验证数据展示
产品信息
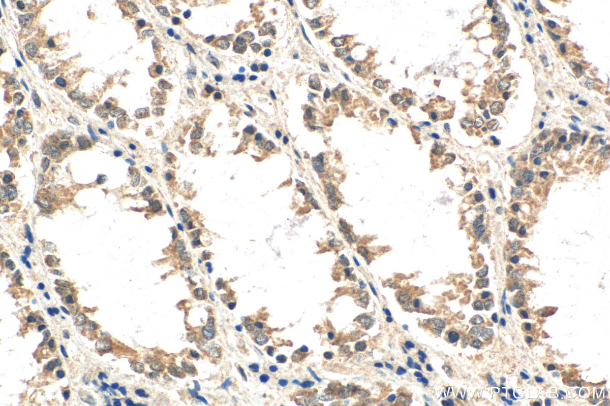
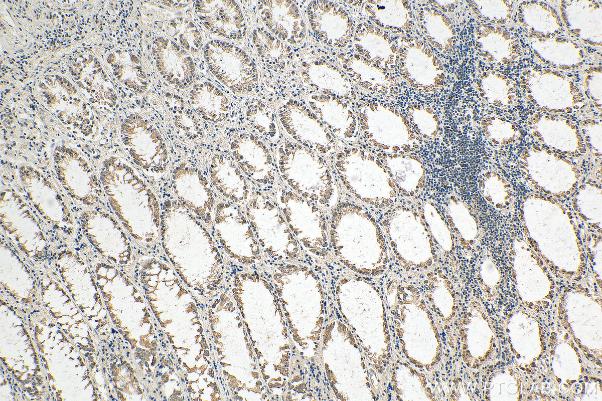
21259-1-PBS targets WISP3 in WB, IHC, Indirect ELISA applications and shows reactivity with human samples.
| 经测试应用 | WB, IHC, Indirect ELISA Application Description |
| 经测试反应性 | human |
| 免疫原 |
CatNo: Ag15238 Product name: Recombinant human WISP3 protein Source: e coli.-derived, PGEX-4T Tag: GST Domain: 1-196 aa of BC012028 Sequence: MQGLLFSTLLLAGLAQFCCRVQGTGPLDTTPEGRPGEVSDAPQRKQFCHWPCKCPHQKPRCPPGVSLVRDGCGCCKICAKQPGEICNEADLCDPHKGLYCDYSVDRPRYETGVCAYLVAVGCEFNQVHYHNGQVFQPNPLFSCLCVSGAIGCTPLFIPKLAGSHCSGAKGGKKSDQSNCSLEPLLQQLSTSYKTMP 种属同源性预测 |
| 宿主/亚型 | Rabbit / IgG |
| 抗体类别 | Polyclonal |
| 产品类型 | Antibody |
| 全称 | WNT1 inducible signaling pathway protein 3 |
| 别名 | |
| 计算分子量 | 372 aa, 41 kDa |
| 观测分子量 | 39-41 kDa |
| GenBank蛋白编号 | BC012028 |
| 基因名称 | WISP3 |
| Gene ID (NCBI) | 8838 |
| RRID | AB_2918070 |
| 偶联类型 | Unconjugated |
| 形式 | Liquid |
| 纯化方式 | Antigen affinity purification |
| UNIPROT ID | O95389 |
| 储存缓冲液 | PBS only, pH 7.3. |
| 储存条件 | Store at -80°C. The product is shipped with ice packs. Upon receipt, store it immediately at -80°C |




