验证数据展示
经过测试的应用
| Positive WB detected in | BxPC-3 cells, MCF-7 cells |
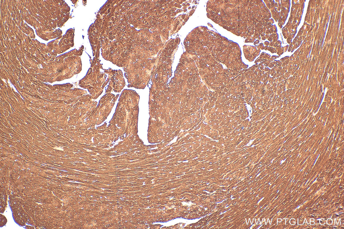
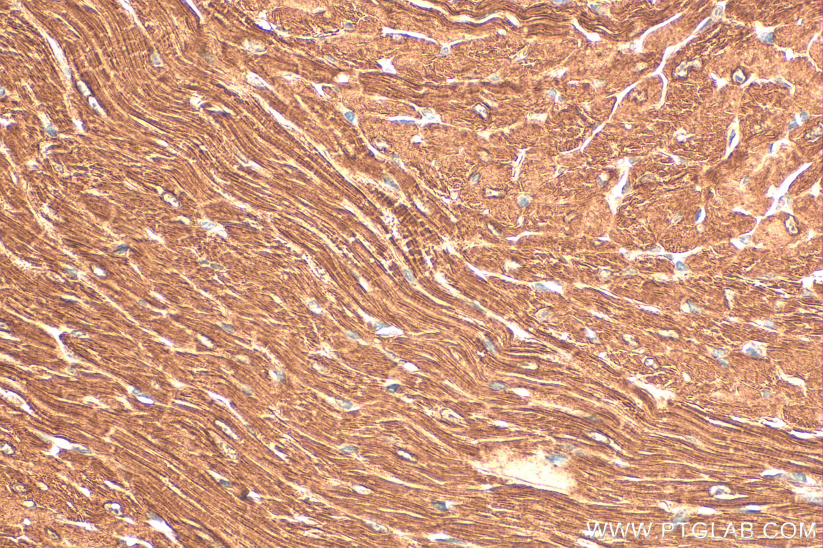
| Positive IHC detected in | mouse heart tissue Note: suggested antigen retrieval with TE buffer pH 9.0; (*) Alternatively, antigen retrieval may be performed with citrate buffer pH 6.0 |
推荐稀释比
| 应用 | 推荐稀释比 |
|---|---|
| Western Blot (WB) | WB : 1:500-1:2000 |
| Immunohistochemistry (IHC) | IHC : 1:200-1:800 |
| It is recommended that this reagent should be titrated in each testing system to obtain optimal results. | |
| Sample-dependent, Check data in validation data gallery. | |
产品信息
55108-1-AP targets ATP13A3 in WB, IHC, ELISA applications and shows reactivity with human samples.
| 经测试应用 | WB, IHC, ELISA Application Description |
| 经测试反应性 | human |
| 免疫原 |
Peptide 种属同源性预测 |
| 宿主/亚型 | Rabbit / IgG |
| 抗体类别 | Polyclonal |
| 产品类型 | Antibody |
| 全称 | ATPase type 13A3 |
| 别名 | AFURS1, ATPase type 13A3 |
| 计算分子量 | 138 kDa |
| 观测分子量 | 78 kDa |
| GenBank蛋白编号 | NM_024524 |
| 基因名称 | ATP13A3 |
| Gene ID (NCBI) | 79572 |
| RRID | AB_3670238 |
| 偶联类型 | Unconjugated |
| 形式 | Liquid |
| 纯化方式 | Antigen affinity purification |
| UNIPROT ID | Q9H7F0 |
| 储存缓冲液 | PBS with 0.02% sodium azide and 50% glycerol, pH 7.3. |
| 储存条件 | Store at -20°C. Stable for one year after shipment. Aliquoting is unnecessary for -20oC storage. |
背景介绍
ATP13A3 is a member of the P-type ATPase family of proteins that transport a variety of cations across membranes. ATP13A3 is a novel member of the enigmatic mammalian PTS that contributes to cellular polyamine uptake and is implicated in disease(PMID: 33310703). Mutations in ATP13A3 cause Primary Pulmonary Hypertension 5(PMID: 30679663, 34493544). ATP13A3 can be detected as 78 kDa representing a truncated isoform of ATP13A3 as reported (PMID: 35260637).
实验方案
| Product Specific Protocols | |
|---|---|
| IHC protocol for ATP13A3 antibody 55108-1-AP | Download protocol |
| WB protocol for ATP13A3 antibody 55108-1-AP | Download protocol |
| Standard Protocols | |
|---|---|
| Click here to view our Standard Protocols |


