验证数据展示
经过测试的应用
| Positive WB detected in | Jurkat cells, THP-1 cells, human placenta tissue |
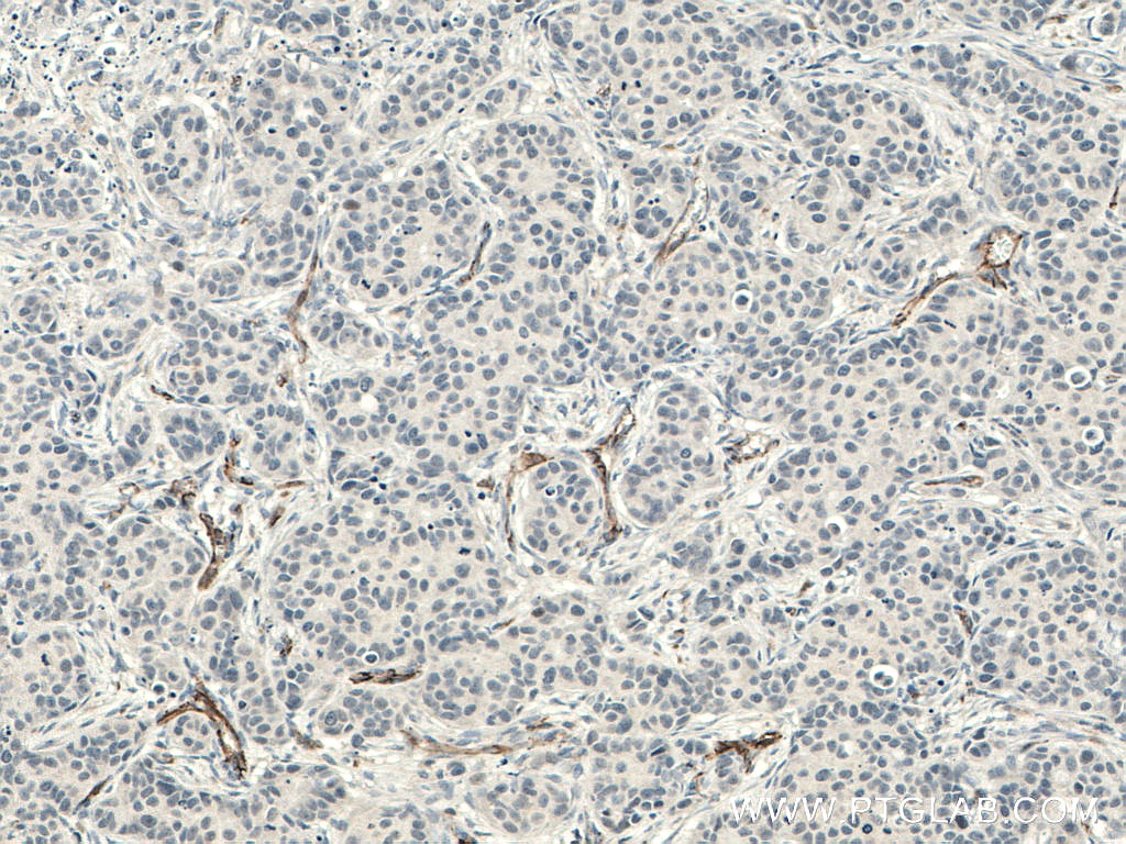
| Positive IHC detected in | human liver cancer tissue, human tonsillitis tissue, human breast cancer tissue Note: suggested antigen retrieval with TE buffer pH 9.0; (*) Alternatively, antigen retrieval may be performed with citrate buffer pH 6.0 |
推荐稀释比
| 应用 | 推荐稀释比 |
|---|---|
| Western Blot (WB) | WB : 1:2000-1:8000 |
| Immunohistochemistry (IHC) | IHC : 1:400-1:4000 |
| It is recommended that this reagent should be titrated in each testing system to obtain optimal results. | |
| Sample-dependent, Check data in validation data gallery. | |
产品信息
66065-1-Ig targets CD31 in WB, IHC, IF-P, ELISA applications and shows reactivity with human samples.
| 经测试应用 | WB, IF, IHC, ELISA Application Description |
| 文献引用应用 | WB, IHC, IF |
| 经测试反应性 | human |
| 文献引用反应性 | human |
| 免疫原 |
CatNo: Ag1787 Product name: Recombinant human CD31 protein Source: e coli.-derived, PGEX-4T Tag: GST Domain: 428-738 aa of BC022512 Sequence: EVRCESISGTLPISYQLLKTSKVLENSTKNSNDPAVFKDNPTEDVEYQCVADNCHSHAKMLSEVLRVKVIAPVDEVQISILSSKVVESGEDIVLQCAVNEGSGPITYKFYREKEGKPFYQMTSNATQAFWTKQKANKEQEGEYYCTAFNRANHASSVPRSKILTVRVILAPWKKGLIAVVIIGVIIALLIIAAKCYFLRKAKAKQMPVEMSRPAVPLLNSNNEKMSDPNMEANSHYGHNDDVGNHAMKPINDNKEPLNSDVQYTEVQVSSAESHKDLGKKDTETVYSEVRKAVPDAVESRYSRTEGSLDGT 种属同源性预测 |
| 宿主/亚型 | Mouse / IgG2b |
| 抗体类别 | Monoclonal |
| 产品类型 | Antibody |
| 全称 | platelet/endothelial cell adhesion molecule |
| 别名 | |
| 计算分子量 | 83 kDa |
| 观测分子量 | 120-130 kDa |
| GenBank蛋白编号 | BC022512 |
| 基因名称 | CD31 |
| Gene ID (NCBI) | 5175 |
| ENSEMBL Gene ID | ENSG00000261371 |
| RRID | AB_11042590 |
| 偶联类型 | Unconjugated |
| 形式 | Liquid |
| 纯化方式 | Protein A purification |
| UNIPROT ID | P16284 |
| 储存缓冲液 | PBS with 0.02% sodium azide and 50% glycerol, pH 7.3. |
| 储存条件 | Store at -20°C. Stable for one year after shipment. Aliquoting is unnecessary for -20oC storage. |
背景介绍
Platelet endothelial cell adhesion molecule-1 (PECAM-1, CD31) is a member of the immunoglobulin gene superfamily of cell adhesion molecules. CD31 is a transmembrane glycoprotein that is highly expressed on the surface of the endothelium, making up a large portion of its intracellular junctions. PECAM-1 is also present on the surface of hematopoietic cells and immune cells including platelets, monocytes, neutrophils, natural killer cells, megakaryocytes and some types of T-cell (PMID: 9011572). As well as its role in cell-cell adhesion, PECAM-1 functions as a signaling receptor, and is involved in important physiological events such as nitric oxide production, regulation of T-cell immunity and tolerance, leukocyte transendothelial migration and inflammation and angiogenesis (PMID: 21183735; 20978210; 17872453; 20634489).
实验方案
| Product Specific Protocols | |
|---|---|
| IF protocol for CD31 antibody 66065-1-Ig | Download protocol |
| IHC protocol for CD31 antibody 66065-1-Ig | Download protocol |
| WB protocol for CD31 antibody 66065-1-Ig | Download protocol |
| Standard Protocols | |
|---|---|
| Click here to view our Standard Protocols |
发表文章
| Species | Application | Title |
|---|---|---|
Biomaterials An iRGD-conjugated prodrug micelle with blood-brain-barrier penetrability for anti-glioma therapy. | ||
Small Airflow-Assisted 3D Bioprinting of Human Heterogeneous Microspheroidal Organoids with Microfluidic Nozzle. | ||
Theranostics Single-cell landscape reveals active cell subtypes and their interaction in the tumor microenvironment of gastric cancer. | ||
Theranostics Encapsulation of LXR ligand by D-Nap-GFFY hydrogel enhances anti-tumorigenic actions of LXR and removes LXR-induced lipogenesis. | ||
Cancer Lett CD44(+) tumor cells promote early angiogenesis in head and neck squamous cell carcinoma. |











