验证数据展示
产品信息
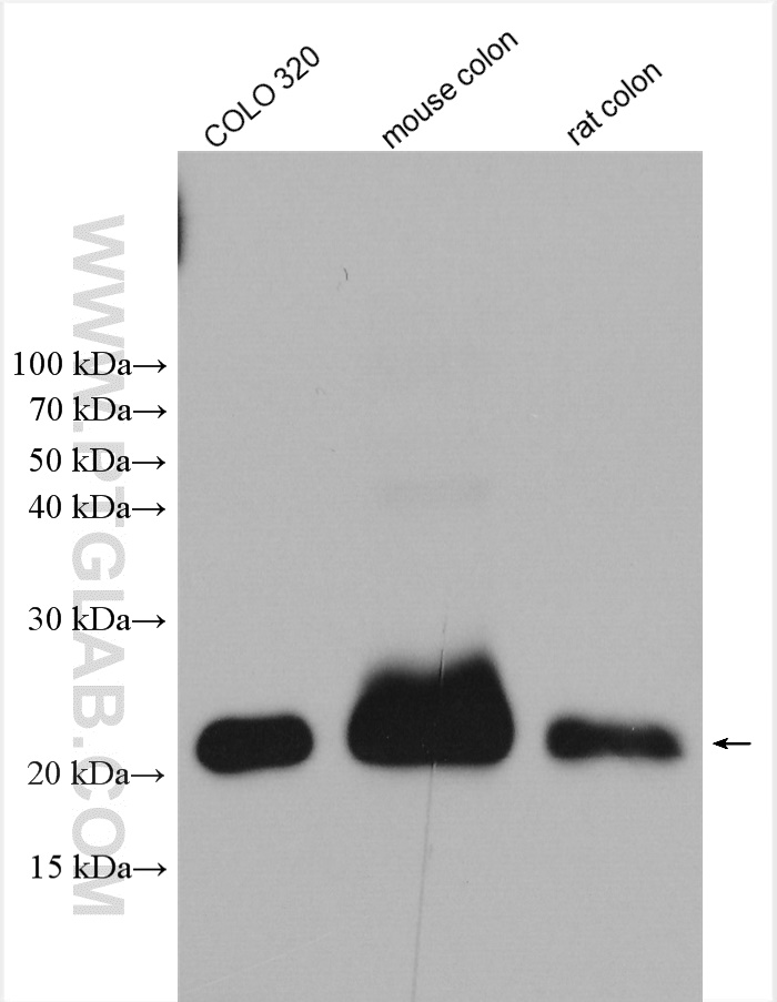
22080-1-PBS targets PPP1R14D in WB, Indirect ELISA applications and shows reactivity with human, mouse samples.
| 经测试应用 | WB, Indirect ELISA Application Description |
| 经测试反应性 | human, mouse |
| 免疫原 |
CatNo: Ag17246 Product name: Recombinant human PPP1R14D protein Source: e coli.-derived, PET28a Tag: 6*His Domain: 1-145 aa of BC096716 Sequence: MLSSSPASCTSPSPDGENPCKKVHWASGRRRTSSTDSESKSHPDSSKIPRSRRPSRLTVKYDRGQLQRWLEMEQWVDAQVQELFQDQATPSEPEIDLEALMDLSTEEQKTQLEAILGNCPRPTEAFISELLSQLKKLRRLSRPQK 种属同源性预测 |
| 宿主/亚型 | Rabbit / IgG |
| 抗体类别 | Polyclonal |
| 产品类型 | Antibody |
| 全称 | protein phosphatase 1, regulatory (inhibitor) subunit 14D |
| 别名 | |
| 计算分子量 | 145 aa, 17 kDa |
| 观测分子量 | 21 kDa |
| GenBank蛋白编号 | BC096716 |
| 基因名称 | PPP1R14D |
| Gene ID (NCBI) | 54866 |
| RRID | AB_2878987 |
| 偶联类型 | Unconjugated |
| 形式 | Liquid |
| 纯化方式 | Antigen affinity purification |
| UNIPROT ID | Q9NXH3 |
| 储存缓冲液 | PBS only, pH 7.3. |
| 储存条件 | Store at -80°C. The product is shipped with ice packs. Upon receipt, store it immediately at -80°C |
