验证数据展示
经过测试的应用
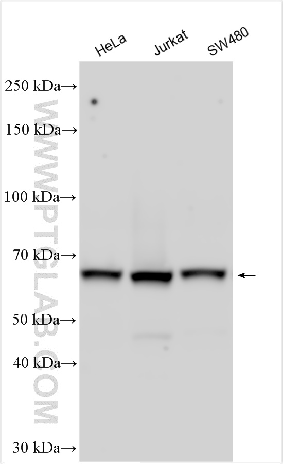
| Positive WB detected in | HeLa cells, mouse brain tissue, Jurkat cells, SW480 cells, mouse kidney tissue |
推荐稀释比
| 应用 | 推荐稀释比 |
|---|---|
| Western Blot (WB) | WB : 1:5000-1:50000 |
| It is recommended that this reagent should be titrated in each testing system to obtain optimal results. | |
| Sample-dependent, Check data in validation data gallery. | |
产品信息
31055-1-AP targets UTP18 in WB, ELISA applications and shows reactivity with human, mouse samples.
| 经测试应用 | WB, ELISA Application Description |
| 经测试反应性 | human, mouse |
| 免疫原 |
CatNo: Ag34662 Product name: Recombinant human UTP18 protein Source: e coli.-derived, PGEX-4T Tag: GST Domain: 72-205 aa of NM_016001 Sequence: RNRLRLEEDKPAVERCLEELVFGDVENDEDALLRRLRGPRVQEHEDSGDSEVENEAKGNFPPQKKPVWVDEEDEDEEMVDMMNNRFRKDMMKNASESKLSKDNLKKRLKEEFQHAMGGVPAWAETTKRKTS 种属同源性预测 |
| 宿主/亚型 | Rabbit / IgG |
| 抗体类别 | Polyclonal |
| 产品类型 | Antibody |
| 全称 | UTP18, small subunit (SSU) processome component, homolog (yeast) |
| 别名 | CGI 48, WDR50 |
| 计算分子量 | 62 kDa |
| 观测分子量 | 62 kDa |
| GenBank蛋白编号 | NM_016001 |
| 基因名称 | UTP18 |
| Gene ID (NCBI) | 51096 |
| RRID | AB_3669835 |
| 偶联类型 | Unconjugated |
| 形式 | Liquid |
| 纯化方式 | Antigen affinity purification |
| UNIPROT ID | Q9Y5J1 |
| 储存缓冲液 | PBS with 0.02% sodium azide and 50% glycerol, pH 7.3. |
| 储存条件 | Store at -20°C. Stable for one year after shipment. Aliquoting is unnecessary for -20oC storage. |
背景介绍
UTP18 (UTP18 small subunit processome component), also known as WDR50. It is expected to be located in nucleus. The protein is one part of the small subunit (SSU) processome, first precursor of the small eukaryotic ribosomal subunit. During the assembly of the SSU processome in the nucleolus, many ribosome biogenesis factors, an RNA chaperone and ribosomal proteins associate with the nascent pre-rRNA and work in concert to generate RNA folding, modifications, rearrangements and cleavage as well as targeted degradation of pre-ribosomal RNA by the RNA exosome. Involved in nucleolar processing of pre-18S ribosomal RNA. The calculated molecular weight of UTP18 is 62 kDa.
实验方案
| Product Specific Protocols | |
|---|---|
| WB protocol for UTP18 antibody 31055-1-AP | Download protocol |
| Standard Protocols | |
|---|---|
| Click here to view our Standard Protocols |


