验证数据展示
经过测试的应用
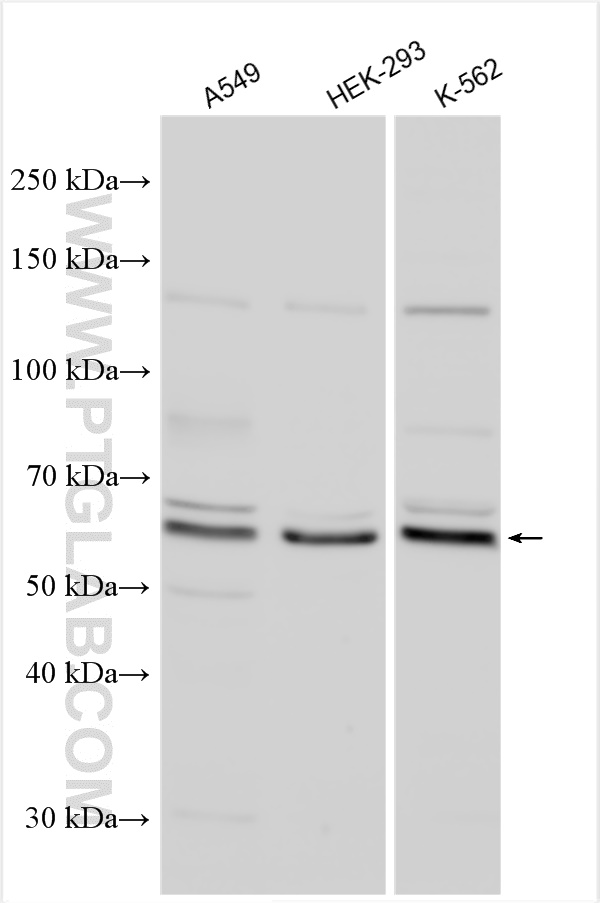
| Positive WB detected in | A549 cells, HEK-293 cells, K-562 cells |
| Positive IHC detected in | mouse testis tissue Note: suggested antigen retrieval with TE buffer pH 9.0; (*) Alternatively, antigen retrieval may be performed with citrate buffer pH 6.0 |
推荐稀释比
| 应用 | 推荐稀释比 |
|---|---|
| Western Blot (WB) | WB : 1:2000-1:10000 |
| Immunohistochemistry (IHC) | IHC : 1:400-1:1600 |
| It is recommended that this reagent should be titrated in each testing system to obtain optimal results. | |
| Sample-dependent, Check data in validation data gallery. | |
产品信息
30112-1-AP targets TTC21B in WB, IHC, ELISA applications and shows reactivity with Human, mouse samples.
| 经测试应用 | WB, IHC, ELISA Application Description |
| 经测试反应性 | Human, mouse |
| 免疫原 |
CatNo: Ag32456 Product name: Recombinant human TTC21B protein Source: e coli.-derived, PET28a Tag: 6*His Domain: 149-462 aa of NM_024753 Sequence: AWLDITRGKEPYTKKALKYFEEGLQDGNDTFALLGKAQCLEMRQNYSGALETVNQIIVNFPSFLPAFVKKMKLQLALQDWDQTVETAQRLLLQDSQNVEALRMQALYYVCREGDIEKASTKLENLGNTLDAMEPQNAQLFYNITLAFSRTCGRSQLILQKIQTLLERAFSLNPQQSEFATELGYQMILQGRVKEALKWYKTAMTLDETSVSALVGFIQCQLIEGQLQDADQQLEFLNEIQQSIGKSAELIYLHAVLAMKKNKRQEEVINLLNDVLDTHFSQLEGLPLGIQYFEKLNPDFLLEIVMEYLSFCPMQ* 种属同源性预测 |
| 宿主/亚型 | Rabbit / IgG |
| 抗体类别 | Polyclonal |
| 产品类型 | Antibody |
| 全称 | tetratricopeptide repeat domain 21B |
| 别名 | FLJ11457, IFT139, KIAA1992, Nbla10696, THM1, TPR repeat protein 21B, TTC21B |
| 计算分子量 | 151KD |
| 观测分子量 | 55 kDa |
| GenBank蛋白编号 | NM_024753 |
| 基因名称 | TTC21B |
| Gene ID (NCBI) | 79809 |
| RRID | AB_3086232 |
| 偶联类型 | Unconjugated |
| 形式 | Liquid |
| 纯化方式 | Antigen affinity purification |
| UNIPROT ID | Q7Z4L5 |
| 储存缓冲液 | PBS with 0.02% sodium azide and 50% glycerol, pH 7.3. |
| 储存条件 | Store at -20°C. Stable for one year after shipment. Aliquoting is unnecessary for -20oC storage. |
背景介绍
TTC21B, also known as THM1, IFT139, belongs to the TTC21 family, containing several tetratricopeptide repeat (TPR) domains. TTC21B is a component of the IFT complex A (IFT-A), a complex required for retrograde ciliary transport and entry into cilia of G protein-coupled receptors (GPCRs). TTC21B is essential for retrograde trafficking of IFT-1, IFT-B, and GPCRs (PubMed:27932497). TTC21B is localized to the cilium axoneme and may play a role in retrograde intraflagellar transport in cilia (PMID: 18327258). Mutations in TTC21B are associated with nephronophthisis 12 (NPHP12)and short-rib thoracic dysplasia 4 with or without polydactyly (SRTD4)(PMID: 21258341).
实验方案
| Product Specific Protocols | |
|---|---|
| IHC protocol for TTC21B antibody 30112-1-AP | Download protocol |
| WB protocol for TTC21B antibody 30112-1-AP | Download protocol |
| Standard Protocols | |
|---|---|
| Click here to view our Standard Protocols |

