验证数据展示
产品信息
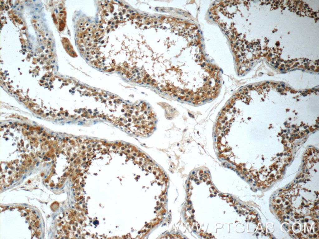
24940-1-PBS targets RPL39L in WB, IHC, Indirect ELISA applications and shows reactivity with human samples.
| 经测试应用 | WB, IHC, Indirect ELISA Application Description |
| 经测试反应性 | human |
| 免疫原 |
CatNo: Ag20923 Product name: Recombinant human RPL39L protein Source: e coli.-derived, PET30a Tag: 6*His Domain: 1-51 aa of BC012328 Sequence: MSSHKTFTIKRFLAKKQKQNRPIPQWIQMKPGSKIRYNSKRRHWRRTKLGL 种属同源性预测 |
| 宿主/亚型 | Rabbit / IgG |
| 抗体类别 | Polyclonal |
| 产品类型 | Antibody |
| 全称 | ribosomal protein L39-like |
| 别名 | 60S ribosomal protein L39-2, 60S ribosomal protein L39-like, Large ribosomal subunit protein eL39-like, Ribosomal protein eL39-like 2, RPL39L1 |
| 计算分子量 | 51 aa, 6 kDa |
| 观测分子量 | 6 kDa |
| GenBank蛋白编号 | BC012328 |
| 基因名称 | RPL39L |
| Gene ID (NCBI) | 116832 |
| RRID | AB_2879810 |
| 偶联类型 | Unconjugated |
| 形式 | Liquid |
| 纯化方式 | Antigen affinity purification |
| UNIPROT ID | Q96EH5 |
| 储存缓冲液 | PBS only, pH 7.3. |
| 储存条件 | Store at -80°C. The product is shipped with ice packs. Upon receipt, store it immediately at -80°C |


