验证数据展示
经过测试的应用
| Positive WB detected in | C2C12 cells, NIH?3T3 cells, RAW 264.7 cells |
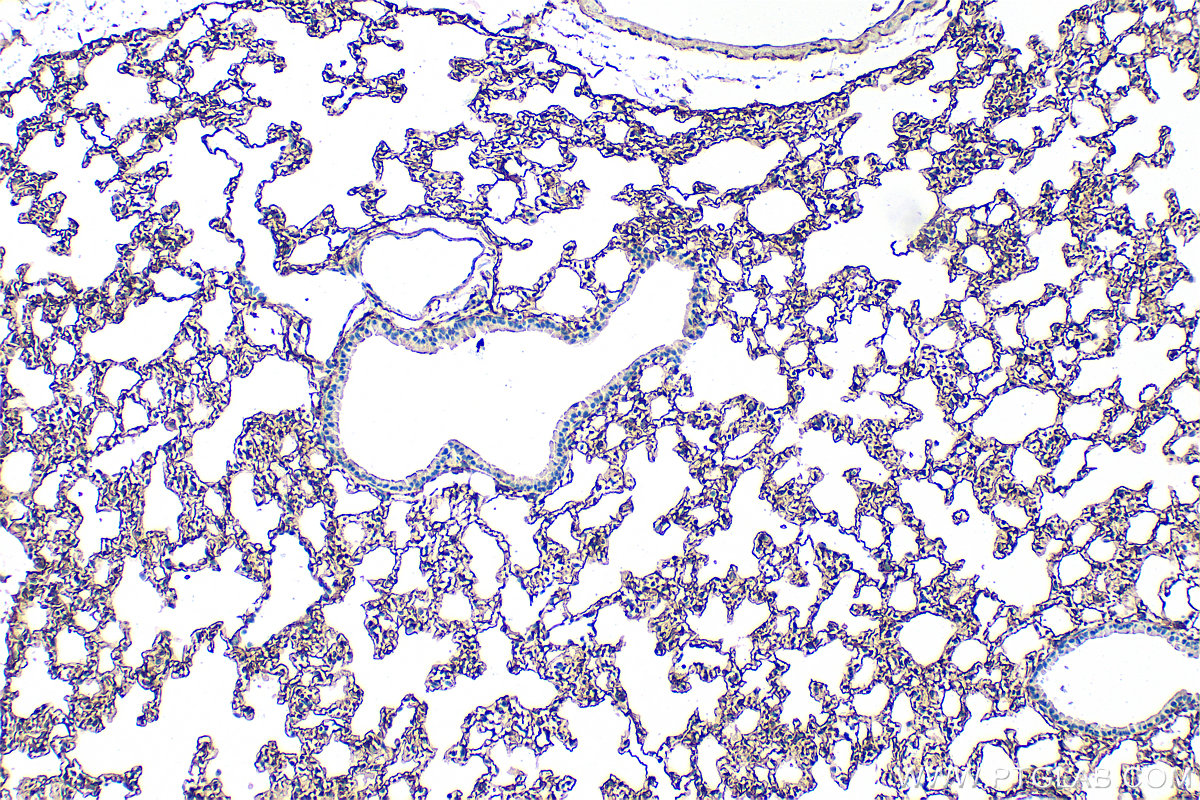
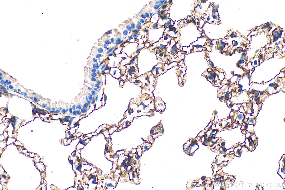
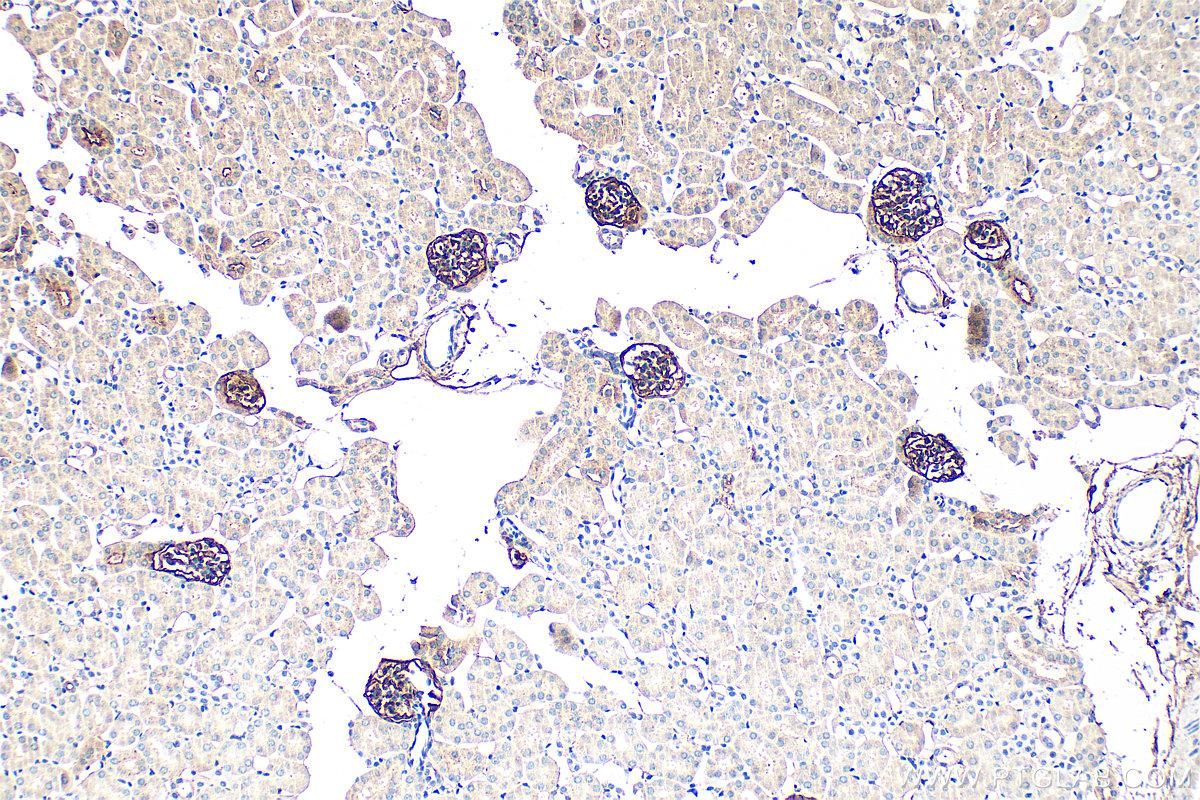
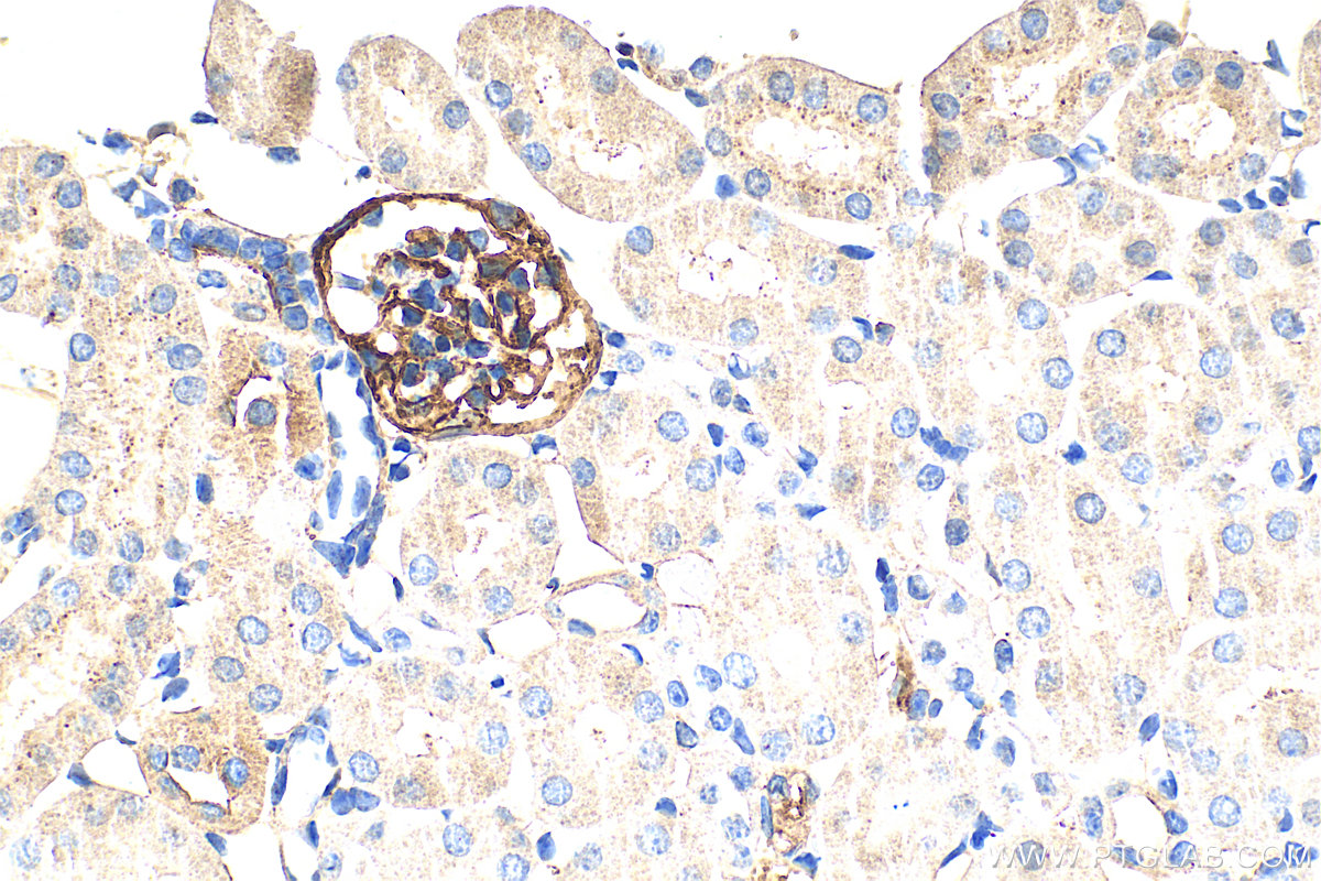
| Positive IHC detected in | mouse lung tissue, mouse kidney tissue Note: suggested antigen retrieval with TE buffer pH 9.0; (*) Alternatively, antigen retrieval may be performed with citrate buffer pH 6.0 |
推荐稀释比
| 应用 | 推荐稀释比 |
|---|---|
| Western Blot (WB) | WB : 1:1000-1:8000 |
| Immunohistochemistry (IHC) | IHC : 1:400-1:1600 |
| It is recommended that this reagent should be titrated in each testing system to obtain optimal results. | |
| Sample-dependent, Check data in validation data gallery. | |
产品信息
33099-1-AP targets Podoplanin in WB, IHC, ELISA applications and shows reactivity with mouse samples.
| 经测试应用 | WB, IHC, ELISA Application Description |
| 经测试反应性 | mouse |
| 免疫原 |
CatNo: Eg2861 Product name: Recombinant Mouse Podoplanin/PDPN protein (rFc Tag)(HPLC verified) Source: mammalian cells-derived, V37 Tag: C-rFc Domain: 21-133 aa of NM_010329.3 Sequence: QGGTIGVNEDDIVTPGTGDGMVPPGIEDKITTTGATGGLNESTGKAPLVPTQRERGTKPPLEELSTSATSDHDHREHESTTTVKVVTSHSVDKKTSHPNRDNAGDETQTTDKK 种属同源性预测 |
| 宿主/亚型 | Rabbit / IgG |
| 抗体类别 | Polyclonal |
| 产品类型 | Antibody |
| 全称 | podoplanin |
| 别名 | E11, Glycoprotein 38, Gp38, Ots8, OTS-8 |
| 计算分子量 | 18 kDa |
| 观测分子量 | 38-40 kDa |
| GenBank蛋白编号 | NM_010329.3 |
| 基因名称 | Pdpn |
| Gene ID (NCBI) | 14726 |
| 偶联类型 | Unconjugated |
| 形式 | Liquid |
| 纯化方式 | Antigen affinity Purification |
| UNIPROT ID | Q62011 |
| 储存缓冲液 | PBS with 0.02% sodium azide and 50% glycerol, pH 7.3. |
| 储存条件 | Store at -20°C. Stable for one year after shipment. Aliquoting is unnecessary for -20oC storage. |
背景介绍
Podoplanin was identified as a glycoprotein found in the cell membranes of glomerular epithelial cells (podocyte) (PMID: 9327748). It is a lymphatic marker because the expression of podoplanin has been detected in lymphatic but not blood vascular endothelium, and is useful as the marker of tumor-associated Lymphangiogenesis. Podoplanin has a function in developing testis, most likely at the level of cell-cell interactions among pre-meiotic germ cells and immature Sertoli cells. It may be involved in cell migration and/or actin cytoskeleton organization. When expressed in keratinocytes, PDPN induces changes in cell morphology with transfected cells showing an elongated shape, numerous membrane protrusions, major reorganization of the actin cytoskeleton, increased motility and decreased cell adhesion. It is required for normal lung cell proliferation and alveolus formation at birth. PDPN induces platelet aggregation. It does not have any effect on folic acid or amino acid transport and does not function as a water channel or as a regulator of aquaporin-type water channels.
实验方案
| Product Specific Protocols | |
|---|---|
| IHC protocol for Podoplanin antibody 33099-1-AP | Download protocol |
| WB protocol for Podoplanin antibody 33099-1-AP | Download protocol |
| Standard Protocols | |
|---|---|
| Click here to view our Standard Protocols |




