验证数据展示
经过测试的应用
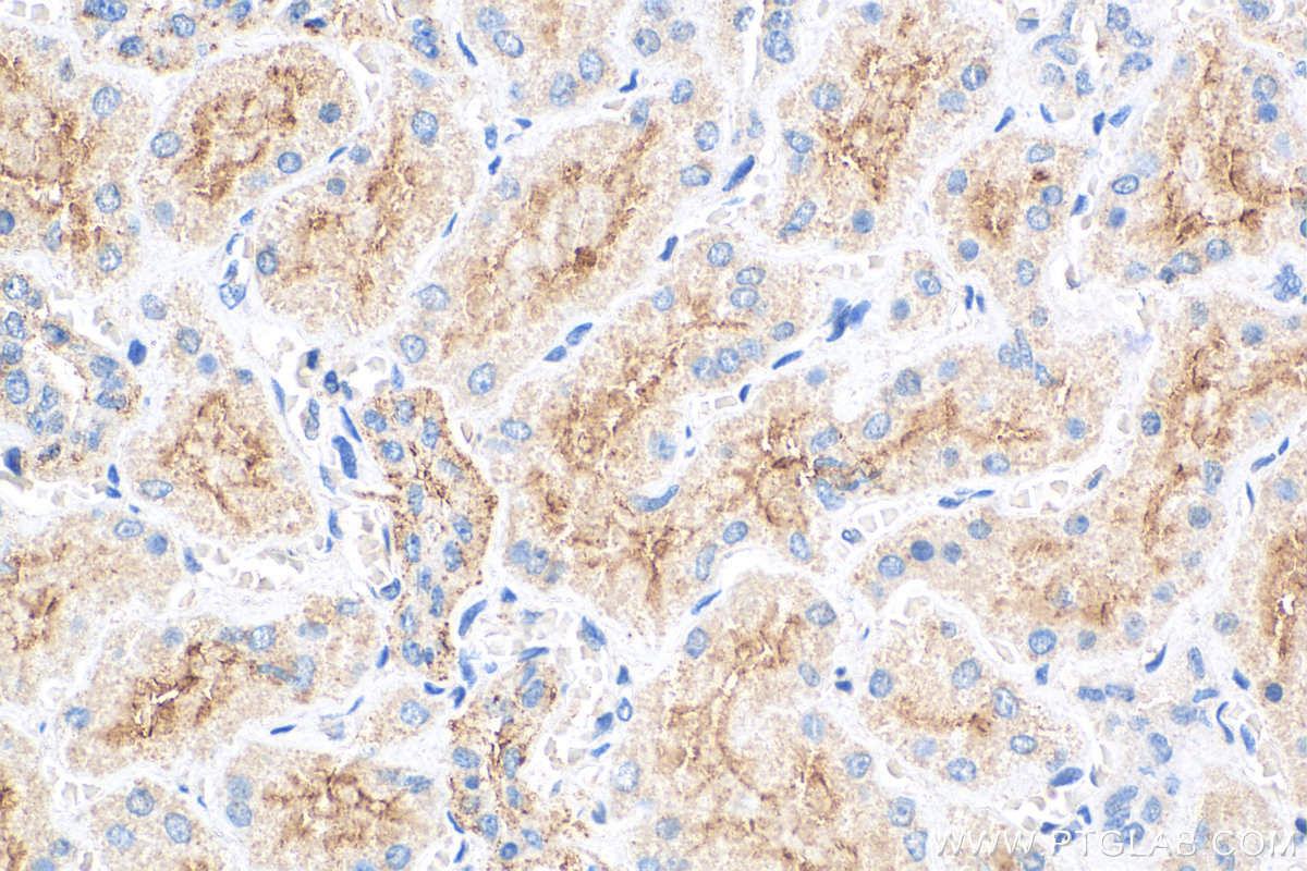
| Positive IHC detected in | human kidney tissue Note: suggested antigen retrieval with TE buffer pH 9.0; (*) Alternatively, antigen retrieval may be performed with citrate buffer pH 6.0 |
| Positive IF/ICC detected in | PC-3 cells |
推荐稀释比
| 应用 | 推荐稀释比 |
|---|---|
| Immunohistochemistry (IHC) | IHC : 1:50-1:500 |
| Immunofluorescence (IF)/ICC | IF/ICC : 1:200-1:800 |
| It is recommended that this reagent should be titrated in each testing system to obtain optimal results. | |
| Sample-dependent, Check data in validation data gallery. | |
发表文章中的应用
| WB | See 1 publications below |
产品信息
12518-1-AP targets MAP17 / PDZK1IP1 in WB, IHC, IF/ICC, ELISA applications and shows reactivity with human samples.
| 经测试应用 | IHC, IF/ICC, ELISA Application Description |
| 文献引用应用 | WB |
| 经测试反应性 | human |
| 文献引用反应性 | human |
| 免疫原 |
CatNo: Ag3206 Product name: Recombinant human PDZK1IP1 protein Source: e coli.-derived, PGEX-4T Tag: GST Domain: 15-114 aa of BC012303 Sequence: VPPASCQQGLGNLQPWMQGLIAVAVFLVLVAIAFAVKHFWCQEEPEPAHMILTVGNKADGVLVGTDGRYSSMAASFRSSEHENAYENVPEEEGKVRSTPM 种属同源性预测 |
| 宿主/亚型 | Rabbit / IgG |
| 抗体类别 | Polyclonal |
| 产品类型 | Antibody |
| 全称 | PDZK1 interacting protein 1 |
| 别名 | Protein DD96, PDZK1IP1, PDZK1-interacting protein 1, MAP17, 17 kDa membrane-associated protein |
| 计算分子量 | 114 aa, 12 kDa |
| GenBank蛋白编号 | BC012303 |
| 基因名称 | MAP17 |
| Gene ID (NCBI) | 10158 |
| RRID | AB_3085395 |
| 偶联类型 | Unconjugated |
| 形式 | Liquid |
| 纯化方式 | Antigen affinity purification |
| UNIPROT ID | Q13113 |
| 储存缓冲液 | PBS with 0.02% sodium azide and 50% glycerol, pH 7.3. |
| 储存条件 | Store at -20°C. Stable for one year after shipment. Aliquoting is unnecessary for -20oC storage. |
背景介绍
PDZK1-interacting protein 1(PDZK1IP1), also known as MAP17, is a membrane-associated protein. MAP17 / PDZK1IP1 is overexpressed in a variety of human carcinomas, and overexpression of MAP17 / PDZK1IP1 protein is strongly correlated with the progression of prostate and ovarian carcinomas (PMID: 17426052). MAP17 / PDZK1IP1 has been proven to be an oncogene for tumorigenesis and development of papillary thyroid cancer (PTC) (PMID: 36057192; PMID: 35727731).
实验方案
| Product Specific Protocols | |
|---|---|
| IF protocol for MAP17 / PDZK1IP1 antibody 12518-1-AP | Download protocol |
| IHC protocol for MAP17 / PDZK1IP1 antibody 12518-1-AP | Download protocol |
| Standard Protocols | |
|---|---|
| Click here to view our Standard Protocols |


