验证数据展示
产品信息
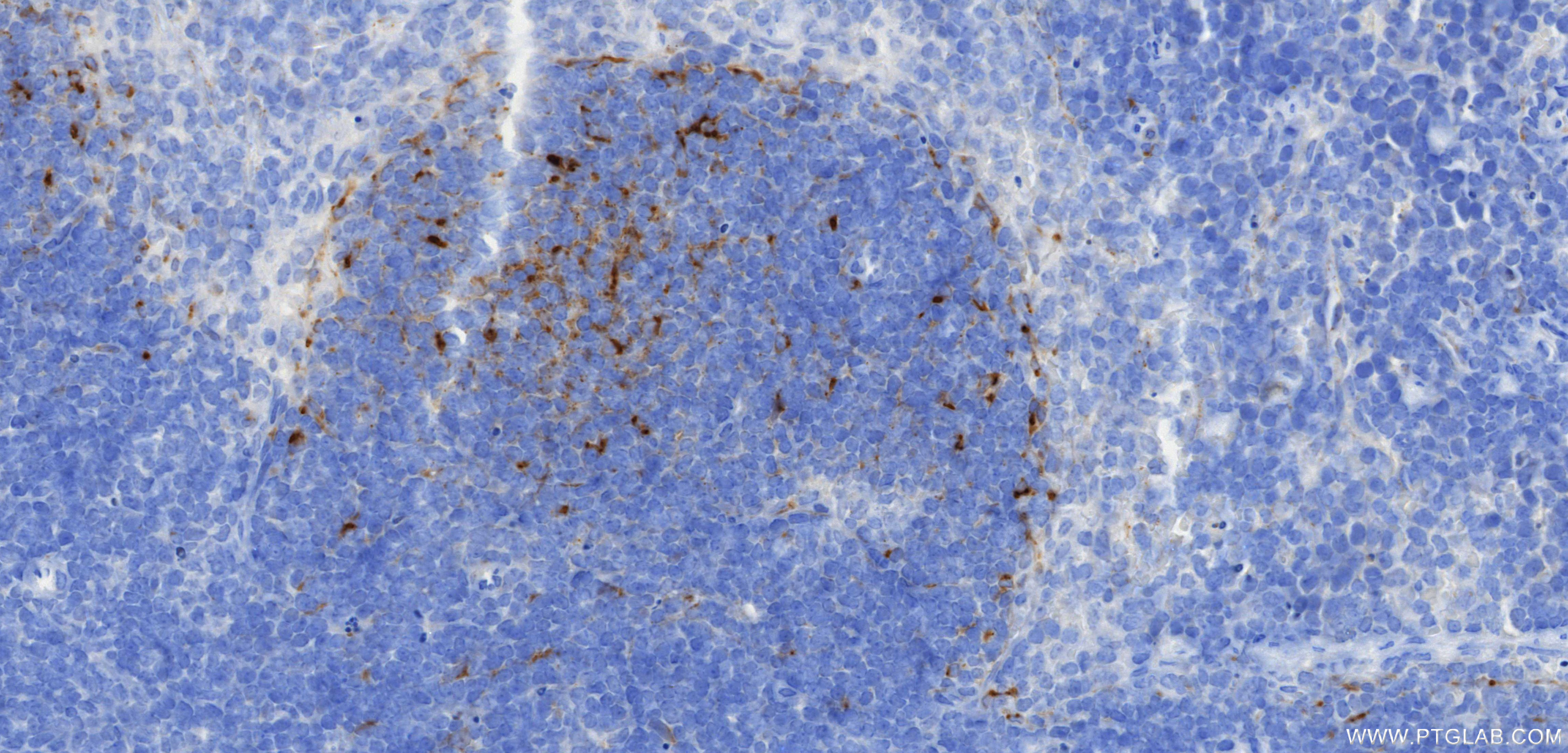
98562-1-PBS targets CXCL13/BCA1 in IHC, FC (Intra) applications and shows reactivity with mouse samples.
| 经测试应用 | IHC, FC (Intra) Application Description |
| 经测试反应性 | mouse |
| 免疫原 |
CatNo: Eg3331 Product name: Recombinant Mouse Cxcl13 protein (rFc Tag) Source: mammalian cells-derived, pHZ-KIsec-C-rFc Tag: C-rFc Domain: 22-109 aa of NM_018866 Sequence: ILEAHYTNLKCRCSGVISTVVGLNIIDRIQVTPPGNGCPKTEVVIWTKMKKVICVNPRAKWLQRLLRHVQSKSLSSTPQAPVSKRRAA 种属同源性预测 |
| 宿主/亚型 | Rabbit / IgG |
| 抗体类别 | Recombinant |
| 产品类型 | Antibody |
| 全称 | chemokine (C-X-C motif) ligand 13 |
| 别名 | Cxcl13, B lymphocyte chemoattractant, BCA1, Blc, CXC chemokine BLC |
| 计算分子量 | 12 kDa |
| GenBank蛋白编号 | NM_018866 |
| 基因名称 | Cxcl13 |
| Gene ID (NCBI) | 55985 |
| 偶联类型 | Unconjugated |
| 形式 | Liquid |
| 纯化方式 | Protein A purification |
| UNIPROT ID | O55038 |
| 储存缓冲液 | PBS only, pH 7.3. |
| 储存条件 | Store at -80°C. The product is shipped with ice packs. Upon receipt, store it immediately at -80°C |
背景介绍
CXCL13 (C-X-C motif chemokine 13), originally named B-lymphocyte chemoattractant (BLC) or B cell-attracting chemokine 1 (BCA-1), is a homeostatic chemokine that is constitutively secreted by stromal cells in the B-cell follicles of secondary lymphoid tissues (e.g., spleen, lymph nodes, tonsils, and Peyer's patches). It plays a crucial role in orchestrating cell migration within distinct regions of secondary lymphoid organs, strongly attracting B lymphocytes (and, to a lesser extent, T cells and macrophages) via its receptor CXCR5 (originally named Burkitt's lymphoma receptor 1, BLR1). In addition to maintaining immune cell trafficking and lymphoid follicle development, CXCL13 is implicated in inflammatory and autoimmune diseases (e.g., systemic lupus erythematosus, rheumatoid arthritis) and tumor progression (e.g., multiple myeloma).



