验证数据展示
经过测试的应用
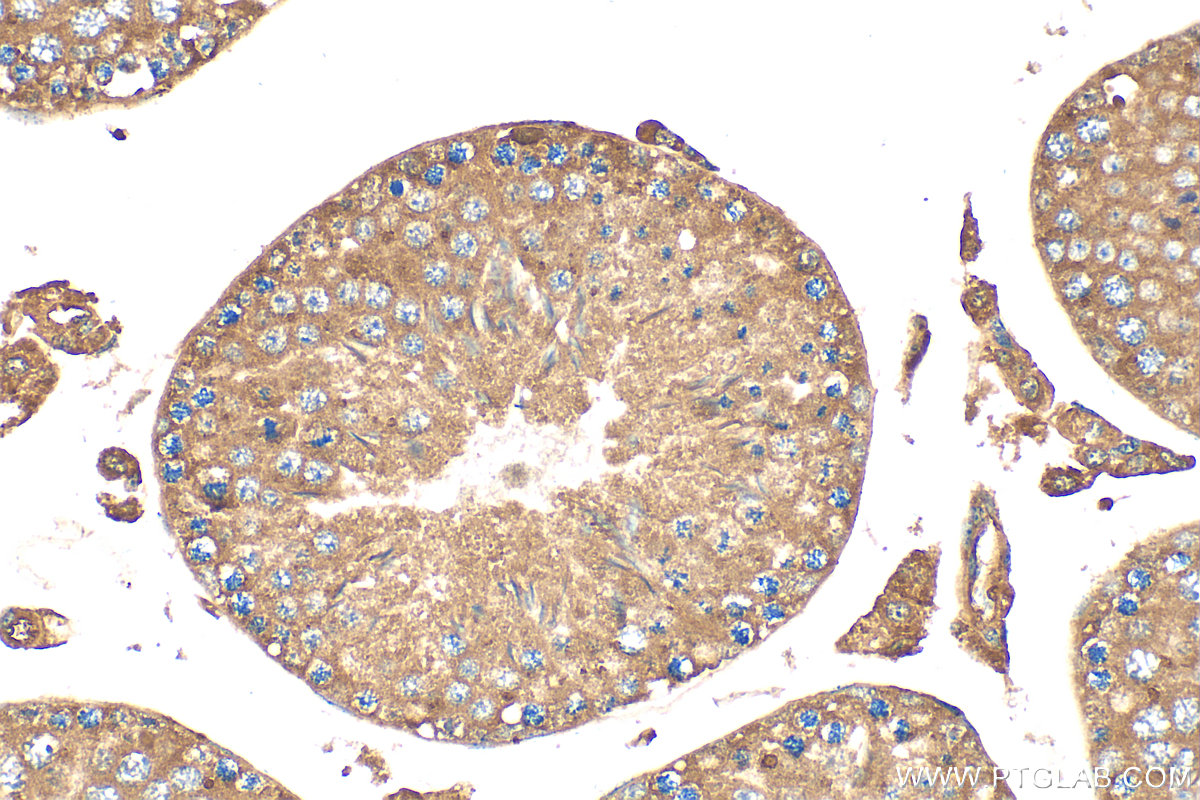
| Positive IHC detected in | mouse testis tissue Note: suggested antigen retrieval with TE buffer pH 9.0; (*) Alternatively, antigen retrieval may be performed with citrate buffer pH 6.0 |
推荐稀释比
| 应用 | 推荐稀释比 |
|---|---|
| Immunohistochemistry (IHC) | IHC : 1:50-1:500 |
| It is recommended that this reagent should be titrated in each testing system to obtain optimal results. | |
| Sample-dependent, Check data in validation data gallery. | |
产品信息
20554-1-AP targets VN1R5 in IHC, ELISA applications and shows reactivity with human, mouse samples.
| 经测试应用 | IHC, ELISA Application Description |
| 经测试反应性 | human, mouse |
| 免疫原 |
Peptide 种属同源性预测 |
| 宿主/亚型 | Rabbit / IgG |
| 抗体类别 | Polyclonal |
| 产品类型 | Antibody |
| 全称 | vomeronasal 1 receptor 5 |
| 别名 | hGPCR26, V1r like receptor 5, V1RL5, vomeronasal 1 receptor 5, Vomeronasal type 1 receptor 5 |
| 计算分子量 | 41 kDa |
| GenBank蛋白编号 | NM_173858 |
| 基因名称 | VN1R5 |
| Gene ID (NCBI) | 317705 |
| 偶联类型 | Unconjugated |
| 形式 | Liquid |
| 纯化方式 | Antigen affinity purification |
| UNIPROT ID | Q7Z5H4 |
| 储存缓冲液 | PBS with 0.02% sodium azide and 50% glycerol, pH 7.3. |
| 储存条件 | Store at -20°C. Stable for one year after shipment. Aliquoting is unnecessary for -20oC storage. |
背景介绍
The VN1R5 (Vomeronasal type-1 receptor 5) belongs to the vomeronasal receptor family and is primarily involved in detecting pheromones and chemical signals in mammals. In humans, VN1R5 is predicted to function as a G protein-coupled receptor (GPCR) involved in pheromone signaling pathways. Research has linked VN1R5 to cisplatin resistance in head and neck squamous cell carcinoma (HNSCC), indicating potential roles beyond chemosensory functions (PMID: 34111560).
实验方案
| Product Specific Protocols | |
|---|---|
| IHC protocol for VN1R5 antibody 20554-1-AP | Download protocol |
| Standard Protocols | |
|---|---|
| Click here to view our Standard Protocols |
