验证数据展示
产品信息
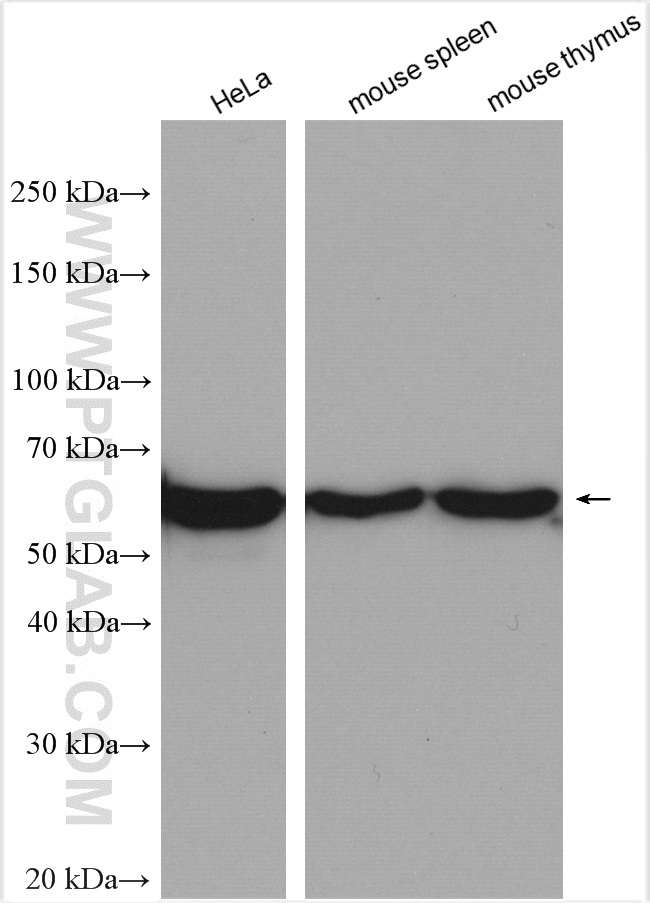
13663-1-PBS targets TRIM17 in WB, IHC, Indirect ELISA applications and shows reactivity with human, mouse, rat samples.
| 经测试应用 | WB, IHC, Indirect ELISA Application Description |
| 经测试反应性 | human, mouse, rat |
| 免疫原 |
CatNo: Ag4572 Product name: Recombinant human TRIM17 protein Source: e coli.-derived, PGEX-4T Tag: GST Domain: 177-477 aa of BC033788 Sequence: KVKERRERIVLEFEKMNLYLVEEEQRLLQALETEEEETASRLRESVACLDRQGHSLELLLLQLEERSTQGPLQMLQDMKEPLSRKNNVSVQCPEVAPPTRPRTVCRVPGQIEVLRGFLEDVVPDATSAYPYLLLYESRQRRYLGSSPEGSGFCSKDRFVAYPCAVGQTAFSSGRHYWEVGMNITGDALWALGVCRDNVSRKDRVPKCPENGFWVVQLSKGTKYLSTFSALTPVMLMEPPSHMGIFLDFEAGEVSFYSVSDGSHLHTYSQATFPGPLQPFFCLGAPKSGQMVISTVTMWVKG 种属同源性预测 |
| 宿主/亚型 | Rabbit / IgG |
| 抗体类别 | Polyclonal |
| 产品类型 | Antibody |
| 全称 | tripartite motif-containing 17 |
| 别名 | |
| 计算分子量 | 477 aa, 54 kDa |
| 观测分子量 | 54 kDa |
| GenBank蛋白编号 | BC033788 |
| 基因名称 | TRIM17 |
| Gene ID (NCBI) | 51127 |
| RRID | AB_10644443 |
| 偶联类型 | Unconjugated |
| 形式 | Liquid |
| 纯化方式 | Antigen affinity purification |
| UNIPROT ID | Q9Y577 |
| 储存缓冲液 | PBS only, pH 7.3. |
| 储存条件 | Store at -80°C. The product is shipped with ice packs. Upon receipt, store it immediately at -80°C |





