C9orf78 Recombinant monoclonal antibody, PBS Only (Capture)

C9orf78 Uni-rAb® Recombinant Antibody for WB, IF/ICC, Cytometric bead array, Indirect ELISA
Cat No. 86612-1-PBS

产品说明书

CloneNo. 251553H6

宿主/亚型

Rabbit / IgG

种属反应性

human, mouse, rat

应用

WB, IF/ICC, Cytometric bead array, Indirect ELISA

CSU2, HCA59, Hepatocellular carcinoma-associated antigen 59, HSPC220, TLS1

缓冲液配方:  PBS Only
PBS Only
偶联物:  Unconjugated
规格价格库存


产品信息

86612-1-PBS targets C9orf78 as part of a matched antibody pair:

MP02557-1: 86612-1-PBS capture and 86612-2-PBS detection (validated in Cytometric bead array)

Unconjugated rabbit recombinant monoclonal antibody in PBS only (BSA and azide free) storage buffer at a concentration of 1 mg/mL, ready for conjugation. Created using Proteintech’s proprietary in-house recombinant technology. Recombinant production enables unrivalled batch-to-batch consistency, easy scale-up, and future security of supply.

This conjugation ready format makes antibodies ideal for use in many applications including: ELISAs, multiplex assays requiring matched pairs, mass cytometry, and multiplex imaging applications.Antibody use should be optimized by the end user for each application and assay.

经测试应用 WB, IF/ICC, Cytometric bead array, Indirect ELISA Application Description
经测试反应性 human, mouse, rat
免疫原

CatNo: Ag5919

Product name: Recombinant human C9orf78 protein

Source: e coli.-derived, PET28a

Tag: 6*His

Domain: 1-289 aa of BC007664

Sequence: MPVVRKIFRRRRGDSESEEDEQDSEEVRLKLEETREVQNLRKRPNGVSAVALLVGEKVQEETTLVDDPFQMKTGGMVDMKKLKERGKDKISEEEDLHLGTSFSAETNRRDEDADMMKYIETELKKRKGIVEHEEQKVKPKNAEDCLYELPENIRVSSAKKTEEMLSNQMLSGIPEVDLGIDAKIKNIISTEDAKARLLAEQQNKKKDSETSFVPTNMAVNYVQHNRFYHEELNAPIRRNKEEPKARPLRVGDTEKPEPERSPPNRKRPANEKATDDYHYEKFKKMNRRY

种属同源性预测
宿主/亚型 Rabbit / IgG
抗体类别 Recombinant
产品类型 Antibody
全称 chromosome 9 open reading frame 78
别名 CSU2, HCA59, Hepatocellular carcinoma-associated antigen 59, HSPC220, TLS1
计算分子量 34 kDa
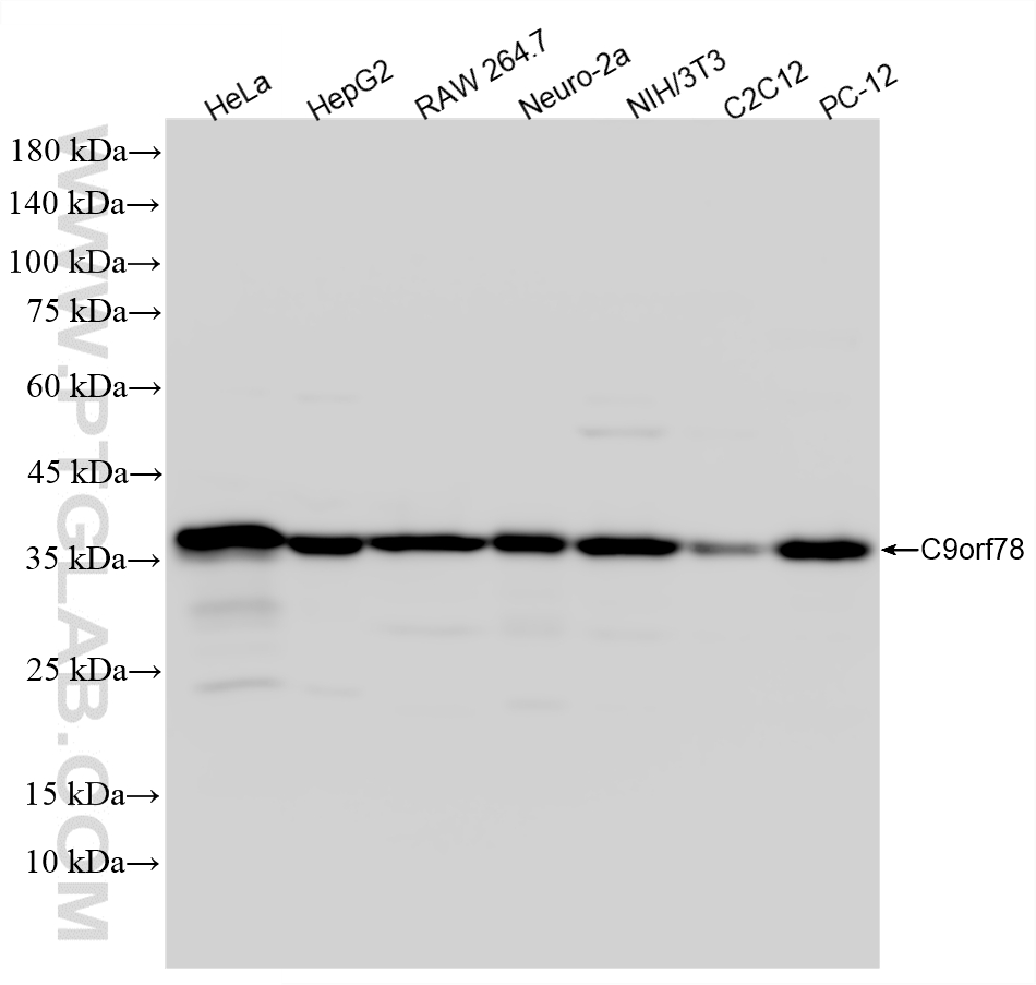
观测分子量35 kDa
GenBank蛋白编号BC007664
基因名称 C9orf78
Gene ID (NCBI) 51759
偶联类型 Unconjugated
形式Liquid
纯化方式Protein A purification
UNIPROT IDQ9NZ63
储存缓冲液 PBS only, pH 7.3.
储存条件Store at -80°C.
The product is shipped with ice packs. Upon receipt, store it immediately at -80°C

背景介绍

The function of C9orf78 remains largely unknown. The MW of this protein is 34 kDa, and this antibody specially recognises the 34 kDa protein. This antibody works well in WB, IHC and IF applications.

Loading...
||
New chat

Able

正在加载,请稍候...