验证数据展示
经过测试的应用
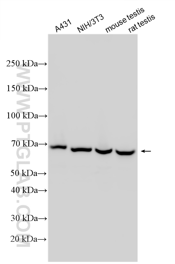
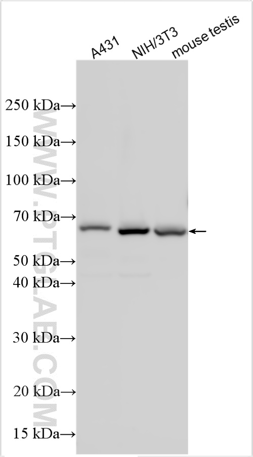
| Positive WB detected in | A431 cells, NIH/3T3 cells, mouse testis tissue, rat testis tissue |
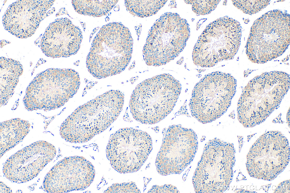
| Positive IHC detected in | mouse testis tissue, mouse lung tissue Note: suggested antigen retrieval with TE buffer pH 9.0; (*) Alternatively, antigen retrieval may be performed with citrate buffer pH 6.0 |
| Positive IF-P detected in | mouse testis tissue, mouse lung tissue |
推荐稀释比
| 应用 | 推荐稀释比 |
|---|---|
| Western Blot (WB) | WB : 1:5000-1:50000 |
| Immunohistochemistry (IHC) | IHC : 1:1500-1:6000 |
| Immunofluorescence (IF)-P | IF-P : 1:50-1:500 |
| It is recommended that this reagent should be titrated in each testing system to obtain optimal results. | |
| Sample-dependent, Check data in validation data gallery. | |
产品信息
33259-1-AP targets NF-κB p65 in WB, IHC, IF-P, ELISA applications and shows reactivity with human, mouse, rat samples.
| 经测试应用 | WB, IHC, IF-P, ELISA Application Description |
| 经测试反应性 | human, mouse, rat |
| 免疫原 |
CatNo: Ag40017 Product name: Recombinant mouse Rela protein Source: e coli.-derived, PGEX-4T Tag: GST Domain: 425-549 aa of BC094053 Sequence: KSTQAGEGTLSEALLHLQFDADEDLGALLGNSTDPGVFTDLASVDNSEFQQLLNQGVSMSHSTAEPMLMEYPEAITRLVTGSQRPPDPAPTPLGTSGLPNGLSGDEDFSSIADMDFSALLSQISS* 种属同源性预测 |
| 宿主/亚型 | Rabbit / IgG |
| 抗体类别 | Polyclonal |
| 产品类型 | Antibody |
| 全称 | v-rel reticuloendotheliosis viral oncogene homolog A (avian) |
| 别名 | NF Kappa B, NF κB, NF-kB, NFKB 3, NFKB p65 |
| 观测分子量 | 60 kDa |
| GenBank蛋白编号 | BC094053 |
| 基因名称 | Rela |
| Gene ID (NCBI) | 19697 |
| 偶联类型 | Unconjugated |
| 形式 | Liquid |
| 纯化方式 | Antigen affinity Purification |
| UNIPROT ID | Q04207 |
| 储存缓冲液 | PBS with 0.02% sodium azide and 50% glycerol, pH 7.3. |
| 储存条件 | Store at -20°C. Stable for one year after shipment. Aliquoting is unnecessary for -20oC storage. |
背景介绍
Rela, also known as p65, is one of the most critical and extensively studied members of the nuclear factor κB (NF-κB) transcription factor family. As the core executor of the NF-κB signaling pathway, it typically forms the canonical p65-p50 heterodimer with the p50 subunit. In the resting state, Rela is anchored in the cytoplasm by the IκB inhibitory protein. Once the cell receives external stimuli such as inflammatory cytokines (TNF-α, IL-1), pathogen-associated molecular patterns (PAMPs), or stress signals, the IκB kinase (IKK) complex is activated, leading to the degradation of IκB and the release of Rela/p65. The activated Rela rapidly translocates to the nucleus, initiating the transcription of a large number of target genes that are widely involved in key biological processes such as acute inflammatory responses, cell survival, proliferation, and differentiation. Therefore, Rela serves as the core hub connecting upstream signals with downstream gene expression and plays a crucial role in immune responses, inflammatory diseases, and cancer.
实验方案
| Product Specific Protocols | |
|---|---|
| IF protocol for NF-κB p65 antibody 33259-1-AP | Download protocol |
| IHC protocol for NF-κB p65 antibody 33259-1-AP | Download protocol |
| WB protocol for NF-κB p65 antibody 33259-1-AP | Download protocol |
| Standard Protocols | |
|---|---|
| Click here to view our Standard Protocols |





