验证数据展示
经过测试的应用
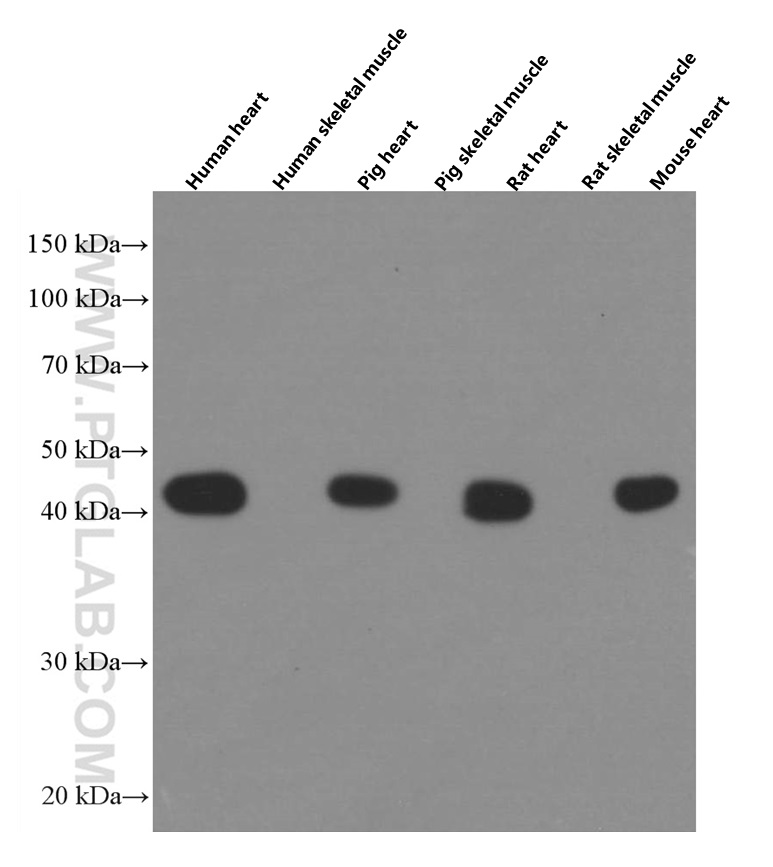
| Positive WB detected in | human heart tissue, pig heart tissue, rat heart tissue, mouse heart tissue |
| Positive IHC detected in | human heart tissue, human heart and human skeletal muscle tissue Note: suggested antigen retrieval with TE buffer pH 9.0; (*) Alternatively, antigen retrieval may be performed with citrate buffer pH 6.0 |
| Positive IF-P detected in | mouse heart tissue |
| Positive IF-Fro detected in | mouse heart tissue |
| Positive FC (Intra) detected in | C2C12 cells |
推荐稀释比
| 应用 | 推荐稀释比 |
|---|---|
| Western Blot (WB) | WB : 1:2500-1:10000 |
| Immunohistochemistry (IHC) | IHC : 1:100-1:400 |
| Immunofluorescence (IF)-P | IF-P : 1:200-1:800 |
| Immunofluorescence (IF)-FRO | IF-FRO : 1:400-1:1600 |
| Flow Cytometry (FC) (INTRA) | FC (INTRA) : 0.40 ug per 10^6 cells in a 100 µl suspension |
| It is recommended that this reagent should be titrated in each testing system to obtain optimal results. | |
| Sample-dependent, Check data in validation data gallery. | |
产品信息
66125-1-Ig targets Alpha cardiac muscle actin specific in WB, IHC, IF-P, IF-Fro, FC (Intra), ELISA applications and shows reactivity with human, mouse, rat, pig samples.
| 经测试应用 | WB, IHC, IF-P, IF-Fro, FC (Intra), ELISA Application Description |
| 文献引用应用 | WB, IHC, IF |
| 经测试反应性 | human, mouse, rat, pig |
| 文献引用反应性 | human, mouse, rat, rabbit |
| 免疫原 |
Peptide 种属同源性预测 |
| 宿主/亚型 | Mouse / IgG1 |
| 抗体类别 | Monoclonal |
| 产品类型 | Antibody |
| 全称 | actin, alpha, cardiac muscle 1 |
| 别名 | ACTC1-specific, ACTC1, Alpha actin, 1F2B9, ACTC |
| 计算分子量 | 42 kDa |
| 观测分子量 | 42 kDa |
| GenBank蛋白编号 | NM_005159 |
| 基因名称 | ACTC1 |
| Gene ID (NCBI) | 70 |
| RRID | AB_2881524 |
| 偶联类型 | Unconjugated |
| 形式 | Liquid |
| 纯化方式 | Protein G purification |
| UNIPROT ID | P68032 |
| 储存缓冲液 | PBS with 0.02% sodium azide and 50% glycerol, pH 7.3. |
| 储存条件 | Store at -20°C. Stable for one year after shipment. Aliquoting is unnecessary for -20oC storage. |
背景介绍
Actins are highly conserved proteins that are involved in various types of cell motility and are ubiquitously expressed in all eukaryotic cells. The ACTC1 gene encodes cardiac muscle alpha-actin, the predominant actin isoform in adult heart, which interacts with a variety of proteins to produce the force for muscle contraction. This antibody is specific to the ACTC1. It does not cross-react with other actin isoforms.
实验方案
| Product Specific Protocols | |
|---|---|
| FC protocol for Alpha cardiac muscle actin specific antibody 66125-1-Ig | Download protocol |
| IF protocol for Alpha cardiac muscle actin specific antibody 66125-1-Ig | Download protocol |
| IHC protocol for Alpha cardiac muscle actin specific antibody 66125-1-Ig | Download protocol |
| WB protocol for Alpha cardiac muscle actin specific antibody 66125-1-Ig | Download protocol |
| Standard Protocols | |
|---|---|
| Click here to view our Standard Protocols |
发表文章
| Species | Application | Title |
|---|---|---|
Life Sci Cadmium exposure induces a sex-dependent decline in left ventricular cardiac function | ||
J Am Heart Assoc Postinfarction Hearts Are Protected by Premature Senescent Cardiomyocytes Via GATA 4-Dependent CCN 1 Secretion. | ||
Front Mol Biosci Co-Overexpression of GRK5/ACTC1 Correlates With the Clinical Parameters and Poor Prognosis of Epithelial Ovarian Cancer. | ||
Immunol Res The influences of α-hemolytic Streptococcus on class switching and complement activation of human tonsillar cells in IgA nephropathy. | ||
Eur J Pharmacol Puerarin ameliorates myocardial remodeling of spontaneously hypertensive rats through inhibiting TRPC6-CaN-NFATc3 pathway | ||
Amyloid The flutemetamol analogue cyano-flutemetamol detects myocardial AL and ATTR amyloid deposits: a post-mortem histofluorescence analysis |











