WB Figures
WB analysis using 25682-1-AP (same clone as 25682-1-PBS)
Various lysates were subjected to SDS PAGE followed by western blot with 25682-1-AP (CD63 antibody) at dilution of 1:40000 incubated at room temperature for 1.5 hours. This data was developed using the same antibody clone with 25682-1-PBS in a different storage buffer formulation.
WB analysis using 25682-1-AP (same clone as 25682-1-PBS)
Human plasma and human plasma-derived exosomes (human plasma-exo) were subjected to SDS PAGE followed by western blot with 25682-1-AP (CD63 antibody) at dilution of 1:1000 incubated at room temperature for 1.5 hours. This data was developed using the same antibody clone with 25682-1-PBS in a different storage buffer formulation.
WB analysis of human serum exosomes using 25682-1-AP (same clone as 25682-1-PBS)
Human serum exosomes were subjected to SDS PAGE followed by western blot with 25682-1-AP (CD63 antibody) at dilution of 1:300 incubated at 4 degree celsius over night. This data was developed using the same antibody clone with 25682-1-PBS in a different storage buffer formulation.
WB analysis of human urine exosomes using 25682-1-AP (same clone as 25682-1-PBS)
human urine exosomes tissue were subjected to SDS PAGE followed by western blot with 25682-1-AP (CD63 antibody) at dilution of 1:1000 incubated at room temperature for 1.5 hours. This data was developed using the same antibody clone with 25682-1-PBS in a different storage buffer formulation.
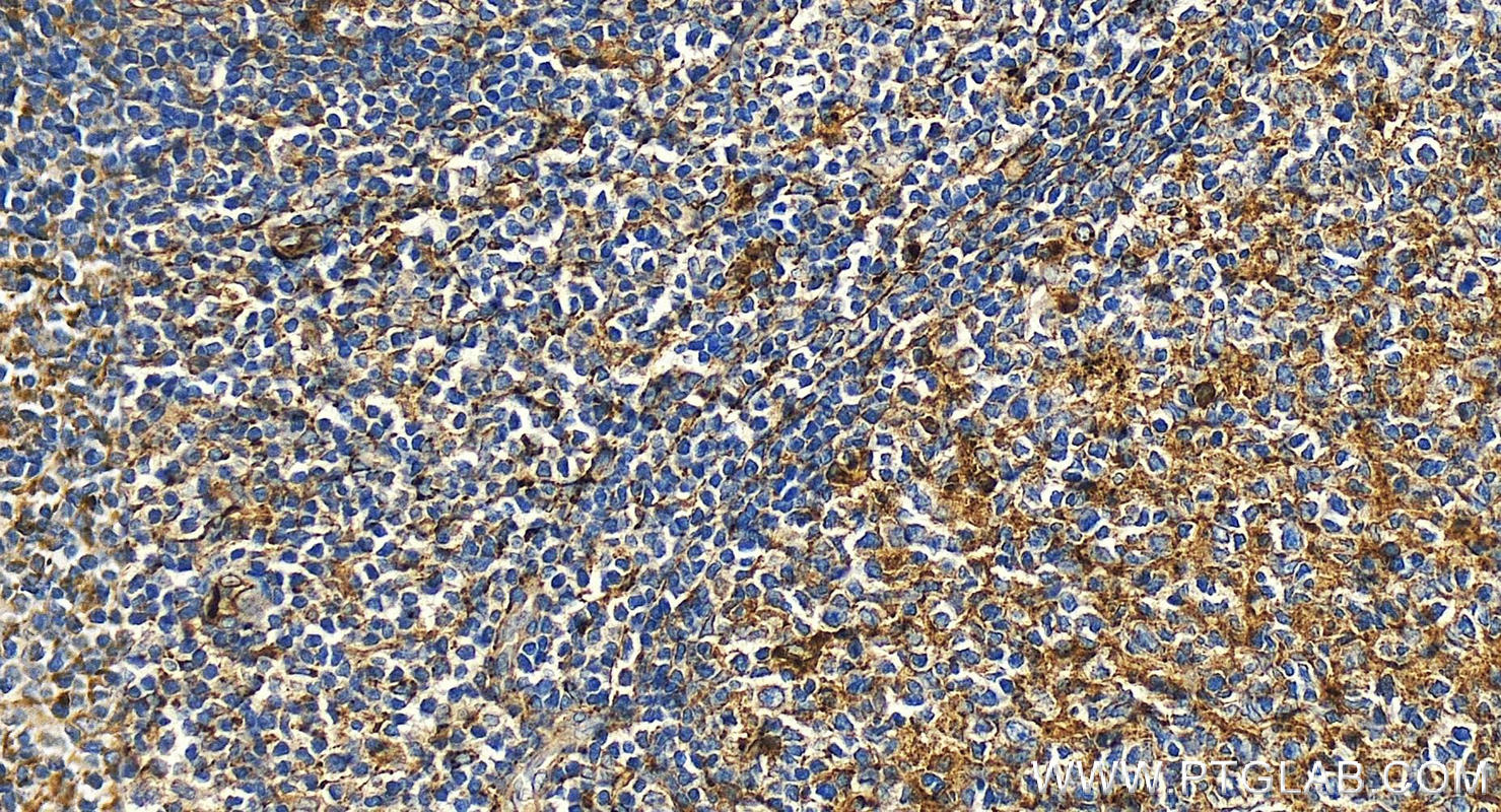
IHC staining of human lymphoma using 25682-1-AP (same clone as 25682-1-PBS)
Immunohistochemical analysis of paraffin-embedded human lymphoma tissue slide using 25682-1-AP (CD63 antibody) at dilution of 1:800 (under 10x lens). Heat mediated antigen retrieval with Tris-EDTA buffer (pH 9.0). This data was developed using the same antibody clone with 25682-1-PBS in a different storage buffer formulation.
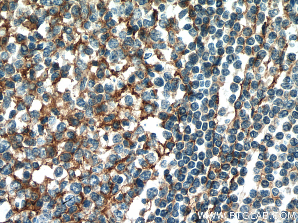
IHC staining of human lymphoma using 25682-1-AP (same clone as 25682-1-PBS)
Immunohistochemical analysis of paraffin-embedded human lymphoma tissue slide using 25682-1-AP (CD63 antibody) at dilution of 1:800 (under 40x lens). Heat mediated antigen retrieval with Tris-EDTA buffer (pH 9.0). This data was developed using the same antibody clone with 25682-1-PBS in a different storage buffer formulation.
IHC staining of human lymphoma using 25682-1-AP (same clone as 25682-1-PBS)
Immunohistochemical analysis of paraffin-embedded human lymphoma tissue slide using 25682-1-AP (CD63 antibody) at dilution of 1:800 (under 40x lens). Heat mediated antigen retrieval with Tris-EDTA buffer (pH 9.0). This data was developed using the same antibody clone with 25682-1-PBS in a different storage buffer formulation.
IHC staining of human malignant melanoma using 25682-1-AP (same clone as 25682-1-PBS)
Immunohistochemical analysis of paraffin-embedded human malignant melanoma tissue slide using 25682-1-AP (CD63 antibody) at dilution of 1:800 (under 10x lens). This data was developed using the same antibody clone with 25682-1-PBS in a different storage buffer formulation.
IHC staining of human malignant melanoma using 25682-1-AP (same clone as 25682-1-PBS)
Immunohistochemical analysis of paraffin-embedded human malignant melanoma tissue slide using 25682-1-AP (CD63 antibody) at dilution of 1:800 (under 40x lens). This data was developed using the same antibody clone with 25682-1-PBS in a different storage buffer formulation.
IHC staining of human malignant melanoma using 25682-1-AP (same clone as 25682-1-PBS)
Immunohistochemical analysis of paraffin-embedded human malignant melanoma tissue slide using 25682-1-AP (CD63 antibody) at dilution of 1:800 (under 10x lens). Heat mediated antigen retrieval with Tris-EDTA buffer (pH 9.0). This data was developed using the same antibody clone with 25682-1-PBS in a different storage buffer formulation.
IHC staining of human malignant melanoma using 25682-1-AP (same clone as 25682-1-PBS)
Immunohistochemical analysis of paraffin-embedded human malignant melanoma tissue slide using 25682-1-AP (CD63 antibody) at dilution of 1:800 (under 40x lens). Heat mediated antigen retrieval with Tris-EDTA buffer (pH 9.0). This data was developed using the same antibody clone with 25682-1-PBS in a different storage buffer formulation.
IHC staining of human tonsillitis using 25682-1-AP (same clone as 25682-1-PBS)
Immunohistochemical analysis of paraffin-embedded human tonsillitis tissue slide using 25682-1-AP (CD63 antibody) at dilution of 1:800 (under 20x lens). Heat mediated antigen retrieval with Tris-EDTA buffer (pH 9.0). This data was developed using the same antibody clone with 25682-1-PBS in a different storage buffer formulation.
IHC staining of human tonsillitis using 25682-1-AP (same clone as 25682-1-PBS)
Immunohistochemical analysis of paraffin-embedded human tonsillitis tissue slide using 25682-1-AP (CD63 antibody) at dilution of 1:800 (under 20x lens). Heat mediated antigen retrieval with Tris-EDTA buffer (pH 9.0). This data was developed using the same antibody clone with 25682-1-PBS in a different storage buffer formulation.
IHC staining of human tonsillitis using 25682-1-AP (same clone as 25682-1-PBS)
Immunohistochemical analysis of paraffin-embedded human tonsillitis tissue slide using 25682-1-AP (CD63 antibody) at dilution of 1:800 (under 10x lens). Heat mediated antigen retrieval with Tris-EDTA buffer (pH 9.0). This data was developed using the same antibody clone with 25682-1-PBS in a different storage buffer formulation.
IHC staining of human tonsillitis using 25682-1-AP (same clone as 25682-1-PBS)
Immunohistochemical analysis of paraffin-embedded human tonsillitis tissue slide using 25682-1-AP (CD63 antibody) at dilution of 1:800 (under 40x lens). Heat mediated antigen retrieval with Tris-EDTA buffer (pH 9.0). This data was developed using the same antibody clone with 25682-1-PBS in a different storage buffer formulation.
IHC staining of human tonsillitis using 25682-1-AP (same clone as 25682-1-PBS)
Immunohistochemical analysis of paraffin-embedded human tonsillitis tissue slide using 25682-1-AP (CD63 antibody) at dilution of 1:800 (under 40x lens). Heat mediated antigen retrieval with Tris-EDTA buffer (pH 9.0). This data was developed using the same antibody clone with 25682-1-PBS in a different storage buffer formulation.
IF-P Figures
IF Staining of human malignant melanoma using 25682-1-AP (same clone as 25682-1-PBS)
Immunofluorescent analysis of (4% PFA) fixed human malignant melanoma tissue using CD63 antibody (25682-1-AP) at dilution of 1:200 and CoraLite®488-Conjugated AffiniPure Goat Anti-Rabbit IgG(H+L). This data was developed using the same antibody clone with 25682-1-PBS in a different storage buffer formulation.
IF Staining of human malignant melanoma using 25682-1-AP (same clone as 25682-1-PBS)
Immunofluorescent analysis of (4% PFA) fixed human malignant melanoma tissue using CD63 antibody (25682-1-AP) at dilution of 1:200 and CoraLite®488-Conjugated AffiniPure Goat Anti-Rabbit IgG(H+L). This data was developed using the same antibody clone with 25682-1-PBS in a different storage buffer formulation.