验证数据展示
经过测试的应用
| Positive WB detected in | Caco-2 cells | 
| Positive IP detected in | HEK-293 cells | 
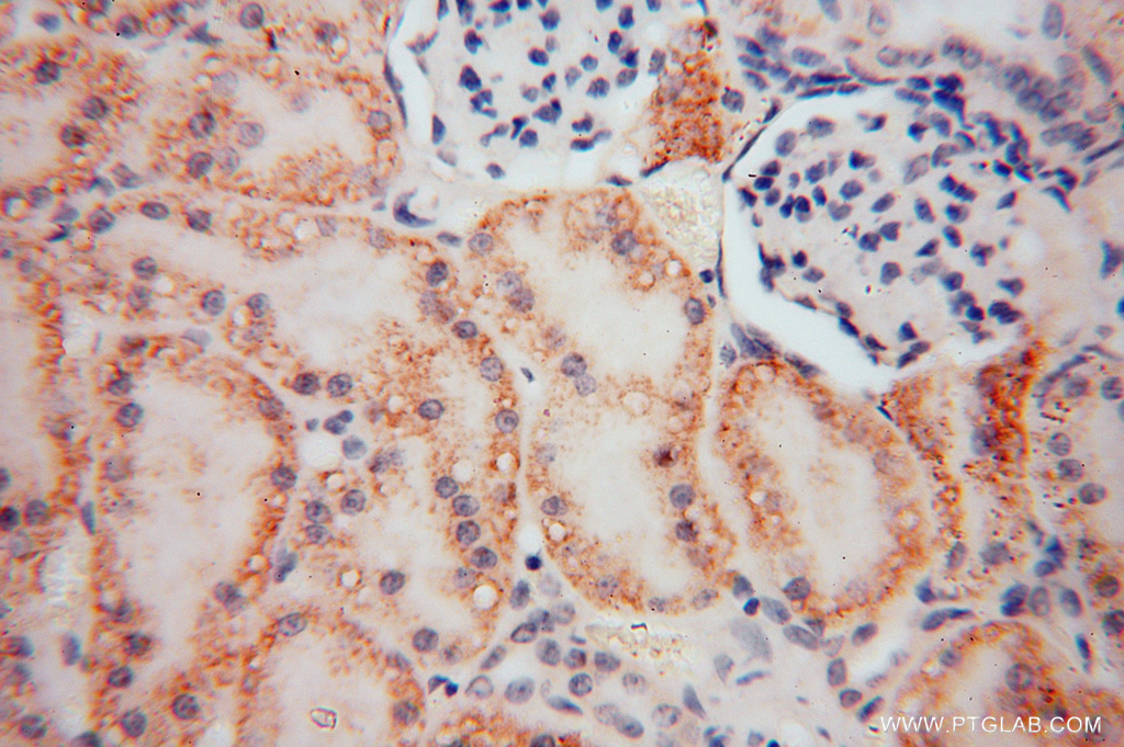
| Positive IHC detected in | human kidney tissue Note: suggested antigen retrieval with TE buffer pH 9.0; (*) Alternatively, antigen retrieval may be performed with citrate buffer pH 6.0  | 
| Positive IF-P detected in | mouse kidney tissue | 
| Positive IF/ICC detected in | HEK-293 cells | 
推荐稀释比
| 应用 | 推荐稀释比 | 
|---|---|
| Western Blot (WB) | WB : 1:500-1:1000 | 
| Immunoprecipitation (IP) | IP : 0.5-4.0 ug for 1.0-3.0 mg of total protein lysate | 
| Immunohistochemistry (IHC) | IHC : 1:20-1:200 | 
| Immunofluorescence (IF)-P | IF-P : 1:50-1:500 | 
| Immunofluorescence (IF)/ICC | IF/ICC : 1:50-1:500 | 
| It is recommended that this reagent should be titrated in each testing system to obtain optimal results. | |
| Sample-dependent, Check data in validation data gallery. | |
产品信息
15003-1-AP targets RENALASE in WB, IHC, IF/ICC, IF-P, IP, ELISA applications and shows reactivity with human, mouse, rat samples.
| 经测试应用 | WB, IHC, IF/ICC, IF-P, IP, ELISA Application Description | 
| 文献引用应用 | WB, IHC, IF | 
| 经测试反应性 | human, mouse, rat | 
| 文献引用反应性 | human, mouse, rat | 
| 免疫原 | 
                                             CatNo: Ag13061 Product name: Recombinant human RENALASE protein Source: e coli.-derived, PET28a Tag: 6*His Domain: 1-342 aa of BC005364 Sequence: MAQVLIVGAGMTGSLCAALLRRQTSGPLYLAVWDKADDSGGRMTTACSPHNPQCTADLGAQYITCTPHYAKKHQRFYDELLAYGVLRPLSSPIEGMVMKEGDCNFVAPQGISSIIKHYLKESGAEVYFRHRVTQINLRDDKWEVSKQTGSPEQFDLIVLTMPVPEILQLQGDITTLISECQRQQLEAVSYSSRYALGLFYEAGTKIDVPWAGQYITSNPCIRFVSIDNKKRNIESSEIGPSLVIHTTVPFGVTYLEHSIEDVQELVFQQLENILPGLPQPIATKCQKWRHSQVTNAAANCPGQMTLHHKPFLACGGDGFTQSNFDGCITSALCVLEALKNYI 种属同源性预测 | 
                                    
| 宿主/亚型 | Rabbit / IgG | 
| 抗体类别 | Polyclonal | 
| 产品类型 | Antibody | 
| 全称 | chromosome 10 open reading frame 59 | 
| 别名 | C10orf59, Monoamine oxidase-C, Monoamine oxidase C, MAO-C, MAO C | 
| 计算分子量 | 38 kDa | 
| 观测分子量 | 35 kDa | 
| GenBank蛋白编号 | BC005364 | 
| 基因名称 | RENALASE | 
| Gene ID (NCBI) | 55328 | 
| RRID | AB_1557298 | 
| 偶联类型 | Unconjugated | 
| 形式 | Liquid | 
| 纯化方式 | Antigen affinity purification | 
| UNIPROT ID | Q5VYX0 | 
| 储存缓冲液 | PBS with 0.02% sodium azide and 50% glycerol, pH 7.3. | 
| 储存条件 | Store at -20°C. Stable for one year after shipment. Aliquoting is unnecessary for -20oC storage. | 
背景介绍
RNLS, also named as Renalase, C10orf59 and MAO-C, belongs to the renalase family. It is probable FAD-dependent amine oxidase secreted by the kidney, which circulates in blood and modulates cardiac function and systemic blood pressure. RNLS degrades catecholamines such as dopamine, norepinephrine and epinephrine in vitro. It lowers blood pressure in vivo by decreasing cardiac contractility and heart rate and preventing a compensatory increase in peripheral vascular tone, suggesting a causal link to the increased plasma catecholamine and heightened cardiovascular risk. High concentrations of catecholamines activate plasma renalase and promotes its secretion and synthesis. RNLS has physiologically relevant catecholamine-oxidizing activity. (PMID:15841207 ) This antibody is specific to RNLS.
实验方案
| Product Specific Protocols | |
|---|---|
| IF protocol for RENALASE antibody 15003-1-AP | Download protocol | 
| IHC protocol for RENALASE antibody 15003-1-AP | Download protocol | 
| IP protocol for RENALASE antibody 15003-1-AP | Download protocol | 
| WB protocol for RENALASE antibody 15003-1-AP | Download protocol | 
| Standard Protocols | |
|---|---|
| Click here to view our Standard Protocols | 
发表文章
| Species | Application | Title | 
|---|---|---|
J Clin Invest Renalase is a novel, soluble monoamine oxidase that regulates cardiac function and blood pressure. | ||
Front Cardiovasc Med Aerobic Exercise Training Improves Renal Injury in Spontaneously Hypertensive Rats by Increasing Renalase Expression in Medulla. | ||
Life Sci Renalase is localized to the small intestine crypt and expressed upon the activation of NF-κB p65 in mice model of fasting-induced oxidative stress. | ||
Exp Biol Med (Maywood) Plasma and urine renalase levels and activity during the recovery of renal function in kidney transplant recipients. | 





