验证数据展示
经过测试的应用
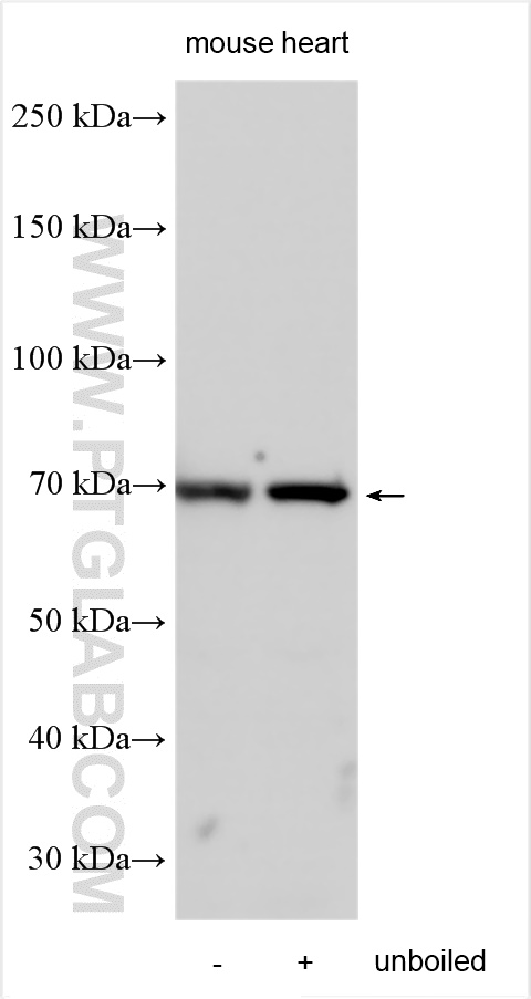
| Positive WB detected in | mouse heart tissue, unboiled mouse heart tissue |
| Positive IHC detected in | mouse skeletal muscle tissue Note: suggested antigen retrieval with TE buffer pH 9.0; (*) Alternatively, antigen retrieval may be performed with citrate buffer pH 6.0 |
推荐稀释比
| 应用 | 推荐稀释比 |
|---|---|
| Western Blot (WB) | WB : 1:500-1:1000 |
| Immunohistochemistry (IHC) | IHC : 1:50-1:500 |
| It is recommended that this reagent should be titrated in each testing system to obtain optimal results. | |
| Sample-dependent, Check data in validation data gallery. | |
发表文章中的应用
| WB | See 1 publications below |
产品信息
26958-1-AP targets SLC2A12 in WB, IHC, ELISA applications and shows reactivity with human, mouse samples.
| 经测试应用 | WB, IHC, ELISA Application Description |
| 文献引用应用 | WB |
| 经测试反应性 | human, mouse |
| 免疫原 |
CatNo: Ag24979 Product name: Recombinant human SLC2A12 protein Source: e coli.-derived, PET30a Tag: 6*His Domain: 550-617 aa of BC070149 Sequence: PETKGCSLEQISMELAKVNYVKNNICFMSHHQEELVPKQPQKRKPQEQLLECNKLCGRGQSRQLSPET 种属同源性预测 |
| 宿主/亚型 | Rabbit / IgG |
| 抗体类别 | Polyclonal |
| 产品类型 | Antibody |
| 全称 | solute carrier family 2 (facilitated glucose transporter), member 12 |
| 别名 | Glucose transporter type 12, GLUT 12, GLUT12, GLUT8, SLC2A12 |
| 计算分子量 | 617 aa, 67 kDa |
| 观测分子量 | 67-70 kDa |
| GenBank蛋白编号 | BC070149 |
| 基因名称 | SLC2A12 |
| Gene ID (NCBI) | 154091 |
| RRID | AB_3085917 |
| 偶联类型 | Unconjugated |
| 形式 | Liquid |
| 纯化方式 | Antigen affinity purification |
| UNIPROT ID | Q8TD20 |
| 储存缓冲液 | PBS with 0.02% sodium azide and 50% glycerol, pH 7.3. |
| 储存条件 | Store at -20°C. Stable for one year after shipment. Aliquoting is unnecessary for -20oC storage. |
背景介绍
SLC2A12 encodes glucose transporter type 12 (GLUT12), a basal and insulin-independent glucose transporter in the heart with previously reported associations with idiopathic dilated cardiomyopathy in humans, as well as insulin resistance and kidney disease in animal models (PMID: 37081215).
实验方案
| Product Specific Protocols | |
|---|---|
| IHC protocol for SLC2A12 antibody 26958-1-AP | Download protocol |
| WB protocol for SLC2A12 antibody 26958-1-AP | Download protocol |
| Standard Protocols | |
|---|---|
| Click here to view our Standard Protocols |


