MUS81 Recombinant monoclonal antibody

MUS81 Uni-rAb® Recombinant Antibody for WB, ELISA
Cat No. 87462-1-RR

产品说明书

CloneNo. 252834C7

宿主/亚型

Rabbit / IgG

种属反应性

human, mouse, rat

应用

WB, ELISA

EC:3.1.22.-

缓冲液配方:  PBS, Azide, Glycerol
PBS, Azide, Glycerol
PBS Only
偶联物:  Unconjugated
Unconjugated
规格价格库存


经过测试的应用

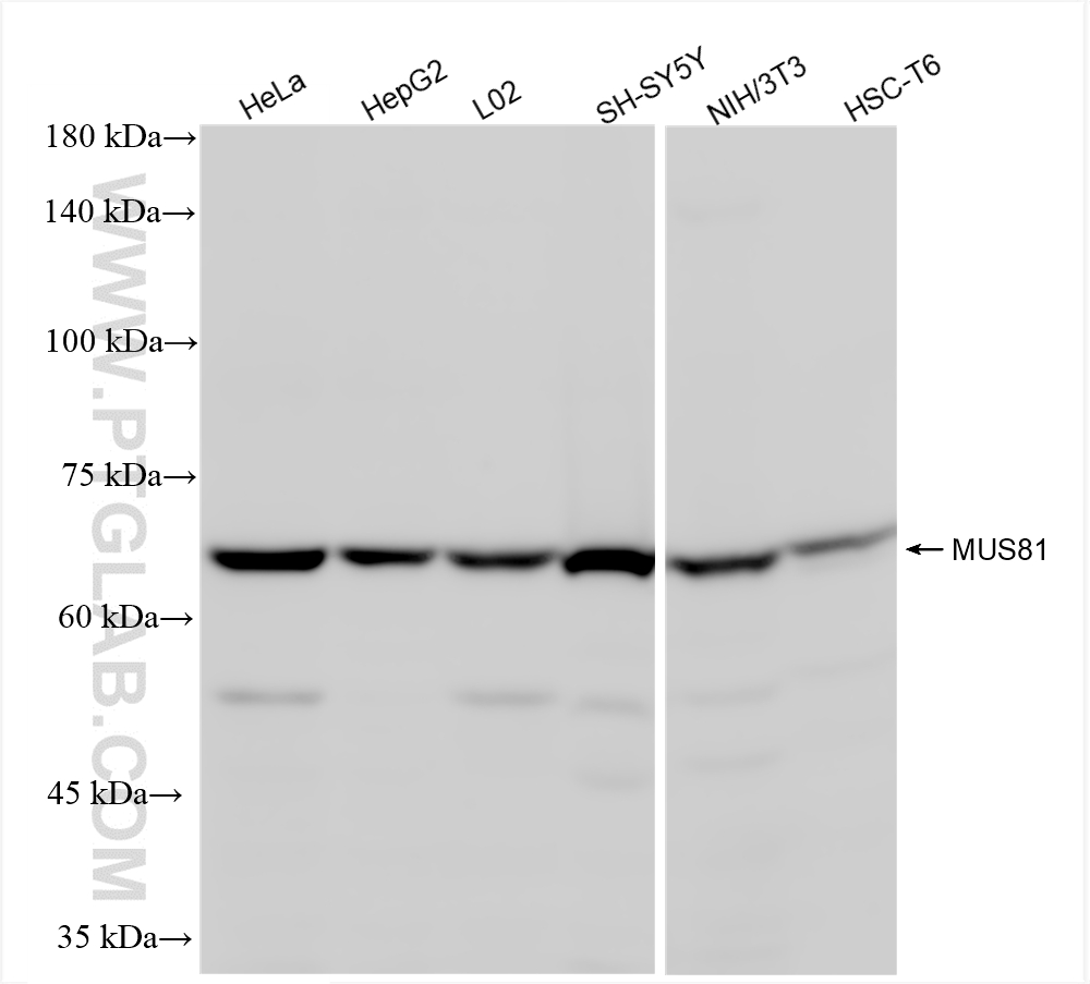
Positive WB detected inHeLa cells, HepG2 cells, L02 cells, SH-SY5Y cells, NIH/3T3 cells, HSC-T6 cells

推荐稀释比

应用推荐稀释比
Western Blot (WB)WB : 1:5000-1:50000
It is recommended that this reagent should be titrated in each testing system to obtain optimal results.
Sample-dependent, Check data in validation data gallery.

产品信息

87462-1-RR targets MUS81 in WB, ELISA applications and shows reactivity with human, mouse, rat samples.

经测试应用 WB, ELISA Application Description
经测试反应性 human, mouse, rat
免疫原

CatNo: Ag1476

Product name: Recombinant human MUS81 protein

Source: e coli.-derived, PGEX-4T

Tag: GST

Domain: 202-551 aa of BC009999

Sequence: RYSLTPEGLELAQKLAESEGLSLLNVGIGPKEPPGEETAVPGAASAELASEAGVQQQPLELRPGEYRVLLCVDIGETRGGGHRPELLRELQRLHVTHTVRKLHVGDFVWVAQETNPRDPANPGELVLDHIVERKRLDDLCSSIIDGRFREQKFRLKRCGLERRVYLVEEHGSVHNLSLPESTLLQAVTNTQVIDGFFVKRTADIKESAAYLALLTRGLQRLYQGHTLRSRPWGTPGNPESGAMTSPNPLCSLLTFSDFNAGAIKNKAQSVREVFARQLMQVRGVSGEKAAALVDRYSTPASLLAAYDACATPKEQETLLSTIKCGRLQRNLGPALSRTLSQLYCSYGPLT

种属同源性预测
宿主/亚型 Rabbit / IgG
抗体类别 Recombinant
产品类型 Antibody
全称 MUS81 endonuclease homolog (S. cerevisiae)
别名 EC:3.1.22.-
计算分子量 61 kDa
观测分子量 52-72 kDa
GenBank蛋白编号BC009999
基因名称 MUS81
Gene ID (NCBI) 80198
偶联类型 Unconjugated
形式Liquid
纯化方式Protein A purification
UNIPROT IDQ96NY9
储存缓冲液 PBS with 0.02% sodium azide and 50% glycerol, pH 7.3.
储存条件Store at -20°C. Stable for one year after shipment. Aliquoting is unnecessary for -20oC storage.

背景介绍

The Crossover junction endonuclease MUS81 has associated endonuclease activity against structure-specific oligonucleotide substrates, including synthetic Holliday junctions(PMID:11741546). It interacts with EME1 and EME2 to form a DNA structure-specific endonuclease with substrate preference for branched DNA structures with a 5'-end at the branch nick. The open reading frame of human MUS81 predicts a translation product of 551 amino acids with a molecular mass of 59 kD. There are some reports showed that the enzyme can express a 72 kDa protein in human tissues(PMID:12724407).

实验方案

Product Specific Protocols
WB protocol for MUS81 antibody 87462-1-RRDownload protocol
Standard Protocols
Click here to view our Standard Protocols
Loading...
||
New chat

Able

正在加载,请稍候...