验证数据展示
经过测试的应用
| Positive WB detected in | HEK-293T cells, HepG2 cells |
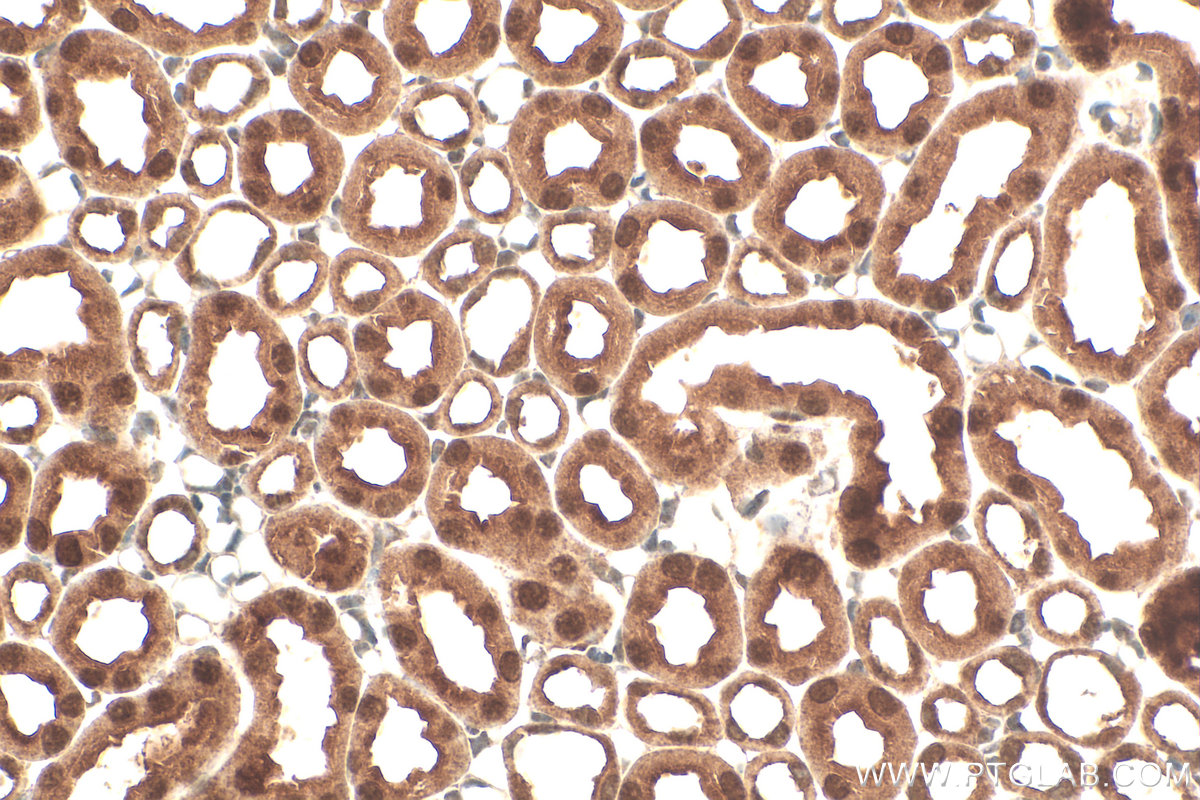
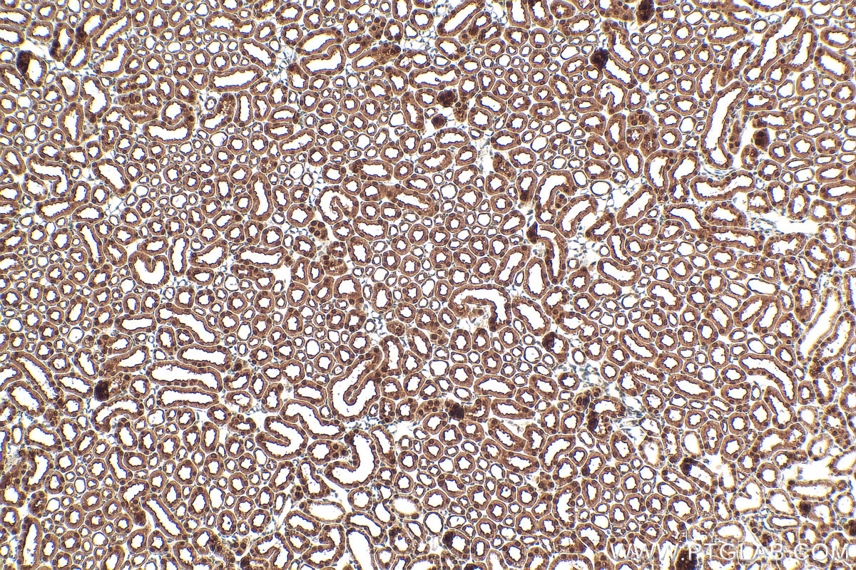
| Positive IHC detected in | mouse kidney tissue Note: suggested antigen retrieval with TE buffer pH 9.0; (*) Alternatively, antigen retrieval may be performed with citrate buffer pH 6.0 |
推荐稀释比
| 应用 | 推荐稀释比 |
|---|---|
| Western Blot (WB) | WB : 1:2000-1:12000 |
| Immunohistochemistry (IHC) | IHC : 1:250-1:1000 |
| It is recommended that this reagent should be titrated in each testing system to obtain optimal results. | |
| Sample-dependent, Check data in validation data gallery. | |
产品信息
RMX00073 targets TRUB1 in WB, IHC, ELISA applications and shows reactivity with human, mouse samples.
| 经测试应用 | WB, IHC, ELISA Application Description |
| 经测试反应性 | human, mouse |
| 免疫原 |
Recombinant protein 种属同源性预测 |
| 宿主/亚型 | Rabbit / IgG |
| 抗体类别 | Multi-Recombinant |
| 产品类型 | Antibody |
| 全称 | TruB pseudouridine (psi) synthase homolog 1 (E. coli) |
| 别名 | EC:5.4.99.-, EC:5.4.99.25, Pseudouridylate synthase TRUB1, Psi55 synthase TRUB1, PUS4 |
| 计算分子量 | 349 aa, 37 kDa |
| 观测分子量 | 37 kDa, 40 kDa |
| GenBank蛋白编号 | BC030601 |
| 基因名称 | TRUB1 |
| Gene ID (NCBI) | 142940 |
| 偶联类型 | Unconjugated |
| 形式 | Liquid |
| 纯化方式 | N/A |
| UNIPROT ID | Q8WWH5 |
| 储存缓冲液 | PBS with 0.02% sodium azide and 50% glycerol. |
| 储存条件 | Store at -20°C. Stable for one year after shipment. Aliquoting is unnecessary for -20oC storage. |
背景介绍
TRUB1 gene encodes a 349-amino acid product, with a VFAVHKPKGPTSA box in positions 71-83 corresponding to motif I of the TruB family (probably involved in conserving protein structure). This protein may be responsible for synthesis of pseudouridine from uracil in transfer RNAs.
实验方案
| Product Specific Protocols | |
|---|---|
| IHC protocol for TRUB1 antibody RMX00073 | Download protocol |
| WB protocol for TRUB1 antibody RMX00073 | Download protocol |
| Standard Protocols | |
|---|---|
| Click here to view our Standard Protocols |


