验证数据展示
产品信息
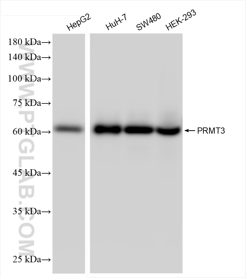
83969-7-PBS targets PRMT3 in WB, IF/ICC, FC (Intra), ELISA applications and shows reactivity with human samples.
| 经测试应用 | WB, IF/ICC, FC (Intra), ELISA Application Description |
| 经测试反应性 | human |
| 免疫原 |
CatNo: Ag13466 Product name: Recombinant human PRMT3 protein Source: e coli.-derived, PGEX-4T Tag: GST Domain: 178-531 aa of BC037544 Sequence: RAREDLQKMKQFAQDFVMHTDVRTCSSSTSVIADLQEDEDGVYFSSYGHYGIHEEMLKDKIRTESYRDFIYQNPHIFKDKVVLDVGCGTGILSMFAAKAGAKKVLGVDQSEILYQAMDIIRLNKLEDTITLIKGKIEEVHLPVEKVDVIISEWMGYFLLFESMLDSVLYAKNKYLAKGGSVYPDICTISLVAVSDVNKHADRIAFWDDVYGFKMSCMKKAVIPEAVVEVLDPKTLISEPCGIKHIDCHTTSISDLEFSSDFTLKITRTSMCTAIAGYFDIYFEKNCHNRVVFSTGPQSTKTHWKQTVFLLEKPFSVKAGEALKGKVTVHKNKKDPRSLTVTLTLNNSTQTYGLQ 种属同源性预测 |
| 宿主/亚型 | Rabbit / IgG |
| 抗体类别 | Recombinant |
| 产品类型 | Antibody |
| 全称 | protein arginine methyltransferase 3 |
| 别名 | Protein arginine N-methyltransferase 3, PRMT 3, HRMT1L3, Heterogeneous nuclear ribonucleoprotein methyltransferase-like protein 3, EC:2.1.1.319 |
| 计算分子量 | 531 aa, 60 kDa |
| 观测分子量 | 60-68 kDa |
| GenBank蛋白编号 | BC037544 |
| 基因名称 | PRMT3 |
| Gene ID (NCBI) | 10196 |
| 偶联类型 | Unconjugated |
| 形式 | Liquid |
| 纯化方式 | Protein A purfication |
| UNIPROT ID | O60678 |
| 储存缓冲液 | PBS only, pH 7.3. |
| 储存条件 | Store at -80°C. The product is shipped with ice packs. Upon receipt, store it immediately at -80°C |
背景介绍
PRMT3(protein arginine methyltransferase 3) regulates protein functions by introducing asymmetric dimethylation marks at the arginine residues in proteins.


