验证数据展示
经过测试的应用
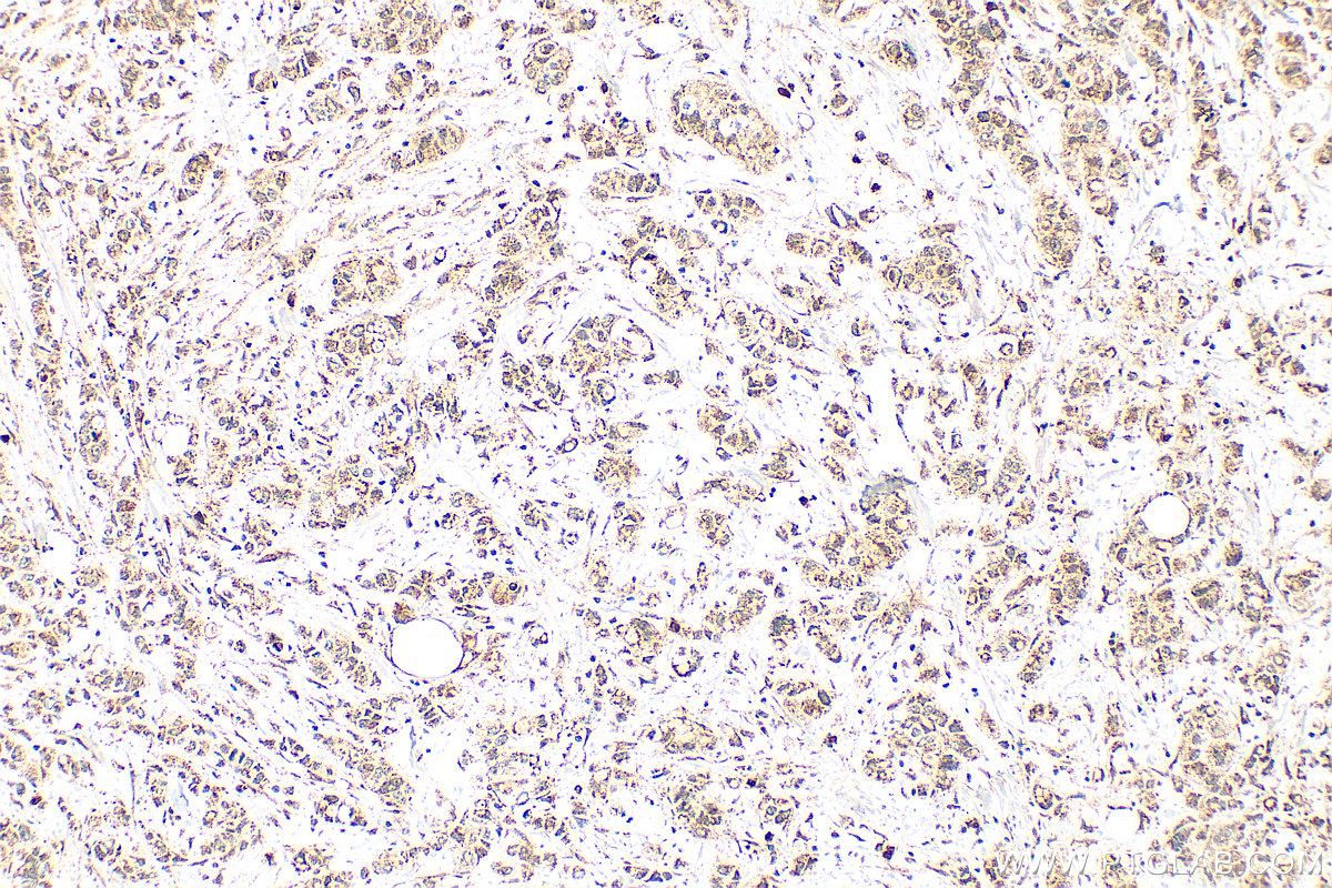
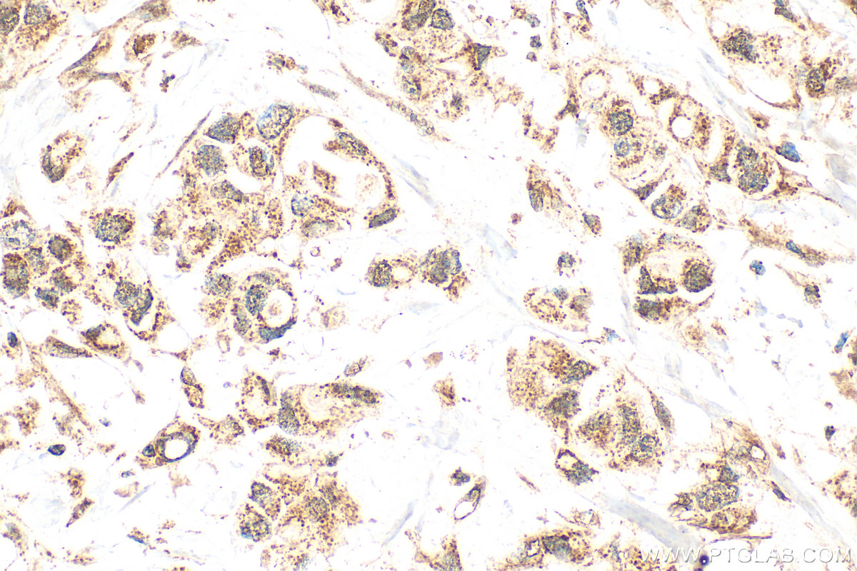
| Positive IHC detected in | human breast cancer tissue, mouse liver tissue Note: suggested antigen retrieval with TE buffer pH 9.0; (*) Alternatively, antigen retrieval may be performed with citrate buffer pH 6.0 |
推荐稀释比
| 应用 | 推荐稀释比 |
|---|---|
| Immunohistochemistry (IHC) | IHC : 1:200-1:800 |
| It is recommended that this reagent should be titrated in each testing system to obtain optimal results. | |
| Sample-dependent, Check data in validation data gallery. | |
产品信息
26175-1-AP targets VWA5A in IHC, ELISA applications and shows reactivity with human, mouse samples.
| 经测试应用 | IHC, ELISA Application Description |
| 经测试反应性 | human, mouse |
| 免疫原 |
CatNo: Ag22010 Product name: Recombinant human VWA5A protein Source: e coli.-derived, PET30a Tag: 6*His Domain: 1-415 aa of BC001234 Sequence: MVHFCGLLTLHREPVPLKSISVSVNIYEFVAGVSATLNYENEEKVPLEAFFVFPMDEDSAVYSFEALVDGKKIVAELQDKMKARTNYEKAISQGHQAFLLEGDSSSRDVFSCNVGNLQPGSKAAVTLKYVQELPLEADGALRFVLPAVLNPRYQFSGSSKDSCLNVKTPIVPVEDLPYTLSMVATIDSQHGIEKVQSNCPLSPTEYLGEDKTSAQVSLAAGHKFDRDVELLIYYNEVHTPSVVLEMGMPNMKPGHLMGDPSAMVSFYPNIPEDQPSNTCGEFIFLMDRSGSMQSPMSSQDTSQLRIQAAKETLILLLKSLPIGCYFNIYGFGSSYEACFPESVKYTQQTMEEALGRVKLMQADLGGTEILAPLQNIYRGPSIPGHPLQLFVFTDGEVTDTFSVIKEVRINRQKHR 种属同源性预测 |
| 宿主/亚型 | Rabbit / IgG |
| 抗体类别 | Polyclonal |
| 产品类型 | Antibody |
| 全称 | von Willebrand factor A domain containing 5A |
| 别名 | BCSC1, Breast cancer suppressor candidate 1, von Willebrand factor A domain containing 5A |
| 计算分子量 | 786 aa, 86 kDa |
| GenBank蛋白编号 | BC001234 |
| 基因名称 | VWA5A |
| Gene ID (NCBI) | 4013 |
| RRID | AB_3669526 |
| 偶联类型 | Unconjugated |
| 形式 | Liquid |
| 纯化方式 | Antigen affinity purification |
| UNIPROT ID | O00534 |
| 储存缓冲液 | PBS with 0.02% sodium azide and 50% glycerol, pH 7.3. |
| 储存条件 | Store at -20°C. Stable for one year after shipment. Aliquoting is unnecessary for -20oC storage. |
背景介绍
VWA5A, also known as BCSC1 or LOH11CR2A, may function as a tumor suppressor in tumorigenesis. The lower expression of VWA5A may serve as a potential biomarker for metastasis-prone breast cancers (PMID: 38291227).
实验方案
| Product Specific Protocols | |
|---|---|
| IHC protocol for VWA5A antibody 26175-1-AP | Download protocol |
| Standard Protocols | |
|---|---|
| Click here to view our Standard Protocols |



