F2 with an observed molecular weight of 50-53 kDa (PMID: 17341693, PMID: 37121548).
实验方案
| Product Specific Protocols | |
|---|---|
| IHC protocol for CYP4F2-Specific antibody 85320-1-RR | Download protocol |
| WB protocol for CYP4F2-Specific antibody 85320-1-RR | Download protocol |
| Standard Protocols | |
|---|---|
| Click here to view our Standard Protocols |





