验证数据展示
经过测试的应用
| Positive WB detected in | mouse liver tissue, MCF-7 cells |
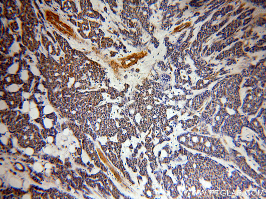
| Positive IHC detected in | human cervical cancer tissue Note: suggested antigen retrieval with TE buffer pH 9.0; (*) Alternatively, antigen retrieval may be performed with citrate buffer pH 6.0 |
推荐稀释比
| 应用 | 推荐稀释比 |
|---|---|
| Western Blot (WB) | WB : 1:500-1:1000 |
| Immunohistochemistry (IHC) | IHC : 1:20-1:200 |
| It is recommended that this reagent should be titrated in each testing system to obtain optimal results. | |
| Sample-dependent, Check data in validation data gallery. | |
发表文章中的应用
| WB | See 1 publications below |
产品信息
20363-1-AP targets UBN1-Specific in WB, IHC, ELISA applications and shows reactivity with human, mouse, rat samples.
| 经测试应用 | WB, IHC, ELISA Application Description |
| 文献引用应用 | WB |
| 经测试反应性 | human, mouse, rat |
| 文献引用反应性 | human |
| 免疫原 |
Peptide 种属同源性预测 |
| 宿主/亚型 | Rabbit / IgG |
| 抗体类别 | Polyclonal |
| 产品类型 | Antibody |
| 全称 | ubinuclein 1 |
| 别名 | HIRA binding protein, Protein VT4, ubinuclein 1, UBN1, UBN1-Specific, VT, VT4 |
| 计算分子量 | 121 kDa |
| 观测分子量 | 120-140 kDa |
| GenBank蛋白编号 | NM_016936 |
| 基因名称 | UBN1 |
| Gene ID (NCBI) | 29855 |
| RRID | AB_10694818 |
| 偶联类型 | Unconjugated |
| 形式 | Liquid |
| 纯化方式 | Antigen affinity purification |
| UNIPROT ID | Q9NPG3 |
| 储存缓冲液 | PBS with 0.02% sodium azide and 50% glycerol, pH 7.3. |
| 储存条件 | Store at -20°C. Stable for one year after shipment. Aliquoting is unnecessary for -20oC storage. |
背景介绍
UBN1, also named as Protein VT4, belongs to the ubinuclein family. UBN1 acts as a novel regulator of senescence. It is involved in the formation of senescence-associated heterochromatin foci (SAHF), which represses expression of proliferation-promoting genes. UBN1 binds to proliferation-promoting genes. It may be required for replication-independent chromatin assembly. The antibody is specific to UBN1.
实验方案
| Product Specific Protocols | |
|---|---|
| IHC protocol for UBN1-Specific antibody 20363-1-AP | Download protocol |
| WB protocol for UBN1-Specific antibody 20363-1-AP | Download protocol |
| Standard Protocols | |
|---|---|
| Click here to view our Standard Protocols |



