验证数据展示
经过测试的应用
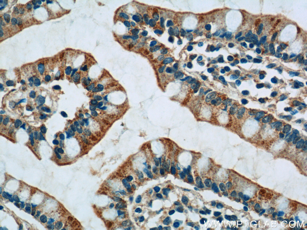
| Positive IHC detected in | human small intestine tissue Note: suggested antigen retrieval with TE buffer pH 9.0; (*) Alternatively, antigen retrieval may be performed with citrate buffer pH 6.0 |
推荐稀释比
| 应用 | 推荐稀释比 |
|---|---|
| Immunohistochemistry (IHC) | IHC : 1:50-1:500 |
| It is recommended that this reagent should be titrated in each testing system to obtain optimal results. | |
| Sample-dependent, Check data in validation data gallery. | |
产品信息
21654-1-AP targets PPYR1 in IHC, ELISA applications and shows reactivity with human samples.
| 经测试应用 | IHC, ELISA Application Description |
| 经测试反应性 | human |
| 免疫原 |
CatNo: Ag16374 Product name: Recombinant human PPYR1 protein Source: e coli.-derived, PGEX-4T Tag: GST Domain: 317-375 aa of BC096238 Sequence: VNPFIYGFLNTNFKKEIKALVLTCQQSAPLEESEHLPLSTVHTEVSKGSLRLSGRSNPI 种属同源性预测 |
| 宿主/亚型 | Rabbit / IgG |
| 抗体类别 | Polyclonal |
| 产品类型 | Antibody |
| 全称 | pancreatic polypeptide receptor 1 |
| 别名 | Neuropeptide Y receptor type 4, PP1, PPYR1, Y4 |
| 计算分子量 | 375 aa, 42 kDa |
| GenBank蛋白编号 | BC096238 |
| 基因名称 | PPYR1 |
| Gene ID (NCBI) | 5540 |
| RRID | AB_2878900 |
| 偶联类型 | Unconjugated |
| 形式 | Liquid |
| 纯化方式 | Antigen affinity purification |
| UNIPROT ID | P50391 |
| 储存缓冲液 | PBS with 0.02% sodium azide and 50% glycerol, pH 7.3. |
| 储存条件 | Store at -20°C. Stable for one year after shipment. Aliquoting is unnecessary for -20oC storage. |
背景介绍
PPYR1 (pancreatic polypeptide receptor 1), also known as NPY4R, is a member of the G-protein coupled receptor 1 family. PPYR1 is a receptor for the PP-fold peptides (pancreatic polypeptide, peptide YY, and neuropeptide Y) and pancreatic polypeptide is the preferred ligand (PMID: 12626767). It may be regulating central nervous system, cardiovascular and gastrointestinal function. It has been reported that PPYR1 gene is a key regulator of energy homeostasis (PMID: 12000791). PPYR1 gene copy number gain has been associated with lower body mass index (BMI) (PMID: 19229253).
实验方案
| Product Specific Protocols | |
|---|---|
| IHC protocol for PPYR1 antibody 21654-1-AP | Download protocol |
| Standard Protocols | |
|---|---|
| Click here to view our Standard Protocols |


