验证数据展示
经过测试的应用
| Positive WB detected in | SH-SY5Y cells, SK-N-SH cells, mouse brain tissue, rat brain tissue |
| Positive IP detected in | mouse heart tissue |
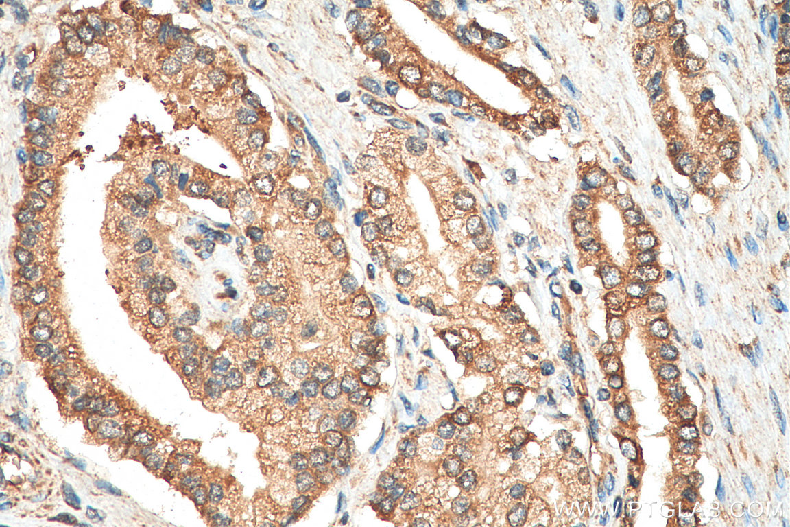
| Positive IHC detected in | human testis tissue, human prostate cancer tissue Note: suggested antigen retrieval with TE buffer pH 9.0; (*) Alternatively, antigen retrieval may be performed with citrate buffer pH 6.0 |
推荐稀释比
| 应用 | 推荐稀释比 |
|---|---|
| Western Blot (WB) | WB : 1:500-1:3000 |
| Immunoprecipitation (IP) | IP : 0.5-4.0 ug for 1.0-3.0 mg of total protein lysate |
| Immunohistochemistry (IHC) | IHC : 1:100-1:500 |
| It is recommended that this reagent should be titrated in each testing system to obtain optimal results. | |
| Sample-dependent, Check data in validation data gallery. | |
产品信息
55120-1-AP targets PUMA in WB, IHC, IP, ELISA applications and shows reactivity with human, mouse, rat samples.
| 经测试应用 | WB, IHC, IP, ELISA Application Description |
| 文献引用应用 | WB, IHC |
| 经测试反应性 | human, mouse, rat |
| 文献引用反应性 | human, mouse, rat, zebrafish |
| 免疫原 |
Peptide 种属同源性预测 |
| 宿主/亚型 | Rabbit / IgG |
| 抗体类别 | Polyclonal |
| 产品类型 | Antibody |
| 全称 | BCL2 binding component 3 |
| 别名 | BBC3, BBC 3, Bcl-2-binding component 3, isoforms 1/2, JFY 1, JFY1 |
| 计算分子量 | 21 kDa |
| 观测分子量 | 18-21 kDa |
| GenBank蛋白编号 | NM_014417 |
| 基因名称 | PUMA |
| Gene ID (NCBI) | 27113 |
| RRID | AB_10859944 |
| 偶联类型 | Unconjugated |
| 形式 | Liquid |
| 纯化方式 | Antigen affinity purification |
| UNIPROT ID | Q9BXH1 |
| 储存缓冲液 | PBS with 0.02% sodium azide and 50% glycerol, pH 7.3. |
| 储存条件 | Store at -20°C. Stable for one year after shipment. Aliquoting is unnecessary for -20oC storage. |
背景介绍
PUMA, also named as JFY-1 and BBC3, belongs to the Bcl-2 family. It is a critical mediator of p53-dependent and -independent apoptosis induced by a wide variety of stimuli. It serves as a proximal signaling molecule whose expression is regulated by transcription factors in response to these stimuli. PUMA transduces death signals primarily to the mitochondria, where it acts indirectly on the Bcl-2 family members Bax and/or Bak by relieving the inhibition imposed by antiapoptotic members. It directly binds and antagonizes all known antiapoptotic Bcl-2 family members to induce mitochondrial dysfunction and caspase activation. PUMA ablation or inhibition leads to apoptosis deficiency underlying increased risks for cancer development and therapeutic resistance. It is a general sensor of cell death stimuli and a promising drug target for cancer therapy and tissue damage. It is essential mediator of p53-dependent and p53-independent apoptosis (PMID: 19641508). Catalog #55120-1-AP can recognize PUMA alpha 21-24 kDa and PUMA beta 15-18 kDa.
实验方案
| Product Specific Protocols | |
|---|---|
| IHC protocol for PUMA antibody 55120-1-AP | Download protocol |
| IP protocol for PUMA antibody 55120-1-AP | Download protocol |
| WB protocol for PUMA antibody 55120-1-AP | Download protocol |
| Standard Protocols | |
|---|---|
| Click here to view our Standard Protocols |
发表文章
| Species | Application | Title |
|---|---|---|
Mol Cell Filamentous GLS1 promotes ROS-induced apoptosis upon glutamine deprivation via insufficient asparagine synthesis. | ||
Sci Adv Genomic gain of RRS1 promotes hepatocellular carcinoma through reducing the RPL11-MDM2-p53 signaling. | ||
Nat Commun A non-canonical pathway regulates ER stress signaling and blocks ER stress-induced apoptosis and heart failure. | ||
J Clin Invest Circular RNA circEsyt2 regulates vascular smooth muscle cell remodeling via splicing regulation. | ||
Cell Death Differ Mitophagy protein PINK1 suppresses colon tumor growth by metabolic reprogramming via p53 activation and reducing acetyl-CoA production. | ||
Environ Pollut Insight into the negative impact of ionic liquid: A cytotoxicity mechanism of 1-methyl-3-octylimidazolium bromide. |




