验证数据展示
经过测试的应用
| Positive WB detected in | TNF alpha and IFN gamma treated HepG2 cells |
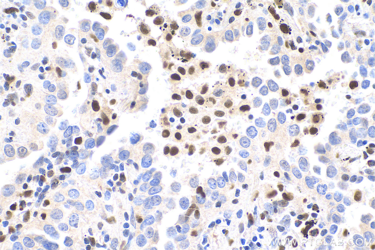
| Positive IHC detected in | human tonsillitis tissue, human lung cancer tissue, human lymphoma tissue, human stomach cancer tissue Note: suggested antigen retrieval with TE buffer pH 9.0; (*) Alternatively, antigen retrieval may be performed with citrate buffer pH 6.0 |
推荐稀释比
| 应用 | 推荐稀释比 |
|---|---|
| Western Blot (WB) | WB : 1:500-1:2000 |
| Immunohistochemistry (IHC) | IHC : 1:500-1:2000 |
| It is recommended that this reagent should be titrated in each testing system to obtain optimal results. | |
| Sample-dependent, Check data in validation data gallery. | |
产品信息
13003-2-AP targets FAT10 in WB, IHC, IF, CoIP, ELISA applications and shows reactivity with human samples.
| 经测试应用 | WB, IHC, ELISA Application Description |
| 文献引用应用 | WB, IHC, IF, CoIP |
| 经测试反应性 | human |
| 文献引用反应性 | human, mouse, rat |
| 免疫原 |
CatNo: Ag3680 Product name: Recombinant human UBD protein Source: e coli.-derived, PGEX-4T Tag: GST Domain: 1-165 aa of BC012472 Sequence: MAPNASCLCVHVRSEEWDLMTFDANPYDSVKKIKEHVRSKTKVPVQDQVLLLGSKILKPRRSLSSYGIDKEKTIHLTLKVVKPSDEELPLFLVESGDEAKRHLLQVRRSSSVAQVKAMIETKTGIIPETQIVTCNGKRLEDGKMMADYGIRKGNLLFLACYCIGG 种属同源性预测 |
| 宿主/亚型 | Rabbit / IgG |
| 抗体类别 | Polyclonal |
| 产品类型 | Antibody |
| 全称 | ubiquitin D |
| 别名 | Diubiquitin, FAT10, GABBR1, UBD, UBD 3, ubiquitin D, Ubiquitin like protein FAT10 |
| 计算分子量 | 165 aa, 18 kDa |
| 观测分子量 | 20 kDa, 70kDa |
| GenBank蛋白编号 | BC012472 |
| 基因名称 | FAT10 |
| Gene ID (NCBI) | 10537 |
| RRID | AB_2304122 |
| 偶联类型 | Unconjugated |
| 形式 | Liquid |
| 纯化方式 | Antigen affinity purification |
| UNIPROT ID | O15205 |
| 储存缓冲液 | PBS with 0.02% sodium azide and 50% glycerol, pH 7.3. |
| 储存条件 | Store at -20°C. Stable for one year after shipment. Aliquoting is unnecessary for -20oC storage. |
背景介绍
FAT10, also named UBD, contains two ubiquitin-like domains. It is a ubiquitin-like protein modifier that can be covalently attached to the target protein and subsequently leads to their degradation by the 26S proteasome, in a NUB1L-dependent manner. FAT10 also has important roles in cell mitosis, chromosome instability, apoptosis, and immune response. FAT10 mediates apoptosis in a caspase-dependent manner, especially in the renal epithelium and tubular cells during renal diseases such as polycystic kidney disease and Human immunodeficiency virus (HIV)-associated nephropathy (HIVAN). It promotes the expression of the proteasome subunit beta type-9 (PSMB9/LMP2). FAT10 regulates TNF-alpha-induced and LPS-mediated activation of the central mediator of innate immunity NF-kappa-B by promoting TNF-alpha-mediated proteasomal degradation of ubiquitinated-I-kappa-B-alpha. It may be involved in dendritic cell (DC) maturation, the process by which immature dendritic cells differentiate into fully competent antigen-presenting cells that initiate T-cell responses. FAT10 may be a marker for precancerous lesions and may promote cancer progression. This antibody is a rabbit polyclonal antibody raised against full-length FAT10 of human origin.
实验方案
| Product Specific Protocols | |
|---|---|
| IHC protocol for FAT10 antibody 13003-2-AP | Download protocol |
| WB protocol for FAT10 antibody 13003-2-AP | Download protocol |
| Standard Protocols | |
|---|---|
| Click here to view our Standard Protocols |
发表文章
| Species | Application | Title |
|---|---|---|
Cancer Res The Ubiquitin-like Protein FAT10 Stabilizes eEF1A1 Expression to Promote Tumor Proliferation in a Complex Manner.
| ||
J Biol Chem Ubiquitin D regulates IRE1α/JNK-dependent apoptosis in pancreatic beta cells. | ||
Environ Toxicol Increased UBD Is a Potential Diagnostic and Prognostic Biomarker in Glioma | ||
DNA Res Identification of novel genes selectively expressed in the follicle-associated epithelium from the meta-analysis of transcriptomics data from multiple mouse cell and tissue populations. | ||
Toxicol Lett Ochratoxin A induces karyomegaly and cell cycle aberrations in renal tubular cells without relation to induction of oxidative stress responses in rats. | ||
Discov Oncol Transcription factor networks and novel immune biomarkers reveal key prognostic and therapeutic insights in ovarian cancer |




