验证数据展示
经过测试的应用
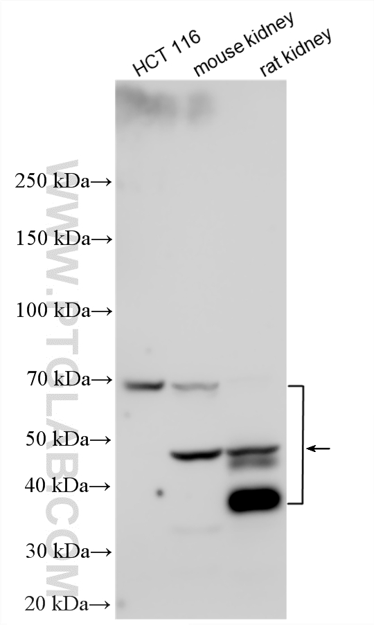
| Positive WB detected in | HCT 116 cells, mouse kindey tissue, rat kidney tissue |
推荐稀释比
| 应用 | 推荐稀释比 |
|---|---|
| Western Blot (WB) | WB : 1:500-1:2000 |
| It is recommended that this reagent should be titrated in each testing system to obtain optimal results. | |
| Sample-dependent, Check data in validation data gallery. | |
产品信息
34030-1-AP targets ST6GAL1 in WB, ELISA applications and shows reactivity with human, mouse, rat samples.
| 经测试应用 | WB, ELISA Application Description |
| 经测试反应性 | human, mouse, rat |
| 免疫原 |
CatNo: Eg5252 Product name: Recombinant rat ST6GAL1 protein Source: mammalian cells-derived, V37 Tag: C-rFc Domain: 27-403 aa of NM_001113344.1 Sequence: KKGSDYEALTLQAKEFQMPKSQEKVAMGSASQVVFSNSKQDPKEDIPILSYHRVTAKVKPQPSFQVWDKDSTYSKLNPRLLKIWRNYLNMNKYKVSYKGPGPGVKFSVEALRCHLRDHVNVSMIEATDFPFNTTEWEGYLPKENFRTKVGPWQRCAVVSSAGSLKNSQLGREIDNHDAVLRFNGAPTDNFQQDVGSKTTIRLMNSQLVTTEKRFLKDSLYTEGILIVWDPSVYHADIPKWYQKPDYNFFETYKSYRRLNPSQPFYILKPQMPWELWDIIQEISADLIQPNPPSSGMLGIIIMMTLCDQVDIYEFLPSKRKTDVCYYHQKFFDSACTMGAYHPLLFEKNMVKHLNEGTDEDIYLFGKATLSGFRNIRC 种属同源性预测 |
| 宿主/亚型 | Rabbit / IgG |
| 抗体类别 | Polyclonal |
| 产品类型 | Antibody |
| 全称 | ST6 beta-galactosamide alpha-2,6-sialyltranferase 1 |
| 别名 | Alpha 2,6-ST 1, B-cell antigen CD75, Beta-galactoside alpha-2,6-sialyltransferase 1, CD75, CMP-N-acetylneuraminate-beta-galactosamide-alpha-2,6-sialyltransferase 1 |
| 计算分子量 | 47 kDa |
| 观测分子量 | 43-45 kDa, 50-70 kDa |
| GenBank蛋白编号 | NM_001113344.1 |
| 基因名称 | ST6GAL1 |
| Gene ID (NCBI) | 25197 |
| 偶联类型 | Unconjugated |
| 形式 | Liquid |
| 纯化方式 | Antigen affinity Purification |
| UNIPROT ID | P13721-1 |
| 储存缓冲液 | PBS with 0.02% sodium azide and 50% glycerol, pH 7.3. |
| 储存条件 | Store at -20°C. Stable for one year after shipment. Aliquoting is unnecessary for -20oC storage. |
背景介绍
ST6GAL1 (β-galactoside α-2-6 sialyl transferase1; also known as ST6N or CD75) is a sialyltransferase mediating the glycosylation of proteins and lipids to form functionally important glycoproteins and glycolipids in the Golgi compartment. It is principally expressed in liver, placenta, and skeletal muscle. ST6GAL1 undergoes proteolytic process to generate soluble form from membrane form. Higher molecular weight of bands around 50-70 kDa can also be observed with glycosylation modification. (PMID: 15049997, 23358684)
实验方案
| Product Specific Protocols | |
|---|---|
| WB protocol for ST6GAL1 antibody 34030-1-AP | Download protocol |
| Standard Protocols | |
|---|---|
| Click here to view our Standard Protocols |
