验证数据展示
经过测试的应用
| Positive WB detected in | mouse brain tissue, HEK-293 cells, HeLa cells, mouse uterus tissue, SH-SY5Y cells | 
| Positive IP detected in | HEK-293 cells | 
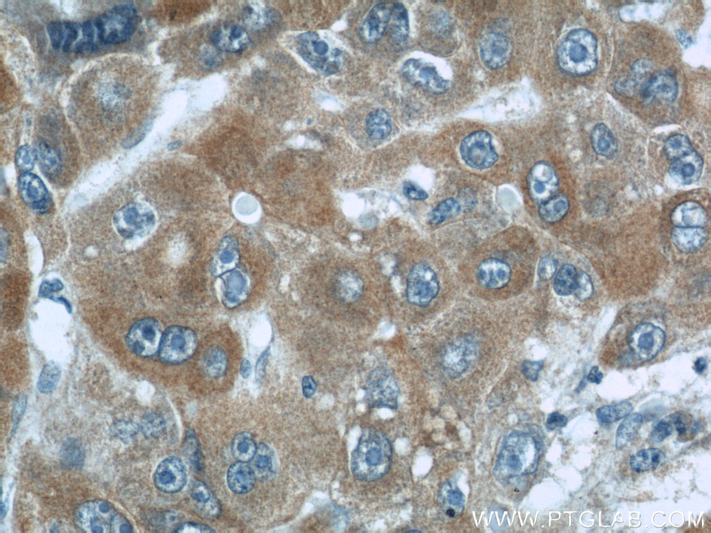
| Positive IHC detected in | human liver cancer tissue Note: suggested antigen retrieval with TE buffer pH 9.0; (*) Alternatively, antigen retrieval may be performed with citrate buffer pH 6.0 | 
| Positive IF detected in | hTERT-RPE1 cells and Mouse embryonic fibroblasts | 
推荐稀释比
| 应用 | 推荐稀释比 | 
|---|---|
| Western Blot (WB) | WB : 1:500-1:2000 | 
| Immunoprecipitation (IP) | IP : 0.5-4.0 ug for 1.0-3.0 mg of total protein lysate | 
| Immunohistochemistry (IHC) | IHC : 1:50-1:500 | 
| Immunofluorescence (IF) | IF : 1:20-1:200 | 
| It is recommended that this reagent should be titrated in each testing system to obtain optimal results. | |
| Sample-dependent, Check data in validation data gallery. | |
产品信息
16206-1-AP targets MKS1 in WB, IHC, IF, IP, ELISA applications and shows reactivity with human, mouse, rat samples.
| 经测试应用 | WB, IP, IF, IHC, ELISA Application Description | 
| 文献引用应用 | WB, IF | 
| 经测试反应性 | human, mouse, rat | 
| 文献引用反应性 | human, mouse | 
| 免疫原 | CatNo: Ag9177 Product name: Recombinant human BBS13 protein Source: e coli.-derived, PGEX-4T Tag: GST Domain: 1-321 aa of BC010061 Sequence: MTTAASEVPSFLVERMANVRRRRQDRRGMEGGILKSRIVTWEPSEEFVRNNHVINTPLQTMHIMADLGPYKKLGYKKYEHVLCTLKVDSNGVITVKPDFTGLKGPYRIETEGEKQELWKYTIDNVSPHAQPEEEERERRVFKDLYGRHKEYLSSLVGTDFEMTVPGALRLFVNGEVVSAQGYEYDNLYVHFFVELPTAHWSSPAFQQLSGVTQTCTTKSLAMDKVAHFSYPFTFEAFFLHEDESSDALPEWPVLYCEVLSLDFWQRYRVEGYGAVVLPATPGSHTLTVSTWRPVELGTVAELRRFFIGGSLELEDLSYVRI种属同源性预测 | 
| 宿主/亚型 | Rabbit / IgG | 
| 抗体类别 | Polyclonal | 
| 产品类型 | Antibody | 
| 全称 | Meckel syndrome, type 1 | 
| 别名 | BBS13, Meckel syndrome type 1 protein, Meckel syndrome, type 1, MES, MKS, MKS1 | 
| 计算分子量 | 559 aa, 65 kDa | 
| 观测分子量 | 65-70 kDa | 
| GenBank蛋白编号 | BC010061 | 
| 基因名称 | MKS1 | 
| Gene ID (NCBI) | 54903 | 
| RRID | AB_10637856 | 
| 偶联类型 | Unconjugated | 
| 形式 | Liquid | 
| 纯化方式 | Antigen affinity purification | 
| UNIPROT ID | Q9NXB0 | 
| 储存缓冲液 | PBS with 0.02% sodium azide and 50% glycerol, pH 7.3. | 
| 储存条件 | Store at -20°C. Stable for one year after shipment. Aliquoting is unnecessary for -20oC storage. | 
背景介绍
MKS1 (Meckel syndrome type 1 protein) is a 559-amino acid protein that contains a conserved B9 domain. It is a component of a large protein complex which localizes to the ciliary transition zone and regulates mammalian ciliogenesis and ciliary membrane composition (PMID: 21725307). MKS1 is required for ciliary structure and function, and is involved in centrosome migration to the apical cell surface during early ciliogenesis (PMID: 17185389; 19515853). Broad tissue expression of the MKS1 gene has been reported (PMID: 16415886). Defects in MKS1 are the cause of Meckel syndrome type 1 (MKS1), an autosomal recessive lethal malformation syndrome characterized by renal cystic dysplasia, central nervous system malformations, and hepatic developmental defects (PMID: 16415886). In addition, defects in MKS1 are also the cause of Bardet-Biedl syndrome type 13 (BBS13) (PMID: 18327255).
实验方案
| Product Specific Protocols | |
|---|---|
| IHC protocol for MKS1 antibody 16206-1-AP | Download protocol | 
| IP protocol for MKS1 antibody 16206-1-AP | Download protocol | 
| WB protocol for MKS1 antibody 16206-1-AP | Download protocol | 
| Standard Protocols | |
|---|---|
| Click here to view our Standard Protocols | 
发表文章
| Species | Application | Title | 
|---|---|---|
| Nat Genet A transition zone complex regulates mammalian ciliogenesis and ciliary membrane composition. | ||
| Cell The spinocerebellar ataxia-associated gene Tau tubulin kinase 2 controls the initiation of ciliogenesis. | ||
| Sci Adv Ciliopathy protein HYLS1 coordinates the biogenesis and signaling of primary cilia by activating the ciliary lipid kinase PIPKIγ. | ||
| Nat Commun Microtubule asters anchored by FSD1 control axoneme assembly and ciliogenesis. | ||
| Nat Commun Phosphatidylinositol phosphate kinase PIPKIγ and phosphatase INPP5E coordinate initiation of ciliogenesis. | 











