验证数据展示
产品信息
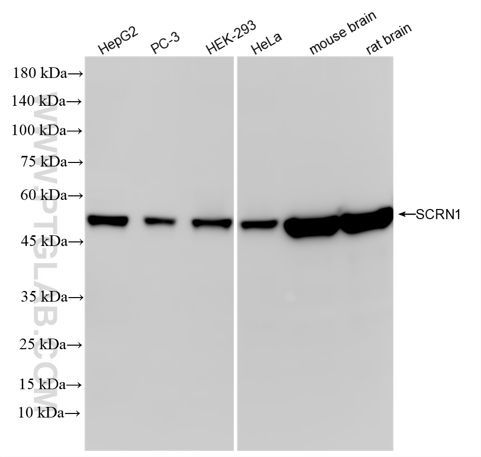
86646-1-PBS targets SCRN1 in WB, IF/ICC, Indirect ELISA applications and shows reactivity with human, mouse, rat samples.
| 经测试应用 | WB, IF/ICC, Indirect ELISA Application Description |
| 经测试反应性 | human, mouse, rat |
| 免疫原 |
CatNo: Ag5413 Product name: Recombinant human SCRN1 protein Source: e coli.-derived, PET28a Tag: 6*His Domain: 1-414 aa of BC040492 Sequence: MAAAPPSYCFVAFPPRAKDGLVVFGKNSARPRDEVQEVVYFSAADHEPESKVECTYISIDQVPRTYAIMISRPAWLWGAEMGANEHGVCIANEAINTREPAAEIEALLGMDLVRLGLERGETAKEALDVIVSLLEEHGQGGNYFEDANSCHSFQSAYLIVDRDEAWVLETIGKYWAAEKVTEGVRCICSQLSLTTKMDAEHPELRSYAQSQGWWTGEGEFNFSEVFSPVEDHLDCGAGKDSLEKQEESITVQTMMNTLRDKASGVCIDSEFFLTTASGVSVLPQNRSSPCIHYFTGTHDPSRSIFKPFIFVDDVKLVPKTQSPCFGDDDPAKKEPRFQEKPDRRHELYKAHEWARAIIESDQEQGRKLRSTMLELEKQGLEAMEEILTSSEPLDPAEVGDLFYDCVDTEIKFFK 种属同源性预测 |
| 宿主/亚型 | Rabbit / IgG |
| 抗体类别 | Recombinant |
| 产品类型 | Antibody |
| 全称 | secernin 1 |
| 别名 | KIAA0193, secernin 1, Secernin-1, SES1 |
| 计算分子量 | 46 kDa |
| 观测分子量 | 50 kDa |
| GenBank蛋白编号 | BC040492 |
| 基因名称 | SCRN1 |
| Gene ID (NCBI) | 9805 |
| 偶联类型 | Unconjugated |
| 形式 | Liquid |
| 纯化方式 | Protein A purification |
| UNIPROT ID | Q12765 |
| 储存缓冲液 | PBS only, pH 7.3. |
| 储存条件 | Store at -80°C. The product is shipped with ice packs. Upon receipt, store it immediately at -80°C |
背景介绍
SCRN genes encode protein members of the secernin family including Secernin 1, Secernin 2 and Secernin 3. Function of Secernin 2 and Secernin 3 are so far not well understood. Secernin 1 is a novel 50-kDa cytosolic protein that appears to be involved in the regulation of exocytosis from peritoneal mast cells. Secernin-1 a novel tumor-associated antigen (TAA) and may be a universal marker of different cancer types including gastric cancer, which has been validated by several researches. Measurement of SCRN1 can be used in the early detection of cancer or in the surveillance of patients who undergo surgery.


